Abstract
The generation of iPS cells gives an opportunity to use patient-specific somatic cells which are a valuable source for disease modeling and drug discovery. To promote these studies, it is important to make iPS cells from easily accessible and less invasive tissues like blood. Here, we describe the basic method to generate human iPS cells from adult peripheral blood. After the isolation of mononuclear cells, a combination of cytokines stimulates the expansion of hematopoietic stem/progenitor population, which is the main target of this protocol. The cells are transduced with plasmid mixture encoding reprogramming factors. In most cases, the plasmids are lost during the establishment of iPS clones.
Materials and Reagents
- Fresh anti-coagulated blood (~10 ml)
- PBS without Ca2+ and Mg2+ (Nacalai tesque, catalog number: 14249-95 )
- Ficoll-paque Plus (GE Healthcare, catalog number: 17-1440-02 )
- StemSpan H3000 (STEMCELL Technologies, catalog number: 0 9800 )
- Recombinant human Interleukin (IL)-6 (100 μg/ml) (PeproTech, catalog number: AF-200-06 )
- Recombinant human Stem Cell Factor (SCF) (300 μg/ml) (PeproTech, catalog number: AF-300-07 )
- Recombinant human Thrombopoietin (TPO) (300 μg/ml) (PeproTech, catalog number: AF-300-18 )
- Recombinant human Flt3 ligand (300 μg/ml) (PeproTech, catalog number: AF-300-19 )
- Recombinant human Interleukin (IL)-3 (10 μg/ml) (PeproTech, catalog number: AF-200-03 )
- Recombinant human basic Fibroblast Growth Factor (bFGF) (10 μg/ml) (Wako, catalog number: 064-04541 )
- Amaxa Human CD34+ cell Nucleofector Kit (Lonza, catalog number: VPA-1003 )
- MEF feeder (Repro Cell, catalog number: RCHEFC003 )
- Matrigel growth factor reduced (BD Biosciences, catalog number: 356231 )
- Primate ES Cell Medium (Repro Cell, catalog number: RCHEMD001 )
- Essential 6 (Life Technologies, catalog number: A1516401 )
- Gelatin (Sigma-Aldrich, catalog number: G1890 )
- Dulbecco’s Modified Eagle’s Medium (DMEM) High glucose with stable L-glutamine (Nacalai tesque, catalog number: 08459-35 )
- Fetal Bovine Serum (FBS) (Life Technologies, catalog number: 10437-028 )
- Plasmid set 2 (Life Technologies, catalog number: A15960 )
- Blood medium (see Recipes)
- Plasmid mixture (see Recipes)
- Transfection mixture (see Recipes)
- iPS medium 1 (see Recipes)
- iPS medium 2 (see Recipes)
- 0.1% Gelatin solution (see Recipes)
- MEF medium (see Recipes)
Equipment
- Nucleofector 2b (Lonza, catalog number: AAB-1001 )
- 6-well tissue culture plate (BD Biosciences, Falcon®, catalog number: 353046 )
- 15 ml conical tube (BD Biosciences, Falcon®, catalog number: 352196 )
- 50 ml conical tube (BD Biosciences, Falcon®, catalog number: 352070 )
- 37 °C 5% CO2 Cell culture incubator
- Microscope
- Centrifuge
Procedure
Day 0
- Culture medium preparation:
- Add 2 ml of blood medium containing cytokines to a well of 6-well plate.
- Add 2 ml of PBS in the remaining wells of the plate to prevent excess evaporation of the medium and store the plate at 37 °C, 5% CO2.
- Purification of mononuclear cells:
- To 10 ml of anti-coagulated blood (EDTA), add 10 ml of PBS.
- In two 15 ml tubes, add 5 ml Ficoll-Paque and gently add 10 ml of blood + PBS.
- Spin tubes at 400 x g for 30 min at 18 °C. Use slow acceleration and slow brake.
- Remove the plasma (around 2 ml) for the top fraction without disrupting the mononuclear cells at the interface.
- Transfer the cells at interface (1-2 ml) to a 15 ml tube and mix well with 12 ml of PBS.
- Spin at 200 x g for 10 min at 18 °C (slow brake).
- Resuspend cells in 3 ml of H3000 medium and count cells.
- Prepare aliquots of 3 x 106 cells in 1.5 ml tube.
- Spin at 200 x g for 10 min at 18 °C (slow brake).
- Aspirate supernatant.
- Plating:
- Resuspend the cells in the medium prepared in step 1.
- Store the plate at 37 °C, 5% CO2 for around 6 days. Medium change is not needed during this culture period.
Day 5
- Gelatin coat:
- Add 1 ml/well of 0.1% gelatin solution to a 6-well plate.
- Incubate the plate for at least half an hour at 37 °C.
- Preparation of MEF feeder cells:
- Thaw MEF feeder cells at 37 °C and count the cell number.
- Aspirate excess gelatin solution prepared above.
- Seed the MEF feeder cells at 3 x 105 cell/well in MEF medium.
Day 6
- Culture medium preparation:
- Aspirate the medium from MEF feeder cells.
- Add 2 ml/well of blood medium containing cytokines to the plate.
- Harvest the cultured cells:
- Resuspend the cells in the medium and count cells. Number of live cells is usually around 1 x 106.
- Harvest the floating cells into 15 ml tube.
- Spin at 200 x g for 10 min at 18 °C (slow brake). During spin, prepare transfection mixture.
- Nucleofection:
- Aspirate the supernatant of the cells completely by hand using a pipette.
- Add transfection mixture and suspend cells, be careful not to create any bubbles.
- Perform nucleofection using program U-008.
- Plating, 105 to 104 cells per well:
- Immediately following nucleofection, add 800 μl of H3000 to the electroporation cuvette, and harvest the cells. Metal ions in the nucleofection solution are toxic to cells!
- Plate the cells to MEF feeder plate ranging from 5 x 105 cells to 5 x 104 cells per well.
Day 8, 10, and 12
- Add additional 1.5 ml of iPS medium 1 per well. Do not aspirate the existing medium.
Day 14-
- Replace medium with 1.5 ml of iPS medium 1 per well.
* Medium replacement is performed every 2 days.
Day 25 to 35
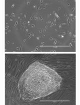
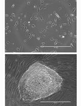
- Pick colonies of about 2 mm diameter.
Notes
- Frozen peripheral blood mononuclear cells (PBMC) can be used with this protocol. Culture the thawed PBMC directly in blood medium on day 0.
- iPSCs can be established in non-feeder condition, but the efficiency is low. For non-feeder condition, use Matrigel coated plate and iPS medium 2 instead of MEF feeder and iPS medium 1. Followings are the procedure to make Matrigel coated plate.
- Thaw Matrigel at 4 °C and dilute it equivalent to 2 mg of protein in 6 ml of cooled DMEM.
- Add 1 ml/well of the solution to a 6-well plate.
- Store at RT for 1 h.
- Wash the plate once with PBS before cell seeding.
Recipes
- Blood medium
StemSpan H3000, containing following cytokines:
10 ng/ml IL-3
100 ng/ml IL-6
300 ng/ml SCF
300 ng/ml TPO
300 ng/ml Flt3 ligand
Use immediately after preparation
- Plasmid mixture (Addgene, http://www.addgene.org/Shinya_Yamanaka)
Use following plasmid mixtures. Set 1 shows higher efficiency. In set 2, we omitted WPRE sequence and replaced shRNA against p53 with dominant negative form of mouse p53, which exist in set 1. Store at -20 °C. Set 2 can be purchased from Life Technologies.Plasmid set 1
| pCXLE-hOCT3/4-shp53-F
| 0.83 g
|
pCXLE-hSK
| 0.83 g
|
pCXLE-hUL
| 0.83 g
|
pCXWB-EBNA1
| 0.5 g
|
Plasmid set 2
| pCE-hOCT3/4
| 0.63 g
|
pCE-hSK
| 0.63 g
|
pCE-hUL
| 0.63 g
|
pCE-mp53DD
| 0.63 g
|
pCXB-EBNA1
| 0.5 g
|
- Transfection mixture
Amaxa CD34 Solution
| 81.8 μl
|
Supplement
| 18.2 μl
|
Plasmid mixture (set 1 or 2)
| 3 μl (3 μg)
|
Use immediately after preparation
- iPS medium 1
Primate ES Cell Medium containing 4 ng/ml bFGF
Store at 4 °C for 1 week in dark
- iPS medium 2
Essential 6 containing 100 ng/ml bFGF
Store at 4 °C for 1 week in dark
- 0.1% (w/v) Gelatin solution
- Dissolve 1 g gelatin powder in 100 ml dH2O (1% w/v, 10x concentration), autoclave and store at 4 °C.
- To prepare 0.1% (1x) gelatin solution, warm the 10x gelatin stock at 37 °C, add 50 ml of this to 450 ml dH2O. Filter the solution with a bottle-top filter (0.22 μm) and store at 4 °C.
- MEF medium
DMEM containing 10% FBS
Acknowledgments
We thank T. Aoi, K. Takahashi, M. Nakagawa and Y. Yoshida for scientific discussion; M. Narita, T. Ichisaka and M. Ohuchi for technical assistance; R. Kato, E. Nishikawa, S. Takeshima, and Y. Ohtsu for administrative assistance; and Drs. H. Niwa (RIKEN) and J. Miyazaki (Osaka University) for the CAG promoter. This study was supported in part by a grant from the Program for Promotion of Fundamental Studies in Health Sciences of National Institute of Biomedical Innovation, a grant from the Leading Project of Ministry of Education, Culture, Sports, Science and Technology (MEXT), a grant from Funding Program for World-Leading Innovative Research and Development on Science and Technology (FIRST Program) of Japan Society for the Promotion of Science, Grants-in-Aid for Scientific Research of Japan Society for the Promotion of Science and MEXT (to S.Y.), and Grants-in-Aid for Scientific Research for Young Scientists B (to K.O.).
References
- Mack, A. A., Kroboth, S., Rajesh, D. and Wang, W. B. (2011). Generation of induced pluripotent stem cells from CD34+ cells across blood drawn from multiple donors with non-integrating episomal vectors. PLoS One 6(11): e27956.
- Okita, K., Matsumura, Y., Sato, Y., Okada, A., Morizane, A., Okamoto, S., Hong, H., Nakagawa, M., Tanabe, K., Tezuka, K., Shibata, T., Kunisada, T., Takahashi, M., Takahashi, J., Saji, H. and Yamanaka, S. (2011). A more efficient method to generate integration-free human iPS cells. Nat Methods 8(5): 409-412.
- Okita, K., Yamakawa, T., Matsumura, Y., Sato, Y., Amano, N., Watanabe, A., Goshima, N. and Yamanaka, S. (2013). An efficient nonviral method to generate integration‐free human‐induced pluripotent stem cells from cord blood and peripheral blood cells. Stem Cells 31(3): 458-466.
Article Information
Copyright
© 2013 The Authors; exclusive licensee Bio-protocol LLC.
Category
Stem Cell > Pluripotent stem cell > Cell induction