Published: Vol 8, Iss 13, Jul 5, 2018 DOI: 10.21769/BioProtoc.2915 Views: 16235
Reviewed by: Vivien Jane Coulson-ThomasSudan PuriMindy Call

Protocol Collections
Comprehensive collections of detailed, peer-reviewed protocols focusing on specific topics
Related protocols

Development of the Mammary Gland in Mouse: A Whole-Mount Microscopic Analysis
Bo Wang [...] Peijun Liu
Oct 20, 2024 1371 Views

An Optimized Protocol for Simultaneous Propagation of Patient-derived Organoids and Matching CAFs
Jenny M. Högström and Taru Muranen
Jan 20, 2025 3377 Views

Dissection and Whole-Mount Immunofluorescent Staining of Mouse Hind Paw Muscles for Neuromuscular Junction Analysis
Rebecca L. Simkin [...] James N. Sleigh
May 20, 2025 2388 Views
Abstract
The mammary gland undergoes extensive remodeling during pregnancy and is also subject to neoplastic processes both of which result in histological changes of the gland epithelial structure. Since the mammary tree is a complex three-dimensional structure a method is needed that provides an overview of the entire gland. Whole mounts provide this information, are inexpensive and do not require specialized equipment. This protocol describes mammary gland isolation, whole mount preparation and analysis. Mammary gland tissue, which is removed postmortem, is stained with Carmine Alum, a nuclear stain, allowing detection of epithelial structures embedded in the adipose tissue of the mammary fat pad. Stained mammary glands are imaged by light microscopy or embedded and sectioned for histological examination. Image analysis software such as Image J can be used to quantify extensity of branching complexity, epithelial structure remodeling or hyperplastic changes.
Keywords: Mammary glandBackground
Although development of the mammary gland begins during embryonic development and a rudimentary epithelial structure is present at birth, the epithelial mammary tree undergoes extensive expansion postnatally. In response to hormonal changes, mammary epithelial cells proliferate and invade the mammary fat pad. During pregnancy, the mammary gland epithelium undergoes further differentiation and remodeling to prepare for milk production. Subsequently, these epithelial structures involute in response to weaning. These remodeling processes are driven by hormones, growth factors, cytokines and the extracellular matrix. In addition to remodeling in response to physiological processes, the mammary gland is subject to pathological processes such as neoplastic transformation. This complex biology together with the relatively ease of isolation make the mammary gland a useful experimental model. Experimental studies analyzing mammary gland biology or neoplastic transformation often employ mouse models to quantify the effect of gene deletion or overexpression on mammary gland development, remodeling and neoplastic transformation. Mammary gland whole mounts allow routine examination of these normal and disease processes on the entire 3D epithelial structure of the mammary gland (Plante et al., 2011; Inman et al., 2015; Tucker et al., 2016 and 2017; Kolla et al., 2017; Tolg et al., 2017). Furthermore, injection of mice with potential therapeutic compounds combined with whole mount analysis allows in vivo testing of future cancer treatment strategies. This protocol provides details of the procedure starting with removal of the mammary gland and ending with image analysis. A video of mammary gland isolation, photos, figures and referenced literature make it more complete compared to existing whole mount protocol.
Materials and Reagents
Equipment
Software
Procedure
Data analysis
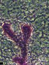
Branching of the mammary epithelial tree can be analyzed by image analysis. The 4th mammary gland contains a lymph node which will be clearly visible in whole mounts due to its high cell density and is often used as reference point when measuring branch length or counting branch points (Figures 1 and 2). Image analysis programs such as ImageJ are useful in measuring the length of primary and secondary branches.
Figure 1. 4th mammary gland location in the mouse. Area of the 4th mammary gland is outlined and indicated. 
Figure 2. Examples of mammary gland whole mounts. Stained mammary gland whole mounts were mounted using Permount and images were taken with a dissecting microscope. Lymph nodes are labeled LN. A. Image of a normal mammary gland. B. Image of mammary gland containing hyperplastic areas. Stained mammary gland whole mounts were mounted using Permount and images were taken with a dissecting microscope. Lymph nodes are labeled LN. A. Image of a normal mammary gland. B. Image of mammary gland containing hyperplastic areas.
Open the image in ImageJ. Choose the freehand option of the “Line” tool from the main menu and follow the mammary gland branch on the screen (Figure 3A). Then click “measure” from the main menu of ImageJ. The measurement will be added to a result table which can be copied into “excel”. Alternatively, the number of branch points/area can be counted to describe branching complexity without the use of any special software or using the “multi point” option in the main menu of ImageJ (Figure 3A). Staining intensity is increased in areas of mammary gland hyperplasia. The thresholding function of ImageJ allows quantification of these areas (Figure 3B).
Open the image in ImageJ, then go to “Image” and choose “Adjust”, then choose “Threshold”. Adjust the threshold until the area you want to measure is highlighted then click “apply”. Go to “set measurement” in the main menu, make sure “area” and “limited to threshold” are clicked. Then click “measure” in the main menu. The measurement will be added to a result table which can be copied into “excel”.
Figure 3. Examples of image analysis. A. Black and white image of mounted mammary gland whole mount. The image was taken using a digital camera attached to a dissecting microscope. The image was saved as .tiff and re-opened in ImageJ. Reference line (red) was drawn using the outer edge of the lymph note as reference point. One primary branch was outlined in red starting at the reference line. B. Magnified area of (A): Branch points (red dots) were counted using the multi-point function of ImageJ. C. Example of image analysis using the thresholding function of ImageJ. i. Black and white image of mammary gland area containing hyperplasia. ii. Hyperplastic area was selected using the thresholding function of Image J and highlighted in red. iii. The selected hyperplastic area is shown in black on a white background. Scale bars = 0.25 cm.
Recipes
Acknowledgments
This work was supported by a CBCF grant, and Breast Cancer Society of Canada to ET, The Endre A. Balazs Foundation to MC. This protocol was adapted from Sympson et al., 1994. The authors do not have any conflict of interest to declare.
References
Article Information
Copyright
© 2018 The Authors; exclusive licensee Bio-protocol LLC.
How to cite
Tolg, C., Cowman, M. and Turley, E. A. (2018). Mouse Mammary Gland Whole Mount Preparation and Analysis. Bio-protocol 8(13): e2915. DOI: 10.21769/BioProtoc.2915.
Category
Developmental Biology > Morphogenesis > Organogenesis
Cancer Biology > General technique > Tumor formation
Cell Biology > Tissue analysis > Tissue staining
Do you have any questions about this protocol?
Post your question to gather feedback from the community. We will also invite the authors of this article to respond.
 Tips for asking effective questions 
+ Description
Write a detailed description. Include all information that will help others answer your question including experimental processes, conditions, and relevant images.
Share
Bluesky
X
Copy link
