Published: Vol 6, Iss 5, Mar 5, 2016 DOI: 10.21769/BioProtoc.1744 Views: 10100
Reviewed by: Guillermo GomezKristina Y. AguileraVivien Jane Coulson-Thomas

Protocol Collections
Comprehensive collections of detailed, peer-reviewed protocols focusing on specific topics
Related protocols

Establishment of Patient-Derived Xenografts in Mice
Dongkyoo Park [...] Xingming Deng
Nov 20, 2016 14703 Views

A Murine Orthotopic Allograft to Model Prostate Cancer Growth and Metastasis
Robert M. Hughes [...] Paula J. Hurley
Feb 20, 2017 11431 Views

Qualitative in vivo Bioluminescence Imaging
Devbarna Sinha [...] Pritinder Kaur
Sep 20, 2018 9694 Views
Abstract
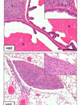
The MIND method involves intraductal injection of patient derived ductal carcinoma in situ (DCIS) cells and DCIS cell lines (MCF10DCIS.COM and SUM225) inside the mouse mammary ducts [Video 1 and Figure 1 in Behbod et al. (2009)]. This method mimics the normal environment of DCIS and facilitates study of the natural progression of human DCIS, i.e., their initial growth as carcinoma in situ within the ducts, followed by invasion into the stroma through the myoepithelial cell layer and basement membrane (Behbod et al., 2009; Valdez et al., 2011). In order to demonstrate that transplantation procedure is successful, the transplanted mammary glands may be excised as early as two weeks following intraductal injection of cells followed by Hematoxylin and Eosin (H&E) staining and/or immunofluorescence staining using human specific cytokeratin 5 and/or 19 [please see Figures 2-4 in Behbod et al. (2009)]. Additionally, the presence of trypan blue inside the mouse mammary ducts immediately following intraductal injection is the best indicator that the injection was successful (Video 1 starting at 4:33 sec).
Keywords: IntraductalMaterials and Reagents
Equipment
Procedure
Acknowledgments
This protocol was developed in the Department of Molecular and Cellular Biology, Baylor College of Medicine and Department of Pathology and Laboratory Medicine, University of Kansas Medical School. We thank David Edwards for assistance in the production of the procedure video. The work was supported by NCI (1K99/R00 CA127462) to FB and NCI (1K22 CA160587-01A1) to KV.
References
Article Information
Copyright
© 2016 The Authors; exclusive licensee Bio-protocol LLC.
How to cite
Kittrell, F., Valdez, K., Elsarraj, H., Hong, Y., Medina, D. and Behbod, F. (2016). Mouse Mammary Intraductal (MIND) Method for Transplantation of Patient Derived Primary DCIS Cells and Cell Lines. Bio-protocol 6(5): e1744. DOI: 10.21769/BioProtoc.1744.
Category
Cancer Biology > Invasion & metastasis > Animal models > Cell invasion
Do you have any questions about this protocol?
Post your question to gather feedback from the community. We will also invite the authors of this article to respond.
 Tips for asking effective questions 
+ Description
Write a detailed description. Include all information that will help others answer your question including experimental processes, conditions, and relevant images.
Share
Bluesky
X
Copy link
