Past Issue in 2025

Volume: 15, Issue: 1

left

Dec

5

Nov

20

Nov

5

Oct

20

Oct

5

Sep

20

Sep

5

Aug

20

Aug

5

Jul

20

Jul

5

Jun

20

Jun

5

May

20

May

5

Apr

20

Apr

20

Apr

5

Mar

20

Mar

5

Feb

20

Feb

5

Jan

20

Jan

5

right

Biochemistry

An Assay System for Plate-based Detection of Endogenous Peptide:N-glycanase/NGLY1 Activity Using A Fluorescence-based Probe

An Assay System for Plate-based Detection of Endogenous Peptide:N-glycanase/NGLY1 Activity Using A Fluorescence-based Probe

HH Hiroto Hirayama
TS Tadashi Suzuki
1492 Views
Jan 5, 2025
Cytosolic peptide: N-glycanase (PNGase/NGLY1 in mammals), an amidase classified under EC:3.5.1.52, is a highly conserved enzyme across eukaryotes that catalyzes the removal of N-glycans from glycoproteins, converting N-glycosylated asparagine residues into aspartic acid. This enzyme also plays a role in the quality control system for nascent glycoproteins. Despite the development of non-radioisotope-based assay systems such as those using S-alkylated RNase or fluorescent-labeled glycopeptides as substrates, these methods are incompatible with crude enzyme sources, primarily due to the degradation of reaction products by contaminating endogenous proteases. We previously developed an assay system using a 5-carboxyfluorescein-labeled glycosylated cyclo-heptapeptide (5FAM-GCP), a substrate remarkably resistant to endogenous peptidase activity. This system enables the accurate measurement of endogenous NGLY1 activity in various samples, including cell lines, tissues, peripheral blood mononuclear cells, and NGLY1-deficient patient-derived cells, without the interference of proteolytic degradation. We recently advanced this approach by producing a novel fluorescence resonance energy transfer (FRET)-based GCP probe (fGCP) and demonstrated its ability to detect endogenous NGLY1 activity across diverse enzyme sources via fluorescence on multiarray plates. This innovative and straightforward assay now offers reliable disease diagnostics and also allows the measurement of endogenous PNGase/NGLY1 activities across various organisms.

Bioinformatics and Computational Biology

An Open-source Python Tool for Traction Force Microscopy on Micropatterned Substrates

An Open-source Python Tool for Traction Force Microscopy on Micropatterned Substrates

AR Artur Ruppel
VM Vladimir Misiak
MB Martial Balland
1597 Views
Jan 5, 2025
Cell-generated forces play a critical role in driving and regulating complex biological processes, such as cell migration and division and cell and tissue morphogenesis in development and disease. Traction force microscopy (TFM) is an established technique developed in the field of mechanobiology used to quantify cellular forces exerted on soft substrates and internal mechanical tissue stresses. TFM measures cell-generated traction forces in 2D or 3D environments with varying mechanical and biochemical properties. This technique involves embedding fiducial markers in the substrate, imaging substrate deformations caused by the cells, and using mathematical models to infer forces. This protocol compiles procedures from various previously published studies and software packages and describes how to perform TFM on 2D micropatterned substrates. Although not the focus of this protocol, the methods and software packages shown here also allow to perform monolayer stress microscopy (MSM), a method to calculate internal mechanical stress within the cells by modeling them as a thin plate with linear and homogeneous material properties. TFM and MSM are non-invasive methods capable of yielding spatially and temporally resolved force and stress maps with high throughput. As such, they enable the generation of rich datasets, which can provide valuable insights into the roles of cell-generated forces in various physiological and pathological processes.

Biophysics

Using HBmito Crimson to Observe Mitochondrial Cristae Through STED Microscopy

Using HBmito Crimson to Observe Mitochondrial Cristae Through STED Microscopy

XG Xichuan Ge
WR Wei Ren
CS Chunyan Shan
PX Peng Xi
BG Baoxiang Gao
1572 Views
Jan 5, 2025
Mitochondrial cristae, formed by folding the mitochondrial inner membrane (IM), are essential for cellular energy supply. However, the observation of the IM is challenging due to the limitations in spatiotemporal resolution offered by conventional microscopy and the absence of suitable in vitro probes specifically targeting the IM. Here, we describe a detailed imaging protocol for the mitochondrial inner membrane using the Si-rhodamine dye HBmito Crimson, which has excellent photophysical properties, to label live cells for imaging via stimulated emission depletion (STED) microscopy. This allows for STED imaging over more than 500 frames (approximately one hour), with a spatial resolution of 40 nm, enabling the observation of cristae dynamics during various mitochondrial processes. The protocol includes detailed steps for cell staining, image acquisition, image processing, and resolution analysis. Utilizing the superior resolution of STED microscopy, the structure and complex dynamic changes of cristae can be visualized.

Cancer Biology

Temporally and Spatially Controlled Age-Related Prostate Cancer Model in Mice

Temporally and Spatially Controlled Age-Related Prostate Cancer Model in Mice

SL Sen Liu
KS Keyi Shen
ZL Zixuan Li
SR Seleste Rivero
QZ Qiuyang Zhang
2604 Views
Jan 5, 2025
The initiation and progression of prostate cancer (PCa) are associated with aging. In the history of age-related PCa research, mice have become a more popular animal model option than any other species due to their short lifespan and rapid reproduction. However, PCa in mice is usually induced at a relatively young age, while it spontaneously develops in humans at an older age. Thus, it is essential to develop a method by which the PCa initiation and progression timeline can be strictly controlled to mimic human physiological conditions. One milestone in this field was the identification of the prostate-specific transcription factor, Probasin (Pb), which allowed for the prostate-specific expression of genes knocked into the mice's genome. Another milestone is the establishment of the preclinical mouse model with Pten conditionally knocked out in the prostate tissue, which closely mimics the formation and growth of human PCa. Hereby, we present the prostate-specific temporally and spatially controlled Pten knockout PCa mouse model that can be induced using an adenovirus-based Cre-LoxP system. The Cre recombinase (Cre) is inserted into an adenovirus vector. Unlike Pb-Cre knock-in models (which are spatially but not temporally controlled), the expression of Cre is activated to knock out Pten from the mice's prostate epithelial cells once injected. The viral delivery procedures strictly control the location and time of Pten knockout. This novel approach provides a powerful age-related murine model for PCa, emphasizing the effect of aging on prostate carcinogenesis.

Cell Biology

Protocol for Immune Cell Isolation, Organoid Generation, and Co-culture Establishment from Cryopreserved Whole Human Intestine

Protocol for Immune Cell Isolation, Organoid Generation, and Co-culture Establishment from Cryopreserved Whole Human Intestine

EG Enrique Gamero-Estevez
IH Inga Viktoria Hensel
MS Michelle Steinhauer
OM Olivia Müllertz
ES Elizaveta Savochkina
IS Ibrahim Murathan Sektioglu
BS Bilgenaz Stoll
SD Shaghayegh Derakhshani
SD Sarah Devriese
KK Kyungbo Kim
MR Martin Resnik-Docampo
3576 Views
Jan 5, 2025
The human intestine plays a pivotal role in nutrient absorption and immune system regulation. Along the longitudinal axis, cell-type composition changes to meet the varying functional requirements. Therefore, our protocol focuses on the processing of the whole human intestine to facilitate the analysis of region-specific characteristics such as tissue architecture and changes in cell populations. We describe how to generate a biobank that can be used to isolate specific immune cell subtypes, generate organoid lines, and establish autologous immune cell-organoid co-cultures.
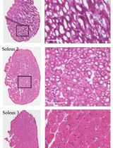
Cryopreservation Method for Preventing Freeze-Fracture of Small Muscle Samples

Cryopreservation Method for Preventing Freeze-Fracture of Small Muscle Samples

NG Namrata Ghag
JT Joshua Tam
RA R. Rox Anderson
NC Nashwa Cheema
1802 Views
Jan 5, 2025
Histological techniques to study muscle are crucial for assessing skeletal muscle health. To preserve tissue morphology, samples are usually fixed in formaldehyde or cryopreserved immediately after excision from the body. Freezing samples in liquid nitrogen, using isopentane as a mediator for efficient cooling, preserves the tissue in its natural state. However, this method is highly susceptible to freeze-fracture artifacts, which alter or destroy tissue architecture. Isopentane is most commonly used in a semi-frozen/liquid state that is visually assessed by the experimenter, which can pose a challenge when freezing multiple tissues at a time or maintaining a consistent temperature. Furthermore, tissue size is also a confounding factor; depending on the size, freezing times can vary. In this study, we compare two different options for using isopentane while cryopreserving tissue. We also present an easy and reproducible method of freezing the soleus tissue of mice using frozen isopentane. This method decreased the occurrence of freeze-fractures by an order of magnitude, to ~4%, whereas the traditional method of cryopreservation resulted in ~56% freeze-fracturing.
In Vitro Assay to Examine Osteoclast Resorptive Activity Under Estrogen Withdrawal

In Vitro Assay to Examine Osteoclast Resorptive Activity Under Estrogen Withdrawal

CF Cara Fiorino
SO Safia Omer
NG Nisha Gandhi
RH Rene E. Harrison
1594 Views
Jan 5, 2025
The bone is a highly dynamic organ that undergoes continuous remodeling through an intricate balance of bone formation and degradation. Hyperactivation of the bone-degrading cells, the osteoclasts (OCs), occurs in disease conditions and hormonal changes in females, resulting in osteoporosis, a disease characterized by altered microarchitecture of the bone tissue, and increased bone fragility. Thus, building robust assays to quantify OC resorptive activity to examine the molecular mechanisms underlying bone degradation is critical. Here, we establish an in vitro model to investigate the effect of estrogen withdrawal on OCs derived from the mouse macrophage RAW 264.7 cell line in a bone biomimetic microenvironment. This simple and robust model can also be adapted to examine the effect of drugs and genetic factors influencing OC resorptive activity in addition to being compatible with fluorescent imaging.

Microbiology

A Novel and Robust Method for Investigating Fungal Biofilm

A Novel and Robust Method for Investigating Fungal Biofilm

BB Biswambhar Biswas
SA Shumaiza Asif
RP Rekha Puria
AT Anil Thakur
1707 Views
Jan 5, 2025
Candida auris, labeled an urgent threat by the CDC, shows significant resilience to treatments and disinfectants via biofilm formation, complicating treatment/disease management. The inconsistencies in biofilm architecture observed across studies hinder the understanding of its role in pathogenesis. Our novel in vitro technique cultivates C. auris biofilms on gelatin-coated coverslips, reliably producing multilayer biofilms with extracellular polymeric substances (EPS). This method, applicable to other Candida species like C. glabrata and C. albicans, is cost-effective and mimics the niche of biofilm formation. It is suitable for high-throughput drug screening and repurposing efforts, aiding in the development of new therapeutics. Our technique represents a significant advancement in Candida biofilm research, addressing the need for consistent, reproducible biofilm models. We detail a step-by-step procedure for creating a substratum for biofilm growth and measuring biofilm thickness using confocal laser scanning microscopy (CLSM) and ultrastructure by scanning electron microscopy (SEM). This method provides consistent outcomes across various Candida species.

Neuroscience

Automatic Adaptive Algorithm for Delineation of Cerebral-Spinal Fluid Regions for Non-contrast Magnetic Resonance Imaging Volumetry and Cisternography in Mice

Automatic Adaptive Algorithm for Delineation of Cerebral-Spinal Fluid Regions for Non-contrast Magnetic Resonance Imaging Volumetry and Cisternography in Mice

RG Ryszard S. Gomolka
2237 Views
Jan 5, 2025
Magnetic resonance imaging (MRI) is an invaluable method of choice for anatomical and functional in vivo imaging of the brain. Still, accurate delineation of the brain structures remains a crucial task of MR image evaluation. This study presents a novel analytical algorithm developed in MATLAB for the automatic segmentation of cerebrospinal fluid (CSF) spaces in preclinical non-contrast MR images of the mouse brain. The algorithm employs adaptive thresholding and region growing to accurately and repeatably delineate CSF space regions in 3D constructive interference steady-state (3D-CISS) images acquired using a 9.4 Tesla MR system and a cryogenically cooled transmit/receive resonator. Key steps include computing a bounding box enclosing the brain parenchyma in three dimensions, applying an adaptive intensity threshold, and refining CSF regions independently in sagittal, axial, and coronal planes. In its original application, the algorithm provided objective and repeatable delineation of CSF regions in 3D-CISS images of sub-optimal signal-to-noise ratio, acquired with (33 μm)3 isometric voxel dimensions. It allowed revealing subtle differences in CSF volumes between aquaporin-4-null and wild-type littermate mice, showing robustness and reliability. Despite the increasing use of artificial neural networks in image analysis, this analytical approach provides robustness, especially when the dataset is insufficiently small and limited for training the network. By adjusting parameters, the algorithm is flexible for application in segmenting other types of anatomical structures or other types of 3D images. This automated method significantly reduces the time and effort compared to manual segmentation and offers higher repeatability, making it a valuable tool for preclinical and potentially clinical MRI applications.
Capacitance Measurements of Exocytosis From AII Amacrine Cells in Retinal Slices

Capacitance Measurements of Exocytosis From AII Amacrine Cells in Retinal Slices

EH Espen Hartveit
MV Margaret L. Veruki
2214 Views
Jan 5, 2025
During neuronal synaptic transmission, the exocytotic release of neurotransmitters from synaptic vesicles in the presynaptic neuron evokes a change in conductance for one or more types of ligand-gated ion channels in the postsynaptic neuron. The standard method of investigation uses electrophysiological recordings of the postsynaptic response. However, electrophysiological recordings can directly quantify the presynaptic release of neurotransmitters with high temporal resolution by measuring the membrane capacitance before and after exocytosis, as fusion of the membrane of presynaptic vesicles with the plasma membrane increases the total capacitance. While the standard technique for capacitance measurement assumes that the presynaptic cell is unbranched and can be represented as a simple resistance-capacitance (RC) circuit, neuronal exocytosis typically occurs at a distance from the soma. Even in such cases, however, it can be possible to detect a depolarization-evoked increase in capacitance. Here, we provide a detailed, step-by-step protocol that describes how "Sine + DC" (direct current) capacitance measurements can quantify the exocytotic release of neurotransmitters from AII amacrine cells in rat retinal slices. The AII is an important inhibitory interneuron of the mammalian retina that plays an important role in integrating rod and cone pathway signals. AII amacrines release glycine from their presynaptic dendrites, and capacitance measurements have been important for understanding the release properties of these dendrites. When the goal is to directly quantify the presynaptic release, there is currently no other competing method available. This protocol includes procedures for measuring depolarization-evoked exocytosis, using both standard square-wave pulses, arbitrary stimulus waveforms, and synaptic input.
Microfluidic Cultures of Basal Forebrain Cholinergic Neurons for Assessing Retrograde Cell Death by Live Imaging

Microfluidic Cultures of Basal Forebrain Cholinergic Neurons for Assessing Retrograde Cell Death by Live Imaging

SD Srestha Dasgupta
MP Mansi A. Pandya
WF Wilma J. Friedman
1747 Views
Jan 5, 2025
Neurons are highly polarized cells, with axons that may innervate distant target regions. In the brain, basal forebrain cholinergic neurons (BFCNs) possess extensive axons that project to several target regions such as the cortex, hippocampus, and amygdala, and may be exposed to a specific microenvironment in their axon targets that may have retrograde effects on neuronal health. Interestingly, BFCNs express the pan-neurotrophin receptor p75NTR throughout life while also concomitantly co-expressing all Trk receptors, making them capable of responding to both mature and precursor neurotrophins to promote survival or apoptosis, respectively. Levels of these trophic factors may be modulated in the BFCN axon or soma microenvironment under neurodegenerative conditions such as seizure and brain injury. In this protocol, BFCNs are established in microfluidic devices for compartmental culture, with the aim of studying the effects of axon- or soma-specific stimulation of BFCNs for an in vitro representation of distal axon vs. soma environments as seen in vivo. This study further establishes a novel method of tracing and imaging live BFCNs exposed to stimuli in their distal axons with the aim of assessing retrograde cell death. The in vitro compartmental culture system of BFCNs that allows live imaging may be applied to investigate various effects of axon- or soma-specific stimuli that affect BFCN health, maintenance, and death, to model events that occur in the context of brain injury and neurodegenerative disorders.

Plant Science

Simple and Fail-safe Method to Transform Miniprep Escherichia coli Strain K12 Plasmid DNA Into Viable Agrobacterium tumefaciens EHA105 Cells for Plant Genetic Transformation

Simple and Fail-safe Method to Transform Miniprep Escherichia coli Strain K12 Plasmid DNA Into Viable Agrobacterium tumefaciens EHA105 Cells for Plant Genetic Transformation

BS Beenzu Siamalube
EE Emmanuel Ehinmitan
MN Maina Ngotho
JO Justus Onguso
SR Steven Runo
2232 Views
Jan 5, 2025
Agrobacterium-mediated gene transformation method is a vital molecular biology technique employed to develop transgenic plants. Plants are genetically engineered to develop disease-free varieties, knock out unsettling traits for crop improvement, or incorporate an antigenic protein to make the plant a green factory for edible vaccines. The method’s robustness was validated through successful transformations, demonstrating its effectiveness as a standard approach for researchers working in plant biotechnology. It enables the introduction of foreign DNA into plant genomes. Conventionally, plant genetic transformation has relied on time-consuming, costly, and technically demanding procedures, such as electroporation and chimeric viruses or biolistic methods, which usually yield variable transformation efficiencies. This study presents a simple and fail-safe protocol that involves a modified freeze-thaw and heat-shock concoction method. This approach involves a streamlined plasmid miniprep procedure to isolate high-quality plasmid DNA from Escherichia coli K12 strain, followed by a target-specific transfer into A. tumefaciens EHA105 strain. The optimized method minimizes DNA degradation and maximizes uptake by Agrobacterium cells, making it a reproducible and accessible protocol for various genetic engineering applications. The transformation efficiency is consistently high, enhancing plasmid uptake while maintaining cell viability, requiring minimal specialized equipment and reagents. The proposed protocol offers significant advantages, including simplicity, reliability, and cost-effectiveness, positioning it as a valuable alternative to traditional techniques in the field of plant biotechnology.
A Highly Efficient System for Separating Glandular and Non-glandular Trichome of Cucumber Fruit for Transcriptomic and Metabolomic Analysis

A Highly Efficient System for Separating Glandular and Non-glandular Trichome of Cucumber Fruit for Transcriptomic and Metabolomic Analysis

LS Lei Sun
ZF Zhongxuan Feng
FW Fang Wang
YQ Yu Qi
MA Menghang An
LY Lin Yang
MF Min Feng
MW Mingqi Wang
HR Huazhong Ren
XL Xingwang Liu
1411 Views
Jan 5, 2025
Cucumber (Cucumis sativus) trichomes play a critical role in resisting external biological and abiotic stresses. Glandular trichomes are particularly significant as they serve as sites for the synthesis and secretion of secondary metabolites, while non-glandular trichomes are pivotal for determining the appearance quality of cucumbers. However, current methods for separating trichomes encounter challenges such as low efficiency and insufficient accuracy, limiting their applicability in multi-omics sequencing studies. This protocol introduces an efficient system designed for the precise separation of glandular and non-glandular trichomes from cucumber fruit. The process begins with the pre-cooling of sorbitol buffer or ethanol solution and the RNA-free treatment of laboratory supplies, followed by sterilization and pre-cooling. After filling glass bottles with pre-cooling buffer and glass beads, cucumber ovaries are then placed in the glass bottles and the trichome is harvested by bead-beating method. The separation process involves sequential filtration through various steel sieves and centrifugation to separate trichomes. The separated trichomes obtained from this method are well-suited for subsequent multi-omics sequencing analyses. This protocol achieved high precision in separating glandular and non-glandular trichomes, significantly enhancing the efficiency of separation and sample collection processes. This advancement not only addresses existing limitations but also facilitates comprehensive studies aimed at exploring the genetic and biochemical diversity present within cucumber trichomes, thereby opening avenues for broader agricultural and biological research applications.