Past Issue in 2019

Volume: 9, Issue: 13

left

Dec

20

Dec

5

Nov

20

Nov

5

Oct

20

Oct

5

Sep

20

Sep

5

Aug

20

Aug

5

Jul

20

Jul

5

Jun

20

Jun

5

May

20

May

5

Apr

20

Apr

5

Mar

20

Mar

5

Feb

20

Feb

5

Jan

20

Jan

5

right

Biochemistry

Oxygen Consumption Measurements in Caenorhabditis elegans Using the Seahorse XF24

Oxygen Consumption Measurements in Caenorhabditis elegans Using the Seahorse XF24

SH Suraiya Haroon
MV Marc Vermulst
6762 Views
Jul 5, 2019
Mitochondria generate 90% of the energy required to sustain life. As a result, loss of mitochondrial function compromises almost every facet of human physiology. Accordingly, most mitochondrial diseases tend to present themselves as complex, multi-systemic disorders that can be difficult to diagnose. Depending on the severity of the mitochondrial dysfunction, the pathology can range from mild discomfort to severe epilepsy, blindness and paralysis. To develop therapies to these diseases, it will be important to optimize experimental techniques that can reliably quantify mitochondrial function, particularly in live cells or intact organisms. Here, we describe how a Seahorse XF24 Analyzer can be used to measure both basal and maximal respiration in the nematode Caenorhabditis elegans, and how this data can be interpreted to evaluate mitochondrial function.
Adhesive and Cohesive Peel Force Measurement of Human Airway Mucus

Adhesive and Cohesive Peel Force Measurement of Human Airway Mucus

HG Henry P. Goodell
SS Siddharth K. Shenoy
NS Nathan T. Shenkute
EL Elijah Lackey
RD Robert G. Dennis
BB Brian Button
6361 Views
Jul 5, 2019
In health, the high-speed airflow associated with cough represents a vital backup mechanism for clearing accumulated mucus from our airways. However, alterations in the mucus layer in cystic fibrosis (CF) and chronic obstructive pulmonary disease (COPD) leads to the mucus layer adhered to the airway surfaces, representing the nidus of chronic lung infection. To understand what is different about diseased mucus and why cough clearance is defective, there is a need for techniques to quantify the strength of the interactions limiting the ability of airflow to strip mucus from the airway surface (i.e., adhesive strength) or tear mucus apart (i.e., cohesive strength). To overcome the issues with measuring these properties in a soft (i.e., low elastic modulus) mucus layer, we present here novel peel-testing technologies capable of quantifying the mucus adhesive strength on cultured airway cells and cohesive strength of excised mucus samples. While this protocol focuses on measurements of airway mucus, this approach can easily be adapted to measuring adhesive/cohesive properties of other soft biological materials.

Biophysics

Dynamic and Sequential Protein Reconstitution on Negatively Curved Membranes by Giant Vesicles Fusion

Dynamic and Sequential Protein Reconstitution on Negatively Curved Membranes by Giant Vesicles Fusion

Nd Nicola de Franceschi
MA Maryam Alqabandi
WW Winfried Weissenhorn
Patricia Bassereau Patricia Bassereau
5019 Views
Jul 5, 2019
In vitro investigation of the interaction between proteins and positively curved membranes can be performed using a classic nanotube pulling method. However, characterizing protein interaction with negatively curved membranes still represents a formidable challenge. Here, we describe our recently developed approach based on laser-triggered Giant Unilamellar Vesicles (GUVs) fusion. Our protocol allows sequential addition of proteins to a negatively curved membrane, while at the same time controlling the buffer composition, lipid composition and membrane tension. Moreover, this method does not require a step of protein detachment, greatly simplifying the process of protein encapsulation over existing methods.

Cell Biology

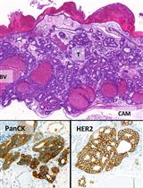
The Chick Chorioallantoic Membrane (CAM) Assay as a Three-dimensional Model to Study Autophagy in Cancer Cells

The Chick Chorioallantoic Membrane (CAM) Assay as a Three-dimensional Model to Study Autophagy in Cancer Cells

FJ Félice A. Janser
PN Patricia Ney
MP Marta Teixeira Pinto
RL Rupert Langer
MT Mario P. Tschan
10849 Views
Jul 5, 2019
The chick chorioallantoic membrane (CAM) is an extra-embryonic organ and thus well accessible for seeding and harvesting 3D cell cultures. Samples from CAM assays are suitable for protein and gene expression analysis as well as for immuno-histochemical studies. Here we present the CAM assay as a possible model to study autophagy in different types of cancer using immunohistochemistry. Compared with other 3D and xenograft models, the CAM assay displays several advantages such as lower costs, shorter experimental times, physiological environment and reproducibility. Macroautophagy hereafter simply referred to as “autophagy” is a conserved cellular catabolic process that degrades and recycles cellular components. Under basal conditions, autophagy contributes to the maintenance of cellular homeostasis whereas under cellular stress, such as starvation or hypoxia, autophagy is activated as a survival mechanism. Dysregulation of autophagy has been described in many diseases. In cancer, autophagy has been suggested to play a dual role. Whereas autophagy has been reported to play a tumor suppressive role in early stages, it seems to be rather tumor supportive in later stages. Here we provide a method to study autophagy in 3D microtumors of cancer cells grown on the CAM.

Immunology

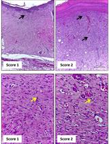
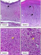
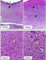
Morphological Evaluation of Wound Healing Events in the Excisional Wound Healing Model in Rats

Morphological Evaluation of Wound Healing Events in the Excisional Wound Healing Model in Rats

Lígia Reis de Moura Estevão Lígia Reis de Moura Estevão
Puebla Cassini-Vieira Puebla Cassini-Vieira
Ana Greice Borba Leite Ana Greice Borba Leite
Apolônia Agnes Vilar de Carvalho Bulhões Apolônia Agnes Vilar de Carvalho Bulhões
Lucíola da Silva Barcelos Lucíola da Silva Barcelos
JE Joaquim Evêncio-Neto
12949 Views
Jul 5, 2019
Skin wound healing is a complex process involving different events such as blood coagulation, inflammation, new blood vessels formation, and extracellular matrix deposition. These events can be observed by using histology techniques. However, the lack of the standardization of such parameters impacts on the reproducibility of results. Here, we describe a protocol to perform macroscopic and microscopic analyses of the events that occur during skin wound healing using the experimental model of excisional wounds in rats.
In vitro Infection of Primary Human Monocytes with HIV-1

In vitro Infection of Primary Human Monocytes with HIV-1

Patrick O’Connell Patrick O’Connell
YZ Yong-Hui Zheng
AA Andrea Amalfitano
YA Yasser A. Aldhamen
6063 Views
Jul 5, 2019
Monocyte infection by HIV-1 is an important component of chronic HIV pathogenesis. Following infection by HIV-1, monocytes are able to cross the blood brain barrier and set up a viral reservoir in the central nervous system. Additionally, in the setting of chronic HIV-1 infection, monocytes can become activated either directly through HIV-1 infection or indirectly via HIV-1-mediated systemic immune activation. Currently, there are few studies looking at HIV-1 infection of primary human monocytes in vitro. Furthermore, detection of successful HIV-1 infection of monocytes can be laborious requiring an ELISA for p24 or assessing levels of HIV-1 mRNA or DNA. This protocol utilizes an HIV-1 strain expressing GFP to allow for easy quantification of HIV-1 infection by fluorescence-assisted cell sorting (FACS). By determining HIV-1 infection by FACS one can take advantage of its multiparametric nature allowing for the use of less cells and the ability to assess the expression of other markers on HIV-1+ and HIV-1- cells in the same experiment. Additionally, this protocol could be modified to study HIV-1 infection of other cells including CD4+ T cells.

Microbiology

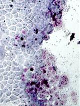
Gentamicin Protection Assay to Determine the Number of Intracellular Bacteria during Infection of Human TC7 Intestinal Epithelial Cells by Shigella flexneri

Gentamicin Protection Assay to Determine the Number of Intracellular Bacteria during Infection of Human TC7 Intestinal Epithelial Cells by Shigella flexneri

Atin Sharma Atin Sharma
Andrea Puhar Andrea Puhar
9792 Views
Jul 5, 2019
Shigella flexneri is an intracellular bacterial pathogen that gains access to the gut epithelium using a specialized Type III Secretion System (T3SS). Various determinants mediating this invasive infection have been experimentally verified using the classical gentamicin protection assay presented here. In this assay epithelial cell lines are infected by bacteria in vitro and the extracellular bacteria are killed by gentamicin. The internalized bacteria, which are protected from the bactericidal action of gentamicin, are recovered by lysing the epithelial cells and enumerated by determining the colonies formed on solid medium. Various techniques based on light microscopy, such as immunofluorescence and bacteria expressing fluorescent proteins, are also used for studying intracellular bacteria. However, these techniques are not only labor intensive and require sophisticated equipment, but mostly are also not quantitative. Despite being an easy quantitative method to study invasiveness of bacteria, the gentamicin protection assay cannot distinguish between the survival and multiplication of the internalized bacteria over longer incubation periods. To alleviate the complications created by multiplication and dissemination of internalized bacteria, complementary assays like plaque formation assays are required. This protocol presents an easy and cost-effective method to determine the invasiveness and the capacity to establish an infection of Shigella under different conditions.
Fluorescence Microscopy Assay to Measure HIV-1 Capsid Uncoating Kinetics in vitro

Fluorescence Microscopy Assay to Measure HIV-1 Capsid Uncoating Kinetics in vitro

CM Chantal L. Márquez
DL Derrick Lau
JW James Walsh
KR K. M. Rifat Faysal
MP Michael W. Parker
ST Stuart G. Turville
TB Till Böcking
6869 Views
Jul 5, 2019
The stability of the HIV-1 capsid and the spatiotemporal control of its disassembly, a process called uncoating, need to be finely tuned for infection to proceed. Biochemical methods for measuring capsid lattice disassembly in bulk are unable to resolve intermediates in the uncoating reaction. We have developed a single-particle fluorescence microscopy method to follow the real-time uncoating kinetics of authentic HIV capsids in vitro. The assay utilizes immobilized viral particles that are permeabilized with the a pore-former protein, and is designed to (1) detect the first defect of the capsid by the release of a solution phase marker (GFP) and (2) visualize the disassembly of the capsid over time by “painting” the capsid lattice with labeled cyclophilin A (CypA), a protein that binds weakly to the outside of the capsid. This novel assay allows the study of dynamic interactions of molecules with hundreds of individual capsids as well as to determine their effect on viral capsid stability, which provides a powerful tool for dissecting uncoating mechanisms and for the development of capsid-binding drugs.
Plaque Assay to Determine Invasion and Intercellular Dissemination of Shigella flexneri in TC7 Human Intestinal Epithelial Cells

Plaque Assay to Determine Invasion and Intercellular Dissemination of Shigella flexneri in TC7 Human Intestinal Epithelial Cells

Atin  Sharma Atin Sharma
Andrea Puhar Andrea Puhar
6246 Views
Jul 5, 2019
Shigella flexneri invades the epithelial cells lining the gut lumen and replicates intracellularly. The specialized Type III Secretion System (T3SS) and its effector proteins, encoded on a large virulence plasmid, assist the bacterium to gain access to the cytosol. Thereafter Shigella disseminates to neighboring cells in an epithelial layer without further extracellular steps. Host cell lysis occurs when these bacteria have extensively replicated in the target cell cytosol. Here we describe a simple method to qualitatively as well as quantitatively study the capacity of Shigella to invade and disseminate within an epithelium by assessing the number and size of plaques representing the dead cells in a monolayer of TC7 cells. This classical protocol follows a simple approach of infecting the monolayers of epithelial cell lines with Shigella and visualizing the dead cells as plaques formed against a stained background.
Preparation and Purification of Active Recombinant Human Pancreatic Lipase in Escherichia coli

Preparation and Purification of Active Recombinant Human Pancreatic Lipase in Escherichia coli

NK Nanami Kawaguchi
HO Haruko Ogawa
KD Kimie Date
5984 Views
Jul 5, 2019
Human pancreatic lipase (HPL) is the main lipolytic enzyme involved in the digestion of dietary fat. An active recombinant human pancreatic lipase (recHPL) was successfully prepared for the first time in an Escherichia coli (E. coli) expression system using a short Strep-tag II (ST II). The recHPL-ST II was solubilized with 8 M urea from the E. coli lysate and purified on a Strep-Tactin-Sepharose column. After refolding by stepwise dialyses against decreasing concentrations of urea in the presence of glycerol and Ca2+ for two days followed by gel filtration FPLC, 1.8-6 mg of active recHPL-ST II was obtained from 1 L of culture. Here we report the expression, purification, and optimized refolding procedures for active recHPL from E. coli, thus establishing it as a suitable system for the production of recHPL of high purity and scaling up.
In vitro and in vivo Assessment of Protein Acetylation Status in Mycobacteria

In vitro and in vivo Assessment of Protein Acetylation Status in Mycobacteria

KS Krishna K. Singh
DS Devendra P. Singh
RS Rambir Singh
DS Deepak K. Saini
5687 Views
Jul 5, 2019
Protein acetylation is one of the standard post-translational modifications found in proteins across all organisms, along with phosphorylation which regulates diverse cellular processes. Acetylation of proteins can be enzymatically catalyzed through acetyltransferases, acetyl CoA synthetases or non-enzymatically through acyl carrier metabolic intermediates. In this protocol, using response regulator proteins as targets we describe the experimental strategy for probing the occurrence of acetylation using purified recombinant proteins in an in vitro setup. Further using M. smegmatis strains overexpressing the wild type or mutant response regulator protein, we also describe how in vivo acetylation can be validated in Mycobacterial proteins. The described approach can be used for analyzing acetylation of any mycobacterial protein under both in vitro and in vivo conditions.

Molecular Biology

An Efficient Approach for RNA Extraction from Boar Sperm and Seminal Plasma

An Efficient Approach for RNA Extraction from Boar Sperm and Seminal Plasma

VK Vanmathy R. Kasimanickam
RK Ramanathan K. Kasimanickam
7226 Views
Jul 5, 2019
Despite transcriptional silencing in mature sperm and cytoplasmic expulsion of RNA during the final sperm maturation process, thousands of RNAs have been successfully identified in ejaculated sperm. Although most of RNAs’ function is still unknown, it is suggested that sperm RNAs have a vital biological role in fertilization and post-fertilization events. Nevertheless, the lack of accurate RNA isolation techniques and the resultant good quality sperm RNA has hampered the exploration of sperm RNAs function. Additionally, small non-coding RNAs are found in extracellular fluids including seminal plasma. These small RNAs may participate in cell to cell communication or intracellular and extracellular message transmission. Developing precise protocols to extract RNA from sperm and seminal plasma is critical to elucidate sperm physiology and paternal contributions to fertilization and post-fertilization events. A detailed procedure consisting of semen collection, separation of sperm and seminal plasma, extracting RNA from sperm and seminal plasma, and determining the quantity and quality of RNA for boar semen is presented here. This efficient protocol can be extrapolated to isolate RNAs from sperm and seminal plasma across mammalian species.
Detection of Heteroplasmic Variants in the Mitochondrial Genome through Massive Parallel Sequencing

Detection of Heteroplasmic Variants in the Mitochondrial Genome through Massive Parallel Sequencing

JM Joke Mertens
FZ Filippo Zambelli
DD Dorien Daneels
BC Ben Caljon
KS Karen Sermon
Claudia  Spits Claudia Spits
5524 Views
Jul 5, 2019
Detecting heteroplasmies in the mitochondrial DNA (mtDNA) has been a challenge for many years. In the past, Sanger sequencing was the main option to perform this analysis, however, this method could not detect low frequency heteroplasmies. Massive Parallel Sequencing (MPS) provides the opportunity to study the mtDNA in depth, but a controlled pipeline is necessary to reliably retrieve and quantify the low frequency variants. It has been shown that differences in methods can significantly affect the number and frequency of the retrieved variants. In this protocol, we present a method involving both wet lab and bioinformatics that allows identifying and quantifying single nucleotide variants in the full mtDNA sequence, down to a heteroplasmic load of 1.5%. For this, we set up a PCR-based amplification of the mtDNA, followed by MPS using Illumina chemistry, and variant calling with two different algorithms, mtDNA server and Mutect. The PCR amplification is used to enrich the mitochondrial fraction, while the bioinformatic processing with two algorithms is used to discriminate the true heteroplasmies from background noise. The protocol described here allows for deep sequencing of the mitochondrial DNA in bulk DNA samples as well as single cells (both large cells such as human oocytes, and small-sized single cells such as human embryonic stem cells) with minor modifications to the protocol.
Optogenetic Inactivation of Transcription Factors in the Early Embryo of Drosophila

Optogenetic Inactivation of Transcription Factors in the Early Embryo of Drosophila

SM Stephen L. McDaniel
MH Melissa M. Harrison
5194 Views
Jul 5, 2019
The early embryo of Drosophila melanogaster exists as a rapidly dividing syncytium of nuclei that are transcriptionally silent. Maternally deposited factors are required to awaken the genome and assist in the transition from maternal to zygotic control of development. Because many of these essential factors are maternally deposited and the early nuclear divisions are so rapid, it has been difficult to assess the functional role of transcription factors at discrete points in early embryonic development. To address this issue, we have developed an optogenetic system that can rapidly and reversibly inactivate transcription factors with nuclear-cycle resolution. The temporal precision enabled by this technique will allow a mechanistic understanding of how transcription factors function together to control genome activation and patterning in the early embryo and is likely broadly applicable to factors throughout embryogenesis.

Stem Cell

CRISPR/Cas9 + AAV-mediated Intra-embryonic Gene Knocking in Mice

CRISPR/Cas9 + AAV-mediated Intra-embryonic Gene Knocking in Mice

NM Naoaki Mizuno
EM Eiji Mizutani
HS Hideyuki Sato
MK Mariko Kasai
HN Hiromitsu Nakauchi
Tomoyuki Yamaguchi Tomoyuki Yamaguchi
7184 Views
Jul 5, 2019
Intra-embryo genome editing by CRISPR/Cas9 has enabled rapid generation of gene knockout animals. However, large fragment knock-in directly into embryos’ genome is still difficult, especially without microinjection of donor DNA. Viral vectors are good transporters of knock-in donor DNA for cell lines, but seemed unsuitable for pre-implantation embryos with zona pellucida, glycoprotein membrane surrounding early embryos. We found adeno-associated virus (AAV) can infect zygotes of various mammals through intact zona pellucida. AAV-mediated donor DNA delivery following Cas9 ribonucleoprotein electroporation enables large fragment knock-in without micromanipulation.

Correction

Correction Notice: Labeling Aversive Memory Trace in Mouse Using a Doxycycline-inducible Expression System

Correction Notice: Labeling Aversive Memory Trace in Mouse Using a Doxycycline-inducible Expression System

Erin E. Koffman Erin E. Koffman
Jianyang Du Jianyang Du
2293 Views
Jul 5, 2019