Past Issue in 2018

Volume: 8, Issue: 3

left

Dec

20

Dec

5

Nov

20

Nov

5

Oct

20

Oct

5

Sep

20

Sep

5

Aug

20

Aug

5

Jul

20

Jul

5

Jun

20

Jun

5

May

20

May

5

Apr

20

Apr

5

Mar

20

Mar

5

Feb

20

Feb

5

Jan

20

Jan

5

right

Biochemistry

FRET-based Stoichiometry Measurements of Protein Complexes in vitro

FRET-based Stoichiometry Measurements of Protein Complexes in vitro

FM Francesca Mattiroli
Yajie Gu Yajie Gu
Karolin Luger Karolin Luger
9231 Views
Feb 5, 2018
For a complete understanding of biochemical reactions, information on complex stoichiometry is essential. However, measuring stoichiometry is experimentally challenging. Our lab has developed a FRET-based assay to study protein complex stoichiometry in vitro. This assay, also known as Job plot, is set up as a continuous variation of the molar ratio between the two species, kept at constant total concentration. The FRET (Fluorescence Resonance Energy Transfer) between the two fluorescently-labeled proteins is measured and the stoichiometry is inferred from the sample with highest FRET signal. This approach allows us to assess complex stoichiometry in solution.

Cell Biology

Tracking Endocytosis and Intracellular Trafficking of Epitope-tagged  Syntaxin 3 by Antibody Feeding in Live, Polarized MDCK Cells

Tracking Endocytosis and Intracellular Trafficking of Epitope-tagged Syntaxin 3 by Antibody Feeding in Live, Polarized MDCK Cells

AG Adrian J. Giovannone
ER Elena Reales
PB Pallavi Bhattaram
AF Alberto Fraile-Ramos
TW Thomas Weimbs
9548 Views
Feb 5, 2018
The uptake and trafficking of cell surface receptors can be monitored by a technique called ‘antibody-feeding’ which uses an externally applied antibody to label the receptor on the surface of cultured, live cells. Here, we adapt the traditional antibody-feeding experiment to polarized epithelial cells (Madin-Darby Canine Kidney) grown on permeable Transwell supports. By adding two tandem extracellular Myc epitope tags to the C-terminus of the SNARE protein syntaxin 3 (Stx3), we provided a site where an antibody could bind, allowing us to perform antibody-feeding experiments on cells with distinct apical and basolateral membranes. With this procedure, we observed the endocytosis and intracellular trafficking of Stx3. Specifically, we assessed the internalization rate of Stx3 from the basolateral membrane and observed the ensuing endocytic route in both time and space using immunofluorescence microscopy on cells fixed at different time points. For cell lines that form a polarized monolayer containing distinct apical and basolateral membranes when cultured on permeable supports, e.g., MDCK or Caco-2, this protocol can measure the rate of endocytosis and follow the subsequent trafficking of a target protein from either limiting membrane.
Ex vivo Analysis of Lipolysis in Human Subcutaneous Adipose Tissue Explants

Ex vivo Analysis of Lipolysis in Human Subcutaneous Adipose Tissue Explants

PD Pauline Decaunes
AB Anne Bouloumié
MR Mikael Ryden
JG Jean Galitzky
8029 Views
Feb 5, 2018
Most studies of human adipose tissue (AT) metabolism and functionality have been performed in vitro on isolated mature adipocyte or in situ using the microdialysis technique (Lafontan, 2012). However, these approaches have several limitations. The use of mature isolated adipocytes is limiting as adipocytes are not in their physiological environment and the collagenase digestion process could affect both adipocyte survival and functionality. While metabolic studies using microdialysis have brought the advantage of studying the lipolytic response of the adipose tissue in situ, it provides only qualitative measures but does not give any information on the contribution of different adipose tissue cell components. Moreover, the number of microdialysis probes that can be used concomitantly in one subject is limited and can be influenced by local blood flow changes and by the molecular size cut-off of the microdialysis probe. Here we present a protocol to assess adipose tissue functionality ex vivo in AT explants allowing the studies of adipose tissue in its whole context, for several hours. In addition, the isolation of the different cell components to evaluate the cell-specific impact of lipolysis can be performed. We recently used the present protocol and demonstrated that fatty acid release during lipolysis impacts directly on a specific cell subset present in the adipose tissue stroma-vascular compartment. This assay can be adapted to address other research questions such as the effects of hormones or drugs treatment on the phenotype of the various cell types present in adipose tissue (Gao et al., 2016).
Measurement of Lysosomal Size and Lysosomal Marker  Intensities in Adult Caenorhabditis elegans

Measurement of Lysosomal Size and Lysosomal Marker Intensities in Adult Caenorhabditis elegans

JH Julie M. Huynh
HD Hope Dang
HF Hanna Fares
7370 Views
Feb 5, 2018
Assays have been developed to study trafficking in various tissues of Caenorhabditis elegans. Adult C. elegans intestinal cells are large and have extensive endocytic networks, thus making them a good system for deciphering the endocytic pathway using live imaging techniques. However, the presence of auto-fluorescent gut granules in adult intestine can interfere with the signals of endocytic compartment reporters, like GFP. Here we demonstrate a protocol adapted from the original method developed by the Grant laboratory to identify signals from reporters in adult intestinal cells. The goal of this protocol is to identify endocytic compartments tagged with fluorescent markers without any confounding effects of background autofluorescent gut granules in adult intestinal cells of Caenorhabditis elegans.
Analysis of Chromosome Condensation/Decondensation During Mitosis  by EdU Incorporation in Nigella damascena L. Seedling Roots

Analysis of Chromosome Condensation/Decondensation During Mitosis by EdU Incorporation in Nigella damascena L. Seedling Roots

Eugene V. Sheval Eugene V. Sheval
6933 Views
Feb 5, 2018
To investigate the chromosome dynamics during mitosis, it is convenient to mark the discrete chromosome foci and then analyze their spatial rearrangements during prophase condensation and telophase decondensation. To label the chromosome regions in plant chromosomes, we incorporated the synthetic nucleotide, 5-ethynyl-2’-deoxyuridine (EdU), which can be detected by click-chemistry, into chromatin during replication. Here, we described a protocol of a method based on the application of semi-thin sections of Nigella damascena L. roots embedded in LR White acrylic resin. The thickness of semi-thin (100-250 nm) sections is significantly lower than that of optical sections even if a confocal microscope was used. This approach may also be suitable for work with any tissue fragments or large cells (oocytes, cells with polytene chromosomes, etc.).

Developmental Biology

How to Catch a Smurf? – Ageing and Beyond…In vivo Assessment of Intestinal Permeability in Multiple Model Organisms

How to Catch a Smurf? – Ageing and Beyond…
In vivo Assessment of Intestinal Permeability in Multiple Model Organisms

RM Raquel R. Martins
AM Andrew W. McCracken
MS Mirre J. P. Simons
Catarina M. Henriques Catarina M. Henriques
MR Michael Rera
13896 Views
Feb 5, 2018
The Smurf Assay (SA) was initially developed in the model organism Drosophila melanogaster where a dramatic increase of intestinal permeability has been shown to occur during aging (Rera et al., 2011). We have since validated the protocol in multiple other model organisms (Dambroise et al., 2016) and have utilized the assay to further our understanding of aging (Tricoire and Rera, 2015; Rera et al., 2018). The SA has now also been used by other labs to assess intestinal barrier permeability (Clark et al., 2015; Katzenberger et al., 2015; Barekat et al., 2016; Chakrabarti et al., 2016; Gelino et al., 2016). The SA in itself is simple; however, numerous small details can have a considerable impact on its experimental validity and subsequent interpretation. Here, we provide a detailed update on the SA technique and explain how to catch a Smurf while avoiding the most common experimental fallacies.
Preparation of Precisely Oriented Cryosections of Undistorted Drosophila Wing  Imaginal Discs for High Resolution Confocal Imaging

Preparation of Precisely Oriented Cryosections of Undistorted Drosophila Wing Imaginal Discs for High Resolution Confocal Imaging

SP Samuel Petshow
Marcel Wehrli Marcel Wehrli
9913 Views
Feb 5, 2018
The combination of immunofluorescence and laser scanning confocal microscopy (LSM) is essential to high-resolution detection of molecular distribution in biological specimens. A frequent limitation is the need to image deep inside a tissue or in a specific plane, which may be inaccessible due to tissue size or shape. Recreating high-resolution 3D images is not possible because the point-spread function of light reduces the resolution in the Z-axis about 3-fold, compared to XY, and light scattering obscures signal deep in the tissue. However, the XY plane of interest can be chosen if embedded samples are precisely oriented and sectioned prior to imaging (Figure 1). Here we describe the preparation of frozen tissue sections of the Drosophila wing imaginal disc, which allows us to obtain high-resolution images throughout the depth of this folded epithelium.Figure 1. The epithelial structure and undistorted folding pattern are revealed in its entire depth in this frozen section of developing Drosophila wing. A-D. Transverse dorsoventral sections through the wing pouch. A. Cryosection reveals nuclei (A, green) and subcellular distribution of α-catenin (A’, A”, magenta) with signal throughout the depth of the epithelium. The basal surface is clearly detectable (arrows). A” is digitally enhanced image of A’. B. A Z-stack of images collected in a top-down view displayed as XZ orthogonal view reveals nuclei (B) but little discernable detail for α-catenin (B’, B”) and even the digitally enhanced image (B”) fails to reveal the basal epithelial surface (arrow). C. Transverse dorsoventral section displaying the Distal-less (Dll, green) gradient in the wing pouch and subcellular localization of DE-Cadherin (magenta) throughout the epithelium. D. View of the wing pouch. Dorsal is to the left; apical is up. Scale bars are 1 µm in A, B, 11 µm in C, 5 µm in D.

Microbiology

Extraction of DNA from Murine Fecal Pellets for Downstream Phylogenetic  Microbiota Analysis by Next-generation Sequencing

Extraction of DNA from Murine Fecal Pellets for Downstream Phylogenetic Microbiota Analysis by Next-generation Sequencing

EE Elien Eeckhout
AW Andy Wullaert
12172 Views
Feb 5, 2018
Mouse models are widely used to evaluate the potential impact of the gut microbial composition on health and disease. Standardized protocols for sampling and storing murine feces, as well as for extracting DNA from these fecal pellets are needed to limit experimental variation between different studies. Both efficient lysis of the microbiota and the quality of the obtained fecal DNA are important for allowing the downstream next-generation sequencing to cover the phylogenetic diversity of both Gram-negative and Gram-positive bacteria living in the mouse gut. Here we present a detailed protocol for fecal sample collection and DNA extraction that we validated in a study on the impact of inflammasomes on the murine gut microbiota. This protocol for DNA extraction from murine fecal pellets utilizes a combination of mechanical and chemical lysis, which aligns with the procedure that was recently recommended as a benchmark protocol for DNA extraction from human feces.
Quantification of Neisseria meningitidis Adherence to Human  Epithelial Cells by Colony Counting

Quantification of Neisseria meningitidis Adherence to Human Epithelial Cells by Colony Counting

SS Sara Sigurlásdóttir
SS Sunil D Saroj
OE Olaspers Sara Eriksson
JE Jens Eriksson
AJ Ann-Beth Jonsson
8784 Views
Feb 5, 2018
To cause an infection, the human specific pathogen Neisseria meningitides must first colonize the nasopharynx. Upon tight interaction with the mucosal epithelium, N. meningitidis may cross the epithelial cellular barrier, reach the bloodstream and cause sepsis and/or meningitis. Since N. meningitidis niche is restricted to humans the availability of relevant animal models to study host-pathogen interactions are limiting. Therefore, most findings that involve N. meningitidis colonization derive from studies using cultured human cell lines. Human epithelial cells have been successfully used to examine and identify molecular effectors involved in initial adherence of the pathogen. Here, we describe a standard protocol to quantify the adherence of N. meningitidis to epithelial pharyngeal FaDu cells. Colony counts of cell lysates collected after infection are used to quantify adherence to the epithelial cells.
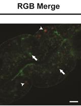
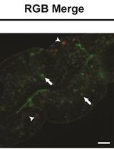
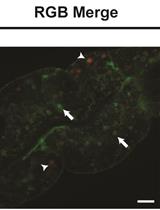
Immunofluorescence Analysis of Human Endocervical Tissue  Explants Infected with Neisseria gonorrhoeae

Immunofluorescence Analysis of Human Endocervical Tissue Explants Infected with Neisseria gonorrhoeae

LW Liang-Chun Wang
QY Qian Yu
DS Daniel C. Stein
WS Wenxia Song
7954 Views
Feb 5, 2018
Colonization and penetration of the epithelium is the infection-initiating route of mucosal pathogens. The epithelium counteracts infection by eliciting host cell responses while maintaining the mucosal barrier function. The obligate human sexually transmitted bacterium Neisseria gonorrhoeae, or gonococcus (GC) infects the female reproductive tract primarily from the endocervical epithelium. Due to lack of an infection model that mimics all aspects of human infections in the female reproductive tract, GC pathogenesis is poorly understood. This protocol takes advantage of the viability and functional integrity of human cervical tissues propagated in culture to generate an ex vivo infection model. This tissue model maintains the nature of the infection target and environment without any manipulation such as immortalization of epithelial cells by viruses. Using immunofluorescence microscopy, the interaction of GC with the endocervical epithelium was analyzed.

Molecular Biology

Immunoprecipitation of Tri-methylated Capped RNA

Immunoprecipitation of Tri-methylated Capped RNA

KH Karen E. Hayes
JB Jamie A. Barr
MX Mingyi Xie
JS Joan A. Steitz
Ivan Martinez Ivan Martinez
9881 Views
Feb 5, 2018
Cellular quiescence (also known as G0 arrest) is characterized by reduced DNA replication, increased autophagy, and increased expression of cyclin-dependent kinase p27Kip1. Quiescence is essential for wound healing, organ regeneration, and preventing neoplasia. Previous findings indicate that microRNAs (miRNAs) play an important role in regulating cellular quiescence. Our recent publication demonstrated the existence of an alternative miRNA biogenesis pathway in primary human foreskin fibroblast (HFF) cells during quiescence. Indeed, we have identified a group of pri-miRNAs (whose mature miRNAs were found induced during quiescence) modified with a 2,2,7-trimethylguanosine (TMG)-cap by the trimethylguanosine synthase 1 (TGS1) protein and transported to the cytoplasm by the Exportin-1 (XPO1) protein. We used an antibody against (TMG)-caps (which does not cross-react with the (m7G)-caps that most pri-miRNAs or mRNAs contain [Luhrmann et al., 1982]) to perform RNA immunoprecipitations from total RNA extracts of proliferating or quiescent HFFs. The novelty of this assay is the specific isolation of pri-miRNAs as well as other non-coding RNAs containing a TMG-cap modification.
Precision Tagging: A Novel Seamless Protein Tagging by Combinational  Use of Type II and Type IIS Restriction Endonucleases

Precision Tagging: A Novel Seamless Protein Tagging by Combinational Use of Type II and Type IIS Restriction Endonucleases

Zhen Xu Zhen Xu
YR Yan-Ning Rui
JH John P. Hagan
DK Dong H. Kim
9088 Views
Feb 5, 2018
Protein tagging is a powerful tool for performing comprehensive analyses of the biological functions of a protein of interest owing to the existence of a wide variety of tags. It becomes indispensable in some cases, such as in tracking protein dynamics in a live cell or adding a peptide epitope due to the lack of optimal antibodies. However, efficiently integrating an array of tags into the gene of interest remains a challenge. Traditional DNA recombinant technology based on type II restriction endonucleases renders protein tagging tedious and inefficient as well as the introduction of an unwanted junction sequence. In our attempt to tag Thrombospondin type 1 domain-containing 1 (THSD1) that we identified as the first intracranial aneurysm gene (Santiago-Sim et al., 2016), we developed a novel precision tagging technique by combinational use of type II and IIS restriction endonucleases (Xu et al., 2017), which generates a seamless clone with high efficiency. Here, we describe a protocol that not only provides a generalized strategy for any gene of interest but also takes its application of 11 different tags in THSD1 as a step-by-step example.
Measuring Nucleosome Assembly Activity in vitro with the Nucleosome  Assembly and Quantification (NAQ) Assay

Measuring Nucleosome Assembly Activity in vitro with the Nucleosome Assembly and Quantification (NAQ) Assay

FM Francesca Mattiroli
Yajie Gu Yajie Gu
Karolin  Luger Karolin Luger
8843 Views
Feb 5, 2018
Nucleosomes organize the eukaryotic genome into chromatin. In cells, nucleosome assembly relies on the activity of histone chaperones, proteins with high binding affinity to histones. At least a subset of histone chaperones promotes histone deposition in vivo. However, it has been challenging to characterize this activity, due to the lack of quantitative assays. Here we developed a quantitative nucleosome assembly (NAQ) assay to measure the amount of nucleosome formation in vitro. This assay relies on a Micrococcal nuclease (MNase) digestion step that yields DNA fragments protected by the deposited histone proteins. A subsequent run on the Bioanalyzer machine allows the accurate quantification of the fragments (length and amount), relative to a loading control. This allows us to measure nucleosome formation by following the signature DNA length of ~150 bp. This assay finally enables the characterization of the nucleosome assembly activity of different histone chaperones, a step forward in the understanding of the functional roles of these proteins in vivo.
Medaka-microinjection with an Upright Microscope

Medaka-microinjection with an Upright Microscope

Yu Murakami Yu Murakami
MK Masato Kinoshita
8729 Views
Feb 5, 2018
We described a simple method for microinjecting DNA/RNA/Protein solutions into medaka eggs under an upright microscope. Medaka is an excellent vertebrate model for reverse genetics, because of its daily spawning, short generation time, and egg transparency. These features enable us to efficiently perform functional genomic analyses of transgenic or genome edited fish. This protocol contains the initial steps necessary to create various types of genetically modified fish.
Determination of DNA Damage in the Retina Photoreceptors of Drosophila

Determination of DNA Damage in the Retina Photoreceptors of Drosophila

MD Damulewicz Milena
Pyza Elzbieta Pyza Elzbieta
7132 Views
Feb 5, 2018
The retina is sensitive for light damages, because of direct light exposure, especially intense blue and UV light, which increase level of ROS and other toxic phototransduction products in photoreceptor cells. In our previous work (Damulewicz et al., 2017a and 2017b), we used 8-oxo-deoxyguanosine (8-OHdG) as a marker for oxidative stress to investigate the role of heme oxygenase in DNA protection against UV light. In this protocol, we showed how to determine the level of DNA damages in the retina using immunohistochemical staining.

Neuroscience

Culture and Nucleofection of Postnatal Day 7 Cortical and Cerebellar Mouse Astroglial Cells

Culture and Nucleofection of Postnatal Day 7 Cortical and Cerebellar Mouse Astroglial Cells

MC Malek Chouchane
MC Marcos Romualdo Costa
8746 Views
Feb 5, 2018
Lineage reprogramming of astroglial cells isolated from different brain regions leads to the generation of different neuronal subtypes. This protocol describes the isolation and culture of neocortical and cerebellar astrocytes from postnatal mice. We also present a comprehensive description of the main steps towards successful gene delivery in these cells using nucleofection. Neocortex and cerebellum astrocyte cultures obtained with these methods are suitable for the study of molecular and cellular mechanisms involved in direct cell lineage reprogramming into induced neurons (iNs).

Plant Science

Investigating Localization of Chimeric Transporter Proteins within  Chloroplasts of Arabidopsis thaliana

Investigating Localization of Chimeric Transporter Proteins within Chloroplasts of Arabidopsis thaliana

SU Susumu Uehara
YI Yasuko Ito-Inaba
TI Takehito Inaba
10146 Views
Feb 5, 2018
In this protocol, we describe a method to design chimeric proteins for specific targeting to the inner envelope membrane (IEM) of Arabidopsis chloroplasts and the confirmation of their localization by biochemical analysis. Specific targeting to the chloroplast IEM can be achieved by fusing the protein of interest with a transit peptide and an IEM targeting signal. This protocol makes it possible to investigate the localization of chimeric proteins in chloroplasts using a small number of transgenic plants by using a modified method of chloroplast isolation and fractionation. IEM localization of chimeric proteins can be further assessed by trypsin digestion and alkaline extraction. Here, the localization of the chimeric bicarbonate transporter, designated as SbtAII, is detected by Western blotting using antibodies against Staphylococcal protein A. This protocol is adapted from Uehara et al., 2016.
Identification of Insertion Site by RESDA-PCR in Chlamydomonas  Mutants Generated by AphVIII Random Insertional Mutagenesis

Identification of Insertion Site by RESDA-PCR in Chlamydomonas Mutants Generated by AphVIII Random Insertional Mutagenesis

Fantao Kong Fantao Kong
YL Yonghua Li-Beisson
8622 Views
Feb 5, 2018
Chlamydomonas reinhardtii is frequently used as a model organism to study fundamental processes in photosynthesis, metabolism, and flagellar biology. Versatile tool boxes have been developed for this alga (Fuhrmann et al., 1999; Schroda et al., 2000; Schroda, 2006). Among them, forward genetic approach has been intensively used, mostly because of the high efficiency in the generation of hundreds of thousands of mutants by random insertional mutagenesis and the haploid nature therefore phenotypic analysis can be done in the first generation (Cagnon et al., 2013; Tunçay et al., 2013). A major bottleneck in the application of high throughput methods in a forward genetic approach is the identification of the genetic lesion(s) responsible for the observed phenotype. In this protocol, we describe in detail an improved version of the restriction enzyme site-directed amplification PCR (RESDA-PCR) originally reported in (González-Ballester et al., 2005). The improvement includes optimization of primer combination, the choice of DNA polymerase, optimization of PCR cycle parameters, and application of direct sequencing of the PCR products. These modifications make it easier to get specific PCR products as well as speeding up subcloning steps to obtain sequencing data faster.
Radioactive Tracer Feeding Experiments and Product Analysis to Determine the Biosynthetic Capability of Comfrey (Symphytum officinale) Leaves for Pyrrolizidine Alkaloids

Radioactive Tracer Feeding Experiments and Product Analysis to Determine the Biosynthetic Capability of Comfrey (Symphytum officinale) Leaves for Pyrrolizidine Alkaloids

TS Thomas Stegemann
LK Lars H. Kruse
DO Dietrich Ober
7308 Views
Feb 5, 2018
This protocol delivers a method to determine the biosynthetic capability of comfrey leaves for pyrrolizidine alkaloids independently from other organs like roots or flowers.The protocol applies and combines radioactive tracer experiments with standard and modern techniques like thin layer chromatography (TLC), solid-phase extraction (SPE), high-performance liquid chromatography (HPLC) and gas chromatography-mass spectrometry (GC-MS).

Systems Biology

Extraction and Analysis of Pan-metabolome Polar Metabolites by Ultra Performance Liquid Chromatography–Tandem Mass Spectrometry (UPLC-MS/MS)

Extraction and Analysis of Pan-metabolome Polar Metabolites by Ultra Performance Liquid Chromatography–Tandem Mass Spectrometry (UPLC-MS/MS)

DM Dania M. Malik
SR Seth Rhoades
AW Aalim Weljie
10107 Views
Feb 5, 2018
Modern triple quadrupole mass spectrometers provide the ability to detect and quantify a large number of metabolites using tandem mass spectrometry (MS/MS). Liquid chromatography (LC) is advantageous, as it does not require derivatization procedures and a large diversity in physiochemical characteristics of analytes can be accommodated through a variety of column chemistries. Recently, the comprehensive optimization of LC-MS metabolomics using design of experiments (COLMeD) approach has been described and used by our group to develop robust LC-MS workflows (Rhoades and Weljie, 2016). The optimized LC-MS/MS method described here has been utilized extensively for metabolomics analysis of polar metabolites. Typically, tissue or biofluid samples are extracted using a modified Bligh-Dyer protocol (Bligh and Dyer, 1959; Tambellini et al., 2013). The protocol described herein describes this workflow using targeted polar metabolite multiple reaction monitoring (MRM) from tissues and biofluids via ultra-performance liquid chromatography-tandem mass spectrometry (UPLC-MS/MS). This workflow has been utilized extensively for chronometabolic analysis (Krishnaiah et al., 2017), with applications generalized to other types of analyses as well (Sengupta et al., 2017; Sivanand et al., 2017).