Past Issue in 2015

Volume: 5, Issue: 6

left

Dec

20

Dec

5

Nov

20

Nov

5

Oct

20

Oct

5

Sep

20

Sep

5

Aug

20

Aug

5

Jul

20

Jul

5

Jun

20

Jun

5

May

20

May

5

Apr

20

Apr

5

Mar

20

Mar

5

Feb

20

Feb

5

Jan

20

Jan

5

right

Cancer Biology

Detection of Phospho-KRAS by Electrophoretic Mobility Change in Human Cell Lines and in Tumor Samples from Nude Mice Grafts

Detection of Phospho-KRAS by Electrophoretic Mobility Change in Human Cell Lines and in Tumor Samples from Nude Mice Grafts

CB Carles Barceló
NP Noelia Paco
DC Debora Cabot
EG Eduard Garrido
NA Neus Agell
MJ Montserrat Jaumot
10134 Views
Mar 20, 2015
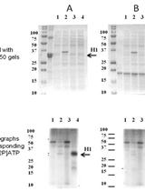
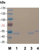
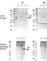
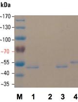
KRAS is the oncogene most frequently mutated in human solid tumors especially in pancreas, colon, small intestine, biliary tract and lung. We have recently demonstrated that oncogenic KRAS needs S181 phosphorylation to fully display its oncogenic features suggesting its inhibition as a therapeutic treatment against KRAS-driven tumors. Due to the importance to detect KRAS phosphorylation in human tumors and the absence of specific antibodies against phosphorylated KRAS, we developed a new protocol based on the Phos-tag SDS methodology to detect this post-translational modification for KRAS. Phos-tag is a molecule that binds specifically to phosphorylated proteins, decreasing their migration speed in SDS-PAGE and allowing its separation from the non-phosphorylated forms.

Microbiology

RNA Isolation from Synechocystis

RNA Isolation from Synechocystis

Kirill S. Mironov Kirill S. Mironov
Dmitry A. Los Dmitry A. Los
24189 Views
Mar 20, 2015
The protocol describes the procedure of total RNA isolation from cells of the cyanobacterium Synechocystis sp. PCC 6803. This protocol is also applicable to Synechococcus elongatus PCC 7942 and PCC 6301, Thermosynechococcus vulcanus, and other unicellular and filamentous species of cyanobacteria that do not have thick polysaccharide-containing outer layers. For the latter, Trizol-containing protocols should be adapted. The yield of RNA depends on optical density of cyanobacterial culture and may reach up to 10-20 µg of total RNA per 1 ml of cell culture. RNA isolated by this method can be used for Northern blot hybridization, RT-qPCR, microarrays and Next Generation Sequencing.
Gram Stain for Intestinal Bacteria

Gram Stain for Intestinal Bacteria

LG Luise Goroncy
Robert Zeiser Robert Zeiser
12454 Views
Mar 20, 2015
With this protocol you can perform a gram stain in paraffin embedded tissue sections.
Neutrophil Isolation from the Intestines

Neutrophil Isolation from the Intestines

LG Luise Goroncy
Robert Zeiser Robert Zeiser
11887 Views
Mar 20, 2015
This protocol provides the possibility to isolate leukocytes including neutrophils out of intestinal tissues to use the received cells in further experiments of interest.
Rapid Preparation of Unsheathed Bacterial Flagella

Rapid Preparation of Unsheathed Bacterial Flagella

SG Soazig Le Guyon
MR Mikael Rhen
Ute Römling Ute Römling
11197 Views
Mar 20, 2015
The flagellum is required for bacterial swimming and swarming motility. In the biphasic Salmonella enterica serovar Typhimurium (S. Typhimurium), the flagellar filament is build up by two distinct monomeric subunits, flagellin FliC and FljB. S. Typhimurium has the ability to switch between two flagellins, FliC and FljB, in a phase-variable manner. The switch to FliC is called phase H1 and considered important for bacterial growth and survival in the spleen in a murine infection model of typhoid fever. Flagellin is secreted as monomeric subunits, but the majority of flagellin is polymerized upon secretion as the flagellar filament. Salmonella flagellin has traditionally been isolated through a process involving multiple steps of centrifugation and acid treatment. Here, we delineate a simplified protocol for preparing Salmonella´s flagellin for analytical purpose to determine the amount of flagellin without the aid of antibodies. The growth conditions used were stationary phase, logarithmic phase and a low oxygen and high salt condition mimicking the gastrointestinal tract. Flagellin expression of other source organisms, such as other serovars of Salmonella enterica and Escherichia coli, including flagellar phase- or genetic variants can be analysed. Flagellin expression analysis complements flagella-associated phenotype analysis such as swimming and swarming behaviour.
Substrate Specificity of Recombinant Ser/Thr Protein Kinase

Substrate Specificity of Recombinant Ser/Thr Protein Kinase

AZ Anna A. Zorina
GN Galina V. Novikova
Dmitry A. Los Dmitry A. Los
9974 Views
Mar 20, 2015
Protein kinases are enzymes that phosphorylate proteins in a cell. Determination of kinase activity in reactions of phosphorylation is a very convenient way for a biochemical characterization of this group of enzymes. Here we describe a method to determine the activity of a recombinant Ser/Thr protein kinase using as a possible substrate MBP, H1, and BSA.

Plant Science

Staining of Callose Depositions in Root and Leaf Tissues

Staining of Callose Depositions in Root and Leaf Tissues

SS Sebastian T. Schenk
Adam Schikora Adam Schikora
27913 Views
Mar 20, 2015
The plant cell wall is a physical barrier, which fulfills a plethora of functions, for example it can efficiently prevent pathogen’s entry into the cell. In addition, its changing composition contributes to plants inducible defense mechanisms. This layer of defense includes pathogen perception and is followed by the activation of defense responses resulting, among others, in a modification and remodeling of the cell wall. This relatively late defense response (hours or days after contact with pathogen) comprises the accumulation of polysaccharides, such as the 1,3-ß-glucan callose, phenolic compounds and reactive oxygen species. Callose depositions occur during normal plant growth (e.g. in the phloem), they can be also a response to different stress stimuli. During the response to pathogen attack, callose depositions are essential part of cell wall reinforcement and are important for successful plant defense. Here, we describe a method to stain callose apposition spots, which can be used to quantify this defense response.
 Chemiluminescence Detection of the Oxidative Burst in Plant Leaf Pieces

Chemiluminescence Detection of the Oxidative Burst in Plant Leaf Pieces

MA Markus Albert
MB Melinka A. Butenko
RA Reidunn B. Aalen
GF Georg Felix
MW Mari Wildhagen
19232 Views
Mar 20, 2015
The production of 'reactive oxygen species' (ROS), also termed oxidative burst, is a typical cellular response of animals and plants to diverse biotic and abiotic stresses. Here, we outline the detection of the ROS-burst in plant leaf pieces using a luminol-based bioassay which allows for the detection of chemiluminescence. The assay was originally described by Keppler et al. (1989) and subsequently adapted for other plant cells and tissues (Felix et al., 1999) and also used in recent publications (Albert et al., 2013; Albert et al., 2010; Butenko et al., 2014; Halter et al., 2014). In this protocol we outline a standardized version of this assay including remarks and recommendations for data evaluation and interpretation of results.
Lignin Extraction and Quantification, a Tool to Monitor Defense Reaction at the Plant Cell Wall Level

Lignin Extraction and Quantification, a Tool to Monitor Defense Reaction at the Plant Cell Wall Level

SS Sebastian T. Schenk
Adam Schikora Adam Schikora
16347 Views
Mar 20, 2015
Lignin is a complex polymer of phenolic compounds (monolignins), which contributes to the rigidity of the plant cell wall. Lignification is essential for plant development, however it is also one of the mechanisms of plant defense. Accumulation of lignin and the polymerization of monolignins at sides of pathogen attack protect the cell wall against cell wall-degrading enzymes and prevent therefore the pathogen’s penetration. In addition to cross-linkage of phenolic compounds, this resistance mechanism includes also callose and cellulose appositions on the cell wall. This results in structures called papillae, which provide the necessary resistance to the mechanical pressure exercised by fungal appressorium. Lignin accumulation in cell walls is therefore a part of plant defense responses. Here we describe a quantification method for lignin and cell wall phenolic compounds, which is based on an acid-catalyzed reaction resulting in a colored and soluble lignin-thioglycolate complex suitable for photometric measurements.
Scanner-based Time-lapse Root Phenotyping

Scanner-based Time-lapse Root Phenotyping

Michael O. Adu Michael O. Adu
LW Lea Wiesel
MB Malcolm J. Bennett
MB Martin R. Broadley
Philip J. White Philip J. White
LD Lionel X. Dupuy
14146 Views
Mar 20, 2015
Non-destructive phenotyping of root system architecture can facilitate breeding for root traits that optimize resource acquisition. This protocol describes the construction of a low-cost, high-resolution root phenotyping platform, requiring no sophisticated equipment and adaptable to most laboratory and glasshouse environments. The phenotyping platform consists of germination paper abutting scanners and open-source image acquisition software which allows live imaging of root systems. The phenotyping platform is scalable, modular and inexpensive.
A Chemiluminescence Based Receptor-ligand Binding Assay Using Peptide Ligands with an Acridinium Ester Label

A Chemiluminescence Based Receptor-ligand Binding Assay Using Peptide Ligands with an Acridinium Ester Label

MW Mari Wildhagen
MB Melinka A. Butenko
RA Reidunn B. Aalen
GF Georg Felix
MA Markus Albert
11711 Views
Mar 20, 2015
Studying the biochemical interaction of ligands with their corresponding receptors requires highly sensitive detection and monitoring of the bound ligand. Classically, radioactively labelled ligands have been widely used as highly sensitive tools for such binding measurements. Disadvantages of radiolabelling include instability of products, high costs and risks of working with radioactivity. Thus, assays using chemiluminescent probes offer convenient, highly sensitive alternatives. Here we suggest acridinium esters as suitable conjugates to label ligands of interest. Chemical oxidation of acridinium esters triggers chemiluminescence, allowing quantitation of this compound down to amol concentrations in standard luminometers. The first report about acridinium esters in immunoassays date back to 1983 (Weeks et al., 1983) and demonstrated the ability to conjugate acridinium to peptides, followed by using such peptides to measure receptor – peptide ligand interactions (Joss and Towbin, 1994). Recently, this binding assay was adapted for studying derivatives of the plant peptide IDA (INFLORESCENCE DEFICIENT IN ABSCISSION) and their interaction with the corresponding receptor HSL2 (HAESA-LIKE 2) was reported (Butenko et al., 2014). Here we describe how this sensitive, nonradioactive binding approach can be used to reveal receptor-ligand binding in plant material.
Airbrush Infiltration Method for Pseudomonas syringae Infection Assays in Soybean

Airbrush Infiltration Method for Pseudomonas syringae Infection Assays in Soybean

MB Shine MB Shine
Da-Qi Fu Da-Qi Fu
Aardra Kachroo Aardra Kachroo
10547 Views
Mar 20, 2015
We developed this protocol to assay the extent of proliferation of Pseudomonas syringae pv. glycinea in soybean leaves. This method specifically enables accurate pathogenesis assays of soybean plants at V2/V3 (2nd/3rd trifoliate) or higher stages of growth. The leaves of soybean plants at these growth stages are not amenable to bacterial infiltration using routine needleless syringe infiltration due to the high number of trichomes on these mature leaves. This method enables efficient infiltration of bacteria into the epidermal cells of mature leaves using a pressure pump.