Soft Agar Anchorage-independent Assay

软琼脂锚着非依赖性分析

发布: 2013年10月20日第3卷第20期 DOI: 10.21769/BioProtoc.947 浏览次数: 14971

评审: Lin FangPinchas Tsukerman Fanglian He

download pdf PDF PDF
ask Q&A
引用
收藏
Cited by

参见作者原研究论文

The authors used this protocol in:

Cover of Cancer Research, featuring study using the protocol.

Jan 2013

Advertisement

Submit your protocol to the Special Issue on Technologies for RNA Detection
3D human multi-cell-type neurospheres from iPSCs
Presubmission Inquiry

实验方案合集

专注于特定技术或应用的、详细的、经过同行评审的实验方案合集

Cancer Research
Immunology
Developmental Biology
Microbiology
Neuroscience
Cell Imaging - A Special Collection for Cell Bio 2023

相关实验方案

制备基于琼脂糖的 FFPE 癌类器官以保持形态学特征

制备基于琼脂糖的 FFPE 癌类器官以保持形态学特征

Mi Rim Lee [...] Yun-Hee Kim

2025年10月05日 1767 阅读

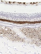
采用 Davidson 固定液和黑色素漂白法优化小鼠眼组织切片的免疫组化染色

采用 Davidson 固定液和黑色素漂白法优化小鼠眼组织切片的免疫组化染色

Anne Nathalie Longakit [...] Catherine D. Van Raamsdonk

2025年11月20日 1623 阅读