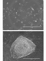
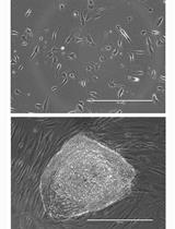
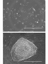
iPS Cell Induction from Human Non-T, B cells from Peripheral Blood

用人外周血液中的非T淋巴细胞、B细胞诱导生成全能干细胞

发布: 2013年09月20日第3卷第18期 DOI: 10.21769/BioProtoc.907 浏览次数: 9766

评审: Anonymous reviewer(s)

download pdf PDF PDF
ask Q&A
引用
收藏
Cited by

参见作者原研究论文

The authors used this protocol in:

Cover of Stem Cells, featuring study using the protocol.

May 2011

Presubmission Inquiry

实验方案合集

专注于特定技术或应用的、详细的、经过同行评审的实验方案合集

Cancer Research
Immunology
Developmental Biology
Microbiology
Neuroscience
Cell Imaging - A Special Collection for Cell Bio 2023

相关实验方案

人成纤维细胞通过CRISPR 插入缺失的形成联合重编程生成功能丧失iPSC细胞系

人成纤维细胞通过CRISPR 插入缺失的形成联合重编程生成功能丧失iPSC细胞系

Andrew M. Tidball [...] Jack M. Parent

2018年04月05日 12408 阅读

原代和iPSC来源的人类NK细胞的分离、刺激和功能分析方案

原代和iPSC来源的人类NK细胞的分离、刺激和功能分析方案

Janine E. Melsen [...] Harald M. Mikkers

2020年12月05日 7729 阅读