Carboxyfluorescein Dye Uptake to Measure Connexin-mediated Hemichannel Activity in Cultured Cells

用羧荧光素染料上染率测定培养细胞中连接蛋白介导的半通道活性

发布: 2021年02月05日第11卷第3期 DOI: 10.21769/BioProtoc.3901 浏览次数: 5354

评审: Xiaoyi ZhengYing ShiAnonymous reviewer(s)

download pdf PDF PDF
ask Q&A
引用
收藏
Cited by

参见作者原研究论文

The authors used this protocol in:

Cover of Cell Communication and Signaling, featuring study using the protocol.

May 2020

Advertisement

Submit your protocol to the Special Issue on Technologies for RNA Detection
3D human multi-cell-type neurospheres from iPSCs
Presubmission Inquiry

实验方案合集

专注于特定技术或应用的、详细的、经过同行评审的实验方案合集

Cancer Research
Immunology
Developmental Biology
Microbiology
Neuroscience
Cell Imaging - A Special Collection for Cell Bio 2023

相关实验方案

流动状态下T淋巴细胞对肿瘤细胞的粘着强度分析

流动状态下T淋巴细胞对肿瘤细胞的粘着强度分析

Marie Boutet [...] Fathia Mami-Chouaib

2013年10月20日 10624 阅读

基于瞬时转染的293T细胞粘附实验

基于瞬时转染的293T细胞粘附实验

Rohit Singh and Beom K. Choi

2021年01月05日 7404 阅读

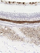
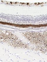
采用 Davidson 固定液和黑色素漂白法优化小鼠眼组织切片的免疫组化染色

采用 Davidson 固定液和黑色素漂白法优化小鼠眼组织切片的免疫组化染色

Anne Nathalie Longakit [...] Catherine D. Van Raamsdonk

2025年11月20日 1625 阅读