发布: 2019年09月20日第9卷第18期 DOI: 10.21769/BioProtoc.3364 浏览次数: 3583
评审: Xiaoyi ZhengAnonymous reviewer(s)
Abstract
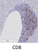
Immune cell infiltration, particularly cytotoxic CD8α lymphocyte infiltration, plays an important role in development of diabetic nephropathy. Although CD8α infiltration can be evaluated by its production of cytokines, its localization in the kidney is of particular importance. The current protocol describes CD8α immunostaining using a Vectastain ABC kit. This protocol works well with most commercially available antibodies, including CD8α antibodies in kidneys of diabetic mice.
Keywords: Diabetic nephropathy (糖尿病肾病)Background
Diabetic nephropathy (DN), a complication of diabetes, is the most common cause of end-stage renal disease. Pathological changes in DN are closely correlated with the degree of renal immune cell infiltration, particularly toxic CD8α lymphocyte infiltration. Therefore, a sensitive and reliable method to localize CD8α lymphocytes in the kidney will facilitate the research in diabetic nephropathy as well as other fields relating inflammation (Li et al., 2018).
Materials and Reagents
Equipment
Procedure
文章信息
版权信息
© 2019 The Authors; exclusive licensee Bio-protocol LLC.
如何引用
Zhang, M. and Harris, R. C. (2019). Immunohistochemical Staining of CD8α in Diabetic Mouse Kidney. Bio-protocol 9(18): e3364. DOI: 10.21769/BioProtoc.3364.
分类
免疫学 > 免疫细胞染色 > 免疫检测
您对这篇实验方法有问题吗?
在此处发布您的问题,我们将邀请本文作者来回答。同时,我们会将您的问题发布到Bio-protocol Exchange,以便寻求社区成员的帮助。
Share
Bluesky
X
Copy link




