发布: 2019年07月05日第9卷第13期 DOI: 10.21769/BioProtoc.3293 浏览次数: 6203
评审: Meenal SinhaAnonymous reviewer(s)

相关实验方案

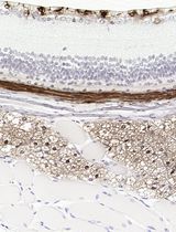
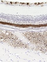
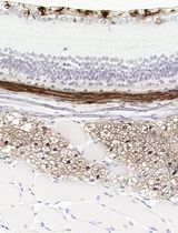
采用 Davidson 固定液和黑色素漂白法优化小鼠眼组织切片的免疫组化染色
Anne Nathalie Longakit [...] Catherine D. Van Raamsdonk
2025年11月20日 1563 阅读
Abstract
Shigella flexneri invades the epithelial cells lining the gut lumen and replicates intracellularly. The specialized Type III Secretion System (T3SS) and its effector proteins, encoded on a large virulence plasmid, assist the bacterium to gain access to the cytosol. Thereafter Shigella disseminates to neighboring cells in an epithelial layer without further extracellular steps. Host cell lysis occurs when these bacteria have extensively replicated in the target cell cytosol. Here we describe a simple method to qualitatively as well as quantitatively study the capacity of Shigella to invade and disseminate within an epithelium by assessing the number and size of plaques representing the dead cells in a monolayer of TC7 cells. This classical protocol follows a simple approach of infecting the monolayers of epithelial cell lines with Shigella and visualizing the dead cells as plaques formed against a stained background.
Keywords: Intracellular bacteria (胞内菌)Background
Shigellosis is a gastrointestinal infection caused by one of four species of Shigella and resulting in about 600,000 deaths annually (Reference 15). Although the infections are reported worldwide, children aged 1-4 years in low- or middle-income countries bear most of the burden of the disease (Kotloff et al., 2018). The bacterium infects the colonic epithelium where it gains access to the cytoplasm and replicates. This intracellular multiplication is followed by dissemination to adjacent cells and modulation of the immune response, eventually leading to cell death and destruction of the colonic mucosa (Ashida et al., 2015). Gene mutations followed by in vitro assays such as the gentamicin protection assay or the plaque formation assay, have led to identification of various virulence factors of Shigella that assist the bacterium in invasion and dissemination. Most of these virulence factors are found on a giant virulence plasmid. Notably, the virulence plasmid encodes the Type 3 Secretion System (T3SS) as well as its effectors and regulators (Puhar and Sansonetti, 2014). The T3SS system is necessary for invasion from the extracellular space. Once in the cytosol, Shigella moves via polarization of actin at one bacterial pole owing to the surface protein IcsA. These actin filaments (so-called “actin comets”) propel the bacteria into adjacent cells, which allows them to disseminate without further extracellular steps (Bernardini et al., 1989). At the molecular level, dissemination is poorly understood, but it is thought to depend on the T3SS, similarly to invasion (Schroeder and Hilbi, 2008).
The plaque assay is a classical functional test to study two important steps in the Shigella infection cycle, invasion events and bacterial dissemination (Oaks et al., 1985). Intracellular replication and dissemination can alternatively be observed by fluorescence microscopy. However, this approach is more laborious and mostly qualitative, not quantitative. Many virulence factors have been identified using the plaque assay as the primary evaluation of the bacterial ability to disseminate to adjacent cells. After initial bacterial entry, the infected cells are covered with an agarose overlay containing gentamicin to eliminate the external bacteria resulting from unproductive spreading into the extracellular medium instead of adjacent cells, thereby ensuring that every plaque corresponds to a single invasion event at the beginning of the experiment. After 48-72 h of incubation, dead cells will have detached and are washed away. The intact cell layer is counterstained with Giemsa, resulting in a clear plaque that is visible against the colored background. The number of plaques gives an estimate of the invasive capacity of the bacteria under study. For example, invasive-deficient Shigella such as the mxiD mutant (Allaoui et al., 1993) or the virulence plasmid cured strain BS176 (Sansonetti et al., 1982) will not form any plaques. On the other hand, the size of plaques reflects the bacteria’s ability to spread within an epithelium. For example, a strain that is fully impaired in dissemination such as virG/icsA mutants (Makino et al., 1986; Bernardini et al., 1989) will show no plaque formation. In contrast, strains that spread more slowly such as the ipgD mutant will lead to the formation of smaller plaques with respect to wild-type bacteria (Puhar et al., 2013; Koestler et al., 2018). This protocol can be used to compare the ability of different Shigella strains, including mutants, to disseminate from the initial site of infection. The protocol, however, is less suitable to assess the invasiveness of bacterial strains, which is readily achieved with the less time-consuming gentamicin protection assay. This protocol is an improvement of the classic plaque assay protocol described by Oaks et al. (1985). Shigella is an enteric pathogen and one of its primary targets are intestinal epithelial cells. While Oaks et al. (1985) and most of the literature thereafter used HeLa cells, an epithelial cell line originating from a cervix cancer sample, TC7 cells are intestinal epithelial cells. The detailed step-by-step nature of this protocol makes it highly reproducible and it can be applied to other Shigella species. Further, it can be modified to extend to other intracellular bacteria such as Salmonella or Listeria, or with other epithelial cell lines.
Materials and Reagents
Equipment
Software
Procedure
文章信息
版权信息
© 2019 The Authors; exclusive licensee Bio-protocol LLC.
如何引用
Sharma, A. and Puhar, A. (2019). Plaque Assay to Determine Invasion and Intercellular Dissemination of Shigella flexneri in TC7 Human Intestinal Epithelial Cells. Bio-protocol 9(13): e3293. DOI: 10.21769/BioProtoc.3293.
分类
微生物学 > 微生物-宿主相互作用 > 细菌
细胞生物学 > 细胞染色 > 全细胞
细胞生物学 > 细胞活力 > 细胞死亡
您对这篇实验方法有问题吗?
在此处发布您的问题,我们将邀请本文作者来回答。同时,我们会将您的问题发布到Bio-protocol Exchange,以便寻求社区成员的帮助。
Share
Bluesky
X
Copy link



