发布: 2017年06月05日第7卷第11期 DOI: 10.21769/BioProtoc.2326 浏览次数: 9012
评审: Anonymous reviewer(s)
Abstract
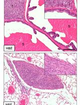
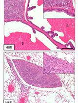
Whole Mammary Gland Transplantation involves transplanting an excised mammary gland into another, more suitable host. This method can be used to extend the life of a mammary gland past the mouse’s life span by transplanting the mammary gland of an older mouse into a young healthy mouse. As you can see in the video below (Video 1), by attaching it to the abdomen of the mouse, the gland will receive a steady blood supply and both epithelial and stromal cells will remain viable for up to one year. Although this method is not used often, it has been part of several experiments including determining whether the stroma or epithelium is the primary target in chemically induced mouse mammary tumorigenesis (Medina and Kittrell, 2005). To monitor transplants, palpate every week for tumor formation. The transplanted mammary gland may also be passaged serially every 8-10 weeks. Keep transplanted gland in the same mouse for no longer than one year.
Materials and Reagents
Equipment
Procedure
文章信息
版权信息
© 2017 The Authors; exclusive licensee Bio-protocol LLC.
如何引用
Hansford, H., Hong, Y., Kittrell, F., Medina, D. and Behbod, F. (2017). Whole Mammary Gland Transplantation in Mice Protocol. Bio-protocol 7(11): e2326. DOI: 10.21769/BioProtoc.2326.
分类
癌症生物学 > 侵袭和转移 > 动物模型 > 细胞侵袭
细胞生物学 > 组织分析 > 组织分离
细胞生物学 > 细胞移植 > 同种异体移植
您对这篇实验方法有问题吗?
在此处发布您的问题,我们将邀请本文作者来回答。同时,我们会将您的问题发布到Bio-protocol Exchange,以便寻求社区成员的帮助。
Share
Bluesky
X
Copy link




