往期刊物2016

卷册: 6, 期号: 22

left

Dec

20

Dec

5

Nov

20

Nov

5

Oct

20

Oct

5

Sep

20

Sep

5

Aug

20

Aug

5

Jul

20

Jul

5

Jun

20

Jun

5

May

20

May

5

Apr

20

Apr

5

Mar

20

Mar

5

Feb

20

Feb

5

Jan

20

Jan

5

right

生物化学

通过ζ电位测量测定磷脂双分子层的膜电位

Ionization Properties of Phospholipids Determined by Zeta Potential Measurements

通过ζ电位测量测定磷脂双分子层的膜电位

Murugappan Sathappa Murugappan Sathappa
Nathan N. Alder Nathan N. Alder
14875 Views
Nov 20, 2016
Biological membranes are vital for diverse cellular functions such as maintaining cell and organelle structure, selective permeability, active transport, and signaling. The surface charge of the membrane bilayer plays a critical role in these myriad processes. For most biomembranes, the surface charge of anionic phospholipids contributes to the negative surface charge density within the interfacial region of the bilayer. To quantify surface charge, it is essential to understand the proton dissociation behavior of the titratable headgroups within such lipids. We describe a protocol that uses model membranes for electrokinetic zeta potential measurements coupled with data analysis using Gouy-Chapman-Stern formalism to determine the pKa value of the component lipids. A detailed example is provided for homogeneous bilayers composed of the monoanionic lipid phosphatidylglycerol. This approach can be adapted for the measurement of bilayers with a heterogeneous lipid combination, as well as for lipids with multiple titratable sites in the headgroup (e.g., cardiolipin).
采用源自模型膜的扰动剂测定脂质提取的效率和选择性

Determining Efficiency and Selectivity of Lipid Extraction by Perturbing Agents from Model Membranes

采用源自模型膜的扰动剂测定脂质提取的效率和选择性

Michel  Lafleur Michel Lafleur
Alexandre Therrien Alexandre Therrien
8172 Views
Nov 20, 2016
Several membrane-perturbing agents extract lipids from membranes and, in some cases, this lipid efflux is lipid specific. In order to gain a better description of this phenomenon and to detail the intermolecular interactions that are involved, a method has been developed to characterize the extent and the specificity of membrane-lipid extraction by perturbing agents. A perturbing agent is incubated with model membranes existing as multilamellar vesicles (MLVs) and subsequently, the remaining MLVs and the small lipid/perturbing agent complexes resulting from the extraction are isolated and analysed to assess the extent and the specificity of the lipid extraction.
[3H-甲基]-胆碱掺入细胞脂质和非脂质代谢物速率的测定

Determination of Rate of [3H-methyl]-choline Incorporation into Cellular Lipids and Non-lipid Metabolites

[3H-甲基]-胆碱掺入细胞脂质和非脂质代谢物速率的测定

TS Tim Andrew Davies Smith
SP Su Myat Phyu
8162 Views
Nov 20, 2016
The choline-containing phospholipid, phosphatidylcholine (PtdCho) is the most common mammalian phospholipid found in cell membrane (Ide et al., 2013). It is also a component of intracellular signalling pathways (Cui and Houweling, 2002). Herein is described a measure of the rate of accumulation of choline by lipid soluble PtdCho and lyso-Ptdcho which can further be discriminated by chromatographic analysis (Smith and Phyu, 2016). Determination of the accumulation of [3H-methyl]-choline into water-soluble components is also described. The procedure could be used to measure the effect of drugs and other factors on choline incorporation into phospholipids. After exposure of cells to test conditions (e.g., drugs) adherent cells in tissue culture flasks are incubated with radiolabelled [3H-methyl]-choline in medium for 15 min (pulse). The [3H-methyl]-choline is then rapidly removed and incubation continued in the presence of non-radioactive medium (chase). Cellular distribution of [3H-methyl] is then determined by cell fractionation and measurement of radioactivity in the lipid and non-lipid cellular components.

癌症生物学

在小鼠中建立患者源性异种移植物

Establishment of Patient-Derived Xenografts in Mice

在小鼠中建立患者源性异种移植物

Dongkyoo Park Dongkyoo Park
Dongsheng Wang Dongsheng Wang
Guo Chen Guo Chen
Xingming Deng Xingming Deng
15616 Views
Nov 20, 2016
Patient-derived xenograft (PDX) models for cancer research have recently attracted considerable attention in both the academy and industry (Hidalgo et al., 2014; Wilding and Bodmer, 2014). PDX models have been developed from different tumor types including lung cancer to improve the drug development process. These models are used for pre-clinical drug evaluation and can be used for the predictive results of clinical outcomes because they conserve original tumor characteristics such as heterogeneity, complexity and molecular diversity (Kopetz et al., 2012). Additionally, PDX model provides the potential tool for the personalized drug therapy. In this protocol, we present methods for the establishment of PDX in mice using primary tumor tissues from patients with small cell lung cancer (SCLC).
酸性法提取结肠癌细胞HCT116的组蛋白

Acid Extraction of Total Histone from Colon Cancer HCT116 Cells

酸性法提取结肠癌细胞HCT116的组蛋白

LC Lin-Lin Cao
WZ Wei-Guo Zhu
11303 Views
Nov 20, 2016
Histone acid extraction assay is a popular method to determine histone modification levels in mammalian cells. It includes three steps: first, histones are released from chromatin by sulfuric acid; trichloroacetate (TCA) is then added to precipitate histones; and finally, histones are dissolved in double-distilled H2O (ddH2O). Here we present a detailed histone acid extraction assay in our laboratory using a colon cancer cell line, HCT116, as a model.
使用自动细胞计数和细胞收获方案测定小分子对缺氧前列腺癌细胞(DU-145)生存力的影响

Determining the Influence of Small Molecules on Hypoxic Prostate Cancer Cell (DU-145) Viability Using Automated Cell Counting and a Cell Harvesting Protocol

使用自动细胞计数和细胞收获方案测定小分子对缺氧前列腺癌细胞(DU-145)生存力的影响

John P Phelan John P Phelan
FR F Jerry Reen
FO Fergal O’Gara
8064 Views
Nov 20, 2016
Cell viability assays are an essential aspect of most cancer studies, however they usually require a considerable labor and time input. Here, instead of using the conventional microscopy and hemocytometer cell counting approach, we developed a cell harvesting protocol and combined it with the automated Countess Automated Cell Counter to generate cell viability data. We investigated the effects of dihydroxylated bile acids on the cell viability of prostate cancer cells grown under hypoxic conditions. We observed that for all conditions, cell viability was relatively unchanged, suggesting these molecules had little or no impact on cell viability. The combination of the automated approach and the cell harvesting protocol means this assay is i) easy to perform, ii) extremely reproducible and iii) it complements more conventional cancer assay data such as invasion, migration and adhesion.

细胞生物学

人单核细胞衍生的树突状细胞(MDDC)捕获HIV-1和葡聚糖的定量测定

Quantitative Measurements of HIV-1 and Dextran Capture by Human Monocyte-derived Dendritic Cells (MDDCs)

人单核细胞衍生的树突状细胞(MDDC)捕获HIV-1和葡聚糖的定量测定

Mickaël  M. Ménager Mickaël M. Ménager
DL Dan R. Littman
11087 Views
Nov 20, 2016
The aim of this protocol is to describe how to measure and quantify the amount of HIV-1 particles and dextran molecules internalized in human monocyte derived dendritic cells (MDDCs), using three different techniques: flow cytometry, quantitative PCR and confocal microscopy.

免疫学

采用流式细胞术分选术分离高纯度原代小鼠II型肺泡上皮细胞

Isolation of Highly Pure Primary Mouse Alveolar Epithelial Type II Cells by Flow Cytometric Cell Sorting

采用流式细胞术分选术分离高纯度原代小鼠II型肺泡上皮细胞

Meenal Sinha Meenal Sinha
Clifford A. Lowell Clifford A. Lowell
27665 Views
Nov 20, 2016
In this protocol, we describe the method for isolating highly pure primary alveolar epithelial type II (ATII) cells from lungs of naïve mice. The method combines negative selection for a variety of lineage markers along with positive selection for EpCAM, a pan-epithelial cell marker. This method yields 2-3 x 106 ATII cells per mouse lung. The cell preps are highly pure and viable and can be used for genomic or proteomic analyses or cultured ex vivo to understand their roles in various biological processes.
使用抗原包被珠子评价体外骨髓源性树突状细胞和离体脾树突状细胞的交叉呈递

Evaluation of Cross-presentation in Bone Marrow-derived Dendritic Cells in vitro and Splenic Dendritic Cells ex vivo Using Antigen-coated Beads

使用抗原包被珠子评价体外骨髓源性树突状细胞和离体脾树突状细胞的交叉呈递

Andrés Alloatti Andrés Alloatti
FK Fiorella Kotsias
Eik  Hoffmann Eik Hoffmann
SA Sebastian Amigorena
12831 Views
Nov 20, 2016
Antigen presentation by MHC class I molecules, also referred to as cross-presentation, elicits cytotoxic immune responses. In particular, dendritic cells (DC) are the most proficient cross-presenting cells, since they have developed unique means to control phagocytic and degradative pathways.This protocol allows the evaluation of antigen cross-presentation both in vitro (by using bone marrow-derived DC) and ex vivo (by purifying CD8+ DC from spleen after incorporation of particulate antigen) using ovalbumin (OVA)-coupled particles. Cross-presentation efficiency is measured by three different readouts: the B3Z hybridoma T cell line (Karttunen et al., 1992) and stimulation of antigen-specific CD8+ T cells (OT-I) (Kurts et al., 1996), either analyzing OT-I activation by CD69 expression or OT-I proliferation after labeling them with carboxyfluorescein succinimidyl ester (CFSE). By using this approach, we could show recently that DCs are able to increase cross-presentation efficiency transiently upon engagement of TLR4 (Alloatti et al., 2015).
采用流式细胞器细胞术分析噬菌体抗原降解

Analysis of Phagosomal Antigen Degradation by Flow Organellocytometry

采用流式细胞器细胞术分析噬菌体抗原降解

Eik  Hoffmann Eik Hoffmann
Anne-Marie Pauwels Anne-Marie Pauwels
Andrés Alloatti Andrés Alloatti
FK Fiorella Kotsias
SA Sebastian Amigorena
9265 Views
Nov 20, 2016
Professional phagocytes internalize self and non-self particles by phagocytosis to initiate innate immune responses. After internalization, the formed phagosome matures through fusion and fission events with endosomes and lysosomes to obtain a more acidic, oxidative and hydrolytic environment for the degradation of its cargo. Interestingly, phagosome maturation kinetics differ between cell types and cell activation states. This protocol allows to quantify phagosome maturation kinetics on a single organelle level in different types of phagocytes using flow cytometry. Here, ovalbumin (OVA)-coupled particles are used as phagocytosis model system in dendritic cells (DC), which are internalized by phagocytosis. After different time points, phagosome maturation parameters, such as phagosomal degradation of OVA and acquisition of lysosomal proteins (like LAMP-1), can be measured simultaneously in a highly quantitative manner by flow organellocytometry. These read-outs can be correlated to other phagosomal functions, for example antigen degradation, processing and loading in DC.
采用pHPA实验测定H2O2生成

Determination of H2O2 Generation by pHPA Assay

采用pHPA实验测定H2O2生成

JL Jennifer L. Larson-Casey
AC A. Brent Carter
9091 Views
Nov 20, 2016
The production of reactive oxygen species, including H2O2, is a process that can be used in signaling, cell death, or immune response. To quantify oxidative stress in cells, a fluorescence technique has been modified from a previously described method to measure H2O2 release from cells (Panus et al., 1993; Murthy et al., 2010; Larson-Casey et al., 2016; Larson-Casey et al., 2014; He et al., 2011). This assay takes advantage of H2O2-mediated oxidation of horseradish peroxidase (HRP) to Complex I, which, in turn, oxidizes p-hydroxyphenylacetic acid (pHPA) to a stable, fluorescent pHPA dimer (2,2'-dihydroxy-biphenyl-5,5’ diacetate [(pHPA)2]). The H2O2-dependent HRP-mediated oxidation of pHPA is a sensitive and specific assay for quantifying H2O2 release from cells. This assay can measure H2O2 release from whole cells, mitochondria, or the NADPH oxidase.
Bal液体调控成纤维细胞α-SMA表达的评估实验

Assay to Evaluate BAL Fluid Regulation of Fibroblast α-SMA Expression

Bal液体调控成纤维细胞α-SMA表达的评估实验

JL Jennifer L. Larson-Casey
AC A. Brent Carter
9010 Views
Nov 20, 2016
Because transforming growth factor-β (TGF-β1) induces differentiation of fibroblasts to myofibroblasts, we developed a protocol to evaluate alveolar macrophage-derived TGF-β1 regulation of lung fibroblast differentiation (Larson-Casey et al., 2016). The protocol evaluates the ability of mouse bronchoalveolar lavage (BAL) fluid to alter fibroblast differentiation. Fibroblast differentiation was measured by the expression of α-smooth muscle actin (α-SMA).

微生物学

将大片段DNA克隆到低拷贝质粒或细菌染色体

Transfer of Large Contiguous DNA Fragments onto a Low Copy Plasmid or into the Bacterial Chromosome

将大片段DNA克隆到低拷贝质粒或细菌染色体

AR Analise Z Reeves
CL Cammie F Lesser
11876 Views
Nov 20, 2016
Bacterial pathogenicity islands and other contiguous operons can be difficult to clone using conventional methods due to their large size. Here we describe a robust 3-step method to transfer large defined fragments of DNA from virulence plasmids or cosmids onto smaller autonomously replicating plasmids or directly into defined sites in the bacterial chromosome that incorporates endogenous yeast and λ Red homologous recombination systems. This methodology has been successfully used to isolate and integrate at least 31 kb of contiguous DNA and can be readily adapted for the recombineering of E. coli and its close relatives.
通过自然竞争法转化栖热菌属细胞

Transformation of Thermus Species by Natural Competence

通过自然竞争法转化栖热菌属细胞

Alba Blesa Alba Blesa
JB José Berenguer
11084 Views
Nov 20, 2016
Many Thermus species harbour genomes scourged with horizontally transferred signatures. Thermus thermophilus (Tth) has been characterized as naturally competent. The transformation protocol described here is based on the maximum DNA uptake rates registered at mid-exponential phase (OD600 0.3-0.4). Here we describe the stepwise protocol followed for transformation of both plasmids and linearized genomic DNA, of which the latter can be employed as an alternative method to electroporation to introduce mutations or to generate gene deletions in Thermus isolates, for instance.
在大肠杆菌中异源表达镁离子转运蛋白(MgtA)并纯化

Heterologous Expression and Purification of the Magnesium Transporter A (MgtA) in Escherichia coli

在大肠杆菌中异源表达镁离子转运蛋白(MgtA)并纯化

SS Saranya Subramani
JM Jens Preben Morth
11032 Views
Nov 20, 2016
The magnesium transporter A (MgtA) is a magnesium transporting P-type ATPase present in prokaryotes and plants (Subramani et al., 2016). In Salmonella typhimurium and Escherichia coli (E. coli), MgtA is expressed only in magnesium limiting conditions and plays an important role in Mg2+ homeostasis (Groisman et al., 2013). The transcription of mgtA is regulated by the two-component system PhoP/PhoQ (Soncini et al., 1996; Kato et al., 1999). The membrane bound histidine kinase, PhoQ, senses low Mg2+ concentration in the periplasmic space and phosphorylates its cognate response regulator, PhoP, which initiates mgtA transcription (Groisman et al., 2013). MgtA is targeted to the plasma membrane and facilitate the bacterial survival under low Mg2+ condition, by importing Mg2+ into the cytoplasm. The MgtA homolog in petunia (PH1) is found in the vacuolar membrane and involved with the coloration of the flower petals (Faraco et al., 2014). As a first step towards understanding the molecular details of MgtA Mg2+ transport, we describe a detailed protocol for the purification of E. coli MgtA that can be used for biochemical and biophysical studies. Recombinant E. coli MgtA with hexa histidine tag at the N-terminus was cloned from E. coli DH5α and over expressed in the E. coli C43(DE3) by fermentation to an OD > 6. Cell lysis was performed in a high pressure homogenizer and the membranes were isolated by ultracentrifugation. Membrane proteins were solubilized with the detergent dodecyl-β-D maltoside. MgtA was purified by affinity and size exclusion chromatography. Final yields of purified MgtA reach ~1 mg MgtA per 3 g of wet cell pellet.
栖热菌属细胞间DNA的转移

Cell-to-cell DNA Transfer among Thermus Species

栖热菌属细胞间DNA的转移

Alba Blesa Alba Blesa
JB José Berenguer
10195 Views
Nov 20, 2016
The ability to transfer DNA via direct cell-to-cell contact-dependent process similar to conjugation has been described in Thermus thermophilus (Tth). Here, we detail the mating experiment protocol involving the lateral transfer of thermostable antibiotic resistance markers (i.e., kanamycin: KmR; hygromycin: HygR) between Thermus cells, enabling the selection and quantification of the transfer frequencies. Briefly, liquid cultures of both mates are mixed and laid onto a nitrocellulose filter on a TB plate. After incubation at 60 °C, filters are resuspended upon selective plating. The contribution of DNA uptake by transformation is abolished by the addition of DNase I to the mix. This protocol can be used for the transfer of large DNA fragments (> 10 kb) to Thermus species.
病毒感染细胞中IRF3被Caspase-8依赖性蛋白水解的生化分析

Biochemical Analysis of Caspase-8-dependent Proteolysis of IRF3 in Virus-infected Cells

病毒感染细胞中IRF3被Caspase-8依赖性蛋白水解的生化分析

Gayatri  Subramanian Gayatri Subramanian
KP Karen Pan
RC Ritu Chakravarti
SC Saurabh Chattopadhyay
9813 Views
Nov 20, 2016
Interferon regulatory factor 3 (IRF3) is a transcription factor, which is critical for the antiviral response against a wide range of viruses (Hiscott, 2007; Ikushima et al., 2013). It gets activated in virus-infected cells via Toll like receptors (TLRs), RIG-I (retinoic acid inducible gene 1) like receptors (RLRs), cyclic GMP-AMP synthase (cGAS) – stimulator of interferon genes (STING), which are sensors of viral components in the cells (Chattopadhyay and Sen, 2014a; 2014b; Hiscott, 2007). IRF3 is a cytoplasmic protein, upon activation by virally activated sensors it gets phosphorylated, translocated to the nucleus and binds to the interferon-sensitive response element (ISRE) of the gene promoters to induce their transcription (Hiscott, 2007). IRF3 has other functions, including direct stimulation of apoptosis in virus-infected cells. In this pathway, the transcriptional activity of IRF3 is not required (Chattopadhyay et al., 2013b; Chattopadhyay et al., 2016; Chattopadhyay et al., 2010; Chattopadhyay and Sen, 2010; Chattopadhyay et al., 2011). These pathways are negatively regulated by host factors as well as by viruses. Our studies indicate that IRF3 can be proteolytically processed by caspase-8-dependent cleavage (Sears et al., 2011). A specific site in IRF3 is targeted by caspase-8, activated in RNA or DNA virus-infected and dsRNA-stimulated cells (Sears et al., 2011). The direct involvement of caspase-8 was confirmed by in vitro cleavage assay using recombinant proteins and in vivo by virus activated caspase-8. The proteolytic cleavage of IRF3 can be inhibited by chemical inhibition or genetic ablation of caspase-8. The cleavage of IRF3 removes the activated pool of IRF3 and thus can be used as a pro-viral mechanism (Figure 1). Using a C-terminally epitope-tagged human IRF3, we analyzed the cleavage of IRF3 in virus-infected cells. Moreover, we used recombinant proteins in vitro to conclude that IRF3 is a substrate of caspase-8 (Sears et al., 2011). In the current protocol, we have outlined a simple and detailed procedure to biochemically analyze the proteolysis of IRF3 in virus-infected cells and the specific role of caspase-8 in this process. Figure 1. Model for virus-induced caspase-8-dependent proteolysis of IRF3. In virus-infected cells, IRF3 can be proteolytically cleaved by caspase-8, which gets activated during infection. The cleaved IRF3 is subjected to poly-ubiquitination (Ub) and degradation by proteasome machinery. The degradation of IRF3 inhibits dsRNA-induced antiviral gene induction.
Halo法测定微生物中毒肽和其他化合物

Halo Assay for Toxic Peptides and Other Compounds in Microorganisms

Halo法测定微生物中毒肽和其他化合物

Houjian Cai Houjian Cai
MH Melinda Hauser
Fred Naider Fred Naider
JB Jeffrey M. Becker
9298 Views
Nov 20, 2016
We describe an assay for determination of toxicity in S. cerevisiae involving spotting of a toxic peptide on a lawn of yeast cells. This assay may be generalized to determine toxicity of a variety of compounds by substituting a putative toxic compound in place of the peptide. The general protocol may also be used to determine toxicity of any small compound toward another microorganism by replacing S. cerevisiae with the target microbe and modifying growth conditions accordingly.
酵母菌中放射性标记肽的吸收测定

Uptake Assay for Radiolabeled Peptides in Yeast

酵母菌中放射性标记肽的吸收测定

MH Melinda Hauser
Houjian Cai Houjian Cai
Fred Naider Fred Naider
JB Jeffrey M. Becker
9223 Views
Nov 20, 2016
We describe an assay for measuring the uptake of radioactive peptides into the yeast Saccharomyces cerevisiae. The methods presented here can be adapted to measure a variety of substrates transported into any bacterial or fungal cell via specific carrier-mediated systems.

神经科学

显微注射病毒至小鼠脊髓背角的腰膨大部

Microinjection of Virus into Lumbar Enlargement of Spinal Dorsal Horn in Mice

显微注射病毒至小鼠脊髓背角的腰膨大部

ZZ Zhi-Jun Zhang
PJ Peng-Bo Jing
YG Yong-Jing Gao
16222 Views
Nov 20, 2016
In order to explore the role of a specific gene/protein in the specific segment of the spinal cord, the technique of intraspinal injection is particularly used to deliver viral vectors targeting the specific gene/protein. These viral vectors can knockdown or overexpress the specific gene/protein in specific cells (glial cells or neurons). In this protocol, lentivirus containing shRNA for CXCL13 were injected into the dorsal horn of the spinal lumbar enlargement segment (Jiang et al., 2016). This technique allows the study of the role of CXCL13 in the ipsilateral dorsal horn in neuropathic pain without affecting DRG or contralateral dorsal horn.
新生大鼠脑干脊髓的体外制备

In vitro Brainstem-spinal Cord Preparation from Newborn Rat

新生大鼠脑干脊髓的体外制备

Jean-Patrick Le Gal Jean-Patrick Le Gal
Angelo  Nicolosi Angelo Nicolosi
Laurent Juvin Laurent Juvin
Didier Morin Didier Morin
9778 Views
Nov 20, 2016
The brainstem-spinal cord preparation of newborn rat contains neural networks able to produce motor output in absence of sensory feedback. These neural structures, commonly called central pattern generators (CPGs), are involved in many vital functions such as respiration (Morin and Viala, 2002; Giraudin et al., 2008) or locomotion (Juvin et al., 2005). Here we describe a procedure for the isolation of the brainstem-spinal cord tissue of neonatal rat (0-2 days old). A surgical method under binocular microscope allows the brainstem and the spinal cord to be isolated in vitro and the motor outputs to be recorded. This preparation can then be used for diverse experimental approaches, such as electrophysiology, pharmacology or anatomical studies, and constitutes a useful model to study the interaction between CPGs (Juvin et al., 2007; 2012; Giraudin et al., 2012; Le Gal et al., 2014; 2016).
使用神经元-巨噬细胞相互作用体外模型生成具有神经突起生长特性的巨噬细胞

An in vitro Model of Neuron-macrophage Interaction to Generate Macrophages with Neurite Outgrowth Properties

使用神经元-巨噬细胞相互作用体外模型生成具有神经突起生长特性的巨噬细胞

HY Hyeok Jun Yun
BK Byung S. Kim
8983 Views
Nov 20, 2016
Macrophages are known to play beneficial roles in axon regeneration after nerve injury. To develop an in vitro model in which injury signals can elicit pro-regenerative macrophage activation, we established co-cultures consisting of adult dorsal root ganglia sensory neurons and peritoneal macrophages and added cAMP analogue dibutyryl cAMP. The conditioned medium collected from the co-cultures exhibited robust neurite outgrowth activities. The neurite outgrowth activities were almost completely abrogated by addition of minocycline, a macrophage deactivator, indicating that factors responsible for neurite outgrowth are produced by activated macrophages.

植物科学

GA处理条件下的拟南芥种子萌发实验

Arabidopsis Seed Germination Assay with Gibberellic Acid

GA处理条件下的拟南芥种子萌发实验

CZ Chunmei Zhong
HX Hao Xu
SY Siting Ye
SZ Shengchun Zhang
XW Xiaojing Wang
19890 Views
Nov 20, 2016
This assay analyzes Arabidopsis seed germination in response to gibberellic acid (GA). During seed imbibition, visible physiological changes allow precise determination of germination rate. This protocol utilizes a stereoscopic microscope to improve characterization of seed germination process.
使用扫描电子显微镜(SEM)观察肋茎兰(兰科)花分泌腺

Documentation of Floral Secretory Glands in Pleurothallidinae (Orchidaceae) Using Scanning Electron Microscopy (SEM)

使用扫描电子显微镜(SEM)观察肋茎兰(兰科)花分泌腺

AK Adam P. Karremans
Bv Bertie Joan van Heuven
RL Rob Langelaan
BG Barbara Gravendeel
10476 Views
Nov 20, 2016
A clear, step by step description of the treatment of orchid flowers, subtribe Pleurothallidinae, with Critical Point Drying for SEM is presented. It shows that a simple, short fixation and dehydration method prior to Critical Point Drying is sufficient to obtain good results.
莱茵衣藻的冷冻保存方案

Cryopreservation Protocol for Chlamydomonas reinhardtii

莱茵衣藻的冷冻保存方案

Duanpeng Yang Duanpeng Yang
WL Weiqi Li
10260 Views
Nov 20, 2016
Cryopreservation is commonly used for storing viable cells, tissues, organs or organisms at ultralow temperatures, and usually involves immersion in liquid nitrogen at -196 °C. Here we provide a detailed cryopreservation protocol for C. reinhardtii based on Crutchfield’s work (Crutchfield et al., 1999), with minor changes (Yang and Li, 2016). In this study, we compared the cryoprotection effect of two common cryopreservation agents (CPAs), methanol and DMSO. Furthermore, the two-step cryopreservation process was divided into five stages to study the factors affecting the survival rate at each stage. We found that the use of methanol as the CPA, combined with the cooling process outlined here (cooling from 25 °C to -55 °C at a rate of 1 °C/min), were indispensable for cell survival after cryopreservation. The thawing process described here (thawing at 35 °C for 5 min) was also important for increasing the survival rate.
使用薄板样条分析观察拟南芥铺垫表皮细胞的差异生长

Visualising Differential Growth of Arabidopsis Epidermal Pavement Cells Using Thin Plate Spline Analysis

使用薄板样条分析观察拟南芥铺垫表皮细胞的差异生长

WA William Jonathan Armour
Deborah Anne Barton Deborah Anne Barton
Robyn Lynette Overall Robyn Lynette Overall
8629 Views
Nov 20, 2016
Epidermal pavement cells in Arabidopsis leaves and cotyledons develop from relatively simple shapes to form complex cells that have multiple undulations of varying sizes. Analyzing the growth of individual parts of the cell wall boundaries over time is essential to understanding how pavement cells develop their complex shapes. Thin plate spline analysis is a method for visualizing the change of size and shape of objects through warping or deformation of a regular mesh and can be applied to understand cell wall growth. This protocol describes the application of thin plate spline analysis to visualize the development of individual pavement cells over time.

干细胞

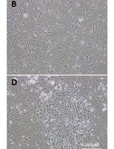
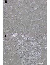
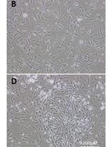
分离和原代培养人子宫内膜内的各种细胞

Isolation and Primary Culture of Various Cell Types from Whole Human Endometrial Biopsies

分离和原代培养人子宫内膜内的各种细胞

Flavio Santos Vasconcelos Barros Flavio Santos Vasconcelos Barros
Jan Joris Brosens Jan Joris Brosens
Paul John Brighton Paul John Brighton
21404 Views
Nov 20, 2016
The isolation and primary culture of cells from human endometrial biopsies provides valuable experimental material for reproductive and gynaecological research. Whole endometrial biopsies are collected from consenting women and digested with collagenase and DNase I to dissociate cells from the extracellular matrix. Cell populations are then isolated through culturing, filtering and magnetic separation using cell-surface antigen markers. Here we provide a comprehensive protocol on how to isolate and culture individual cell types from whole endometrial tissues for use in in vitro experiments.
来源于皮下和内脏白脂肪组织腔室的人脂肪源性干细胞的分离和培养

Isolation and Culture of Human Adipose-derived Stem Cells from Subcutaneous and Visceral White Adipose Tissue Compartments

来源于皮下和内脏白脂肪组织腔室的人脂肪源性干细胞的分离和培养

Xiaojia Ge Xiaojia Ge
Shi Chi Leow Shi Chi Leow
Durgalakshmi Sathiakumar Durgalakshmi Sathiakumar
Walter Stünkel Walter Stünkel
Asim Shabbir Asim Shabbir
Jimmy Bok Yan  So Jimmy Bok Yan So
Davide Lomanto Davide Lomanto
Craig McFarlane Craig McFarlane
16044 Views
Nov 20, 2016
Human Adipose-derived Stem/Stromal Cells (ASCs) have been widely used in stem cell and obesity research, as well as clinical applications including cell-based therapies, tissue engineering and reconstruction. Compared with mesenchymal stem cells (MSCs) derived from other tissues such as umbilical cord and bone marrow, isolation of ASCs from human white adipose tissue (WAT) has great advantages due to its rich tissue source and simple surgical procedure. In this detailed protocol we describe a protocol to isolate and characterize ASCs from human WAT. Molecular characterization of isolated ASCs was performed through surface marker expression profiling using flow cytometry. Adipogenic capacity of the isolated ASCs was confirmed through inducing adipogenic differentiation and Oil Red O staining of lipid. This protocol provides researchers with the tools to culture and assess purity and adipogenic differentiation capacity of human ASCs, which can then be utilized for required downstream in vitro applications. This protocol has been modified from Baglioni et al. (2009), Baglioni et al. (2012), and van Harmelen et al. (2005) to describe in detail a complete technique to isolate and subsequently characterize human ASCs from human WAT biopsies. This protocol has been utilized to isolate and characterize human ASCs from both subcutaneous and visceral WAT. The isolated human ASCs show high purity and demonstrate adipogenic differentiation capacity in vitro.