往期刊物2023

卷册: 13, 期号: 23

left

Dec

20

Dec

5

Nov

20

Nov

5

Oct

20

Oct

5

Sep

20

Sep

5

Aug

20

Aug

5

Jul

20

Jul

5

Jun

20

Jun

5

May

20

May

5

Apr

20

Apr

5

Mar

20

Mar

5

Feb

20

Feb

5

Jan

20

Jan

5

right

生物化学

通过气相色谱法监测甲基紫精依赖性氢化酶产生氢气的活性

H2 Production from Methyl Viologen–Dependent Hydrogenase Activity Monitored by Gas Chromatography

通过气相色谱法监测甲基紫精依赖性氢化酶产生氢气的活性

NK Nuttavut Kosem
1804 Views
Dec 5, 2023
Bio-hydrogen production is an eco-friendly alternative to commercial H2 production, taking advantage of natural systems. Microbial hydrogenases play a main role in biological mechanisms, catalyzing proton reduction to molecular hydrogen (H2) formation under ambient conditions. Direct determination is an important approach to screen bacteria with active hydrogenase and accurately quantify the amount of H2 production. Here, we present a detailed protocol for determining hydrogenase activity based on H2 production using methyl viologen (MV2+) as an artificial reductant, directly monitored by gas chromatography. Recombinant Escherichia coli is used as a hydrogenase-enriched model in this study. Even so, this protocol can be applied to determine hydrogenase activity in all biological samples.Key features• This protocol is optimized for a wide variety of biological samples; both purified hydrogenase (in vitro) and intracellular hydrogenase (in vivo) systems.• Direct, quantitative, and accurate method to detect the amount of H2 by gas chromatography with reproducibility.• Requires only 2 h to complete and allows testing various conditions simultaneously.• Kinetic plot of H2 production allows to analyze kinetic parameters and estimate the efficiency of hydrogenase from different organisms.Graphical overview

细胞生物学

 在透性化的哺乳动物细胞中进行Ca2+ 依赖性外泌体分泌的生化重建

Biochemical Reconstitution of Ca2+-Dependent Exosome Secretion in Permeabilized Mammalian Cells

在透性化的哺乳动物细胞中进行Ca2+ 依赖性外泌体分泌的生化重建

JN Jordan M. Ngo
JW Justin K. Williams
IL Isabelle M. Lehman
RS Randy Schekman
2117 Views
Dec 5, 2023
Exosomes are a subpopulation of the heterogenous pool of extracellular vesicles that are secreted to the extracellular space. Exosomes have been purported to play a role in intercellular communication and have demonstrated utility as biomarkers for a variety of diseases. Despite broad interest in exosome biology, the conditions that regulate their secretion are incompletely understood. The goal of this procedure is to biochemically reconstitute exosome secretion in Streptolysin O (SLO)-permeabilized mammalian cells. This protocol describes the reconstitution of lyophilized SLO, preparation of cytosol and SLO-permeabilized cells, assembly of the biochemical reconstitution reaction, and quantification of exosome secretion using a sensitive luminescence-based assay. This biochemical reconstitution reaction can be utilized to characterize the molecular mechanisms by which different gene products regulate exosome secretion.Key features• This protocol establishes a functional in vitro system to reconstitute exosome secretion in permeabilized mammalian cells upon addition of cytosol, ATP, GTP, and calcium (Ca2+).Graphical overviewSchematic overview of the exosome secretion biochemical reconstitution protocol. Streptolysin O (SLO) is prepared as described in Procedure A. Cytosol is isolated from HCT116 WT cells as described in Procedure B. HCT116 CD63-Nluc cells are permeabilized by SLO as detailed in Procedure C. The assembly of the exosome secretion reactions are described in Procedure D. Quantification of CD63-Nluc secretion is detailed in Procedure E (Modified from Williams et al., 2023).
Matrigel Duplex分析的改进方案: 测量视网膜血管生成的方法

An Improved Protocol for the Matrigel Duplex Assay: A Method to Measure Retinal Angiogenesis

Matrigel Duplex分析的改进方案: 测量视网膜血管生成的方法

KB Kathleen C. Brown
RL Reagan S. Light
KM Kushal J. Modi
KC Kaitlyn B. Conely
AS Amanda M. Sugrue
AC Ashley J. Cox
SM Sarah L. Miles
MV Monica A. Valentovic
PD Piyali Dasgupta
1951 Views
Dec 5, 2023
Neovascular diseases of the retina, such as diabetic retinopathy (DR) and age-related macular degeneration (AMD), are proliferative retinopathies involving the growth of new blood vessels on the retina, which in turn causes impairment and potential loss of vision. A drawback of conventional angiogenesis assays is that they are not representative of the angiogenic processes in the retina. In the retina, the new blood vessels grow (from pre-existing blood vessels) and migrate into a non-perfused region of the eye including the inner limiting membrane of the retina and the vitreous, both of which contribute to vision loss. The Matrigel Duplex Assay (MDA) measures the migration of angiogenic capillaries from a primary Matrigel layer to a secondary Matrigel layer, which resembles the pathological angiogenesis in AMD and DR. The methodology of MDA is comprised of two steps. In the first step, the human retinal microvascular endothelial cells (HRMECs) are mixed with phenol red–containing Matrigel (in a 1:1 ratio) and seeded in the center of an 8-well chamber slide. After 24 h, a second layer of phenol red–free Matrigel is overlaid over the first layer. Over the course of the next 24 h, the HRMECs invade from the primary Matrigel layer to the secondary layer. Subsequently, the angiogenic sprouts are visualized by brightfield phase contrast microscopy and quantified by ImageJ software. The present manuscript measures the angiogenesis-inhibitory activity of the Src kinase inhibitor PP2 in primary HRMECs using the MDA. The MDA may be used for multiple applications like screening anti-angiogenic drugs, measuring the pro-angiogenic activity of growth factors, and elucidating signaling pathways underlying retinal angiogenesis in normal and disease states.Graphical overview

发育生物学

胚胎下丘脑组织的酶分离方法及通过多重杂交链式反应进行的急性或培养后分析

A Methodology for the Enzymatic Isolation of Embryonic Hypothalamus Tissue and Its Acute or Post-Culture Analysis by Multiplex Hybridisation Chain Reaction

胚胎下丘脑组织的酶分离方法及通过多重杂交链式反应进行的急性或培养后分析

KC Kavitha Chinnaiya
MP Marysia Placzek
1799 Views
Dec 5, 2023
The hypothalamus is an evolutionarily ancient part of the vertebrate ventral forebrain that integrates the dialogue between environment, peripheral body, and brain to centrally govern an array of physiologies and behaviours. Characterizing the mechanisms that control hypothalamic development illuminates both hypothalamic organization and function. Critical to the ability to unravel such mechanisms is the skill to isolate hypothalamic tissue, enabling both its acute analysis and its analysis after explant and culture. Tissue explants, in which cells develop in a manner analogous to their in vivo counterparts, are a highly effective tool to investigate the extrinsic signals and tissue-intrinsic self-organising features that drive hypothalamic development. The hypothalamus, however, is induced and patterned at neural tube stages of development, when the tissue is difficult to isolate, and its resident cells complex to define. No single molecular marker distinguishes early hypothalamic progenitor subsets from other cell types in the neural tube, and so their accurate dissection requires the simultaneous analysis of multiple proteins or mRNAs, techniques that were previously limited by antibody availability or were arduous to perform. Here, we overcome these challenges. We describe methodologies to precisely isolate early hypothalamic tissue from the embryonic chick at three distinct patterning stages and to culture hypothalamic explants in three-dimensional gels. We then describe optimised protocols for the analysis of embryos, isolated embryonic tissue, or cultured hypothalamic explants by multiplex hybridisation chain reaction. These methods can be applied to other vertebrates, including mouse, and to other tissue types.Key features• Detailed protocols for enzymatic isolation of embryonic chick hypothalamus at three patterning stages; methods can be extended to other vertebrates and tissues.• Brief methodologies for three-dimensional culture of hypothalamic tissue explants.• Optimised protocols for multiplex hybridisation chain reaction for analysis of embryos, isolated embryonic tissues, or explants.Graphical overview

免疫学

向幼年斑马鱼(Danio rerio)体内显微注射β-葡聚糖以评估训练样的免疫表型

Microinjection of β-glucan Into Larval Zebrafish (Danio rerio) for the Assessment of a Trained-Like Immunity Phenotype

向幼年斑马鱼(Danio rerio)体内显微注射β-葡聚糖以评估训练样的免疫表型

HD Hannah Darroch
JA Jonathan W. Astin
CH Christopher J. Hall
2143 Views
Dec 5, 2023
The innate immune system can remember previous inflammatory insults, enabling long-term heightened responsiveness to secondary immune challenges in a process termed “trained immunity.” Trained innate immune cells undergo metabolic and epigenetic remodelling and, upon a secondary challenge, provide enhanced protection with therapeutic potential. Trained immunity has largely been studied in innate immune cells in vitro or following ex vivo re-stimulation where the primary insult is typically injected into a mouse, adult zebrafish, or human. While highly informative, there is an opportunity to investigate trained immunity entirely in vivo within an unperturbed, intact whole organism. The exclusively innate immune response of larval zebrafish offers an attractive system to model trained immunity. Larval zebrafish have a functional innate immune system by 2 days post fertilisation (dpf) and are amenable to high-resolution, high-throughput analysis. This, combined with their optical transparency, conserved antibacterial responses, and availability of transgenic reporter lines, makes them an attractive alternative model to study trained immunity in vivo. We have devised a protocol where β-glucan (one of the most widely used experimental triggers of trained immunity) is systemically delivered into larval zebrafish using microinjection to stimulate a trained-like phenotype. Following stimulation, larvae are assessed for changes in gene expression, which indicate the stimulatory effect of β-glucan. This protocol describes a robust delivery method of one of the gold standard stimulators of trained immunity into a model organism that is highly amenable to several non-invasive downstream analyses.Key features• This protocol outlines the delivery of one of the most common experimental stimulators of trained immunity into larval zebrafish.• The protocol enables the assessment of a trained-like phenotype in vivo.• This protocol can be applied to transgenic or mutant zebrafish lines to investigate cells or genes of interest in response to β-glucan stimulation.Graphical overview

微生物学

从酿酒酵母中纯化人类细胞质肌动蛋白

Purification of Human Cytoplasmic Actins From Saccharomyces cerevisiae

从酿酒酵母中纯化人类细胞质肌动蛋白

BH Brian K. Haarer
DA David C. Amberg
JH Jessica L. Henty-Ridilla
1794 Views
Dec 5, 2023
Eukaryotic cells rely on actin to support cellular structure, motility, transport, and a wide variety of other cytoplasmic functions and nuclear activities. Humans and other mammals express six closely related isoforms of actin, four of which are found primarily in skeletal, cardiac, and smooth muscle tissues. The final two isoforms, β and γ, are found in non-muscle cells. Due to the ease of purification, many biochemical studies surveying the functions of actin and its regulators have been carried out with protein purified from skeletal muscle. However, it has become increasingly clear that some activities are isoform specific, necessitating more accessible sources of non-muscle actin isoforms. Recent innovations permit the purification of non-muscle actins from human cell culture and heterologous systems, such as insect cell culture and the yeast Pichia pastoris. However, these systems generate mixtures of actin types or require additional steps to remove purification-related tags. We have developed strains of Saccharomyces cerevisiae (budding yeast) that express single untagged isoforms of either human non-muscle actin (β or γ) as their sole actin, allowing the purification of individual homogeneous actin isoforms by conventional purification techniques.Key features• Easy growth of yeast as a source of human cytoplasmic actin isoforms.• Uses well-established actin purification methods.• The tag-free system requires no post-purification processing.Graphical overviewIsolating human cytoplasmic actins from yeast

分子生物学

重组人线粒体RNA聚合酶(POLRMT)及启动因子TFAM和TFB2M的表达和纯化

Expression and Purification of Recombinant Human Mitochondrial RNA Polymerase (POLRMT) and the Initiation Factors TFAM and TFB2M

重组人线粒体RNA聚合酶(POLRMT)及启动因子TFAM和TFB2M的表达和纯化

AH An H. Hsieh
SR Sean D. Reardon
JM Jubilee H. Munozvilla-Cabellon
JS Jiayu Shen
SP Smita S. Patel
TM Tatiana V. Mishanina
2571 Views
Dec 5, 2023
Human mitochondrial DNA (mtDNA) encodes several components of oxidative phosphorylation responsible for the bulk of cellular energy production. The mtDNA is transcribed by a dedicated human mitochondrial RNA polymerase (POLRMT) that is structurally distinct from its nuclear counterparts, instead closely resembling the single-subunit viral RNA polymerases (e.g., T7 RNA polymerase). The initiation of transcription by POLRMT is aided by two initiation factors: transcription factor A, mitochondrial (TFAM), and transcription factor B2, mitochondrial (TFB2M). Although many details of human mitochondrial transcription initiation have been elucidated with in vitro biochemical and structural studies, much remains to be addressed relating to the mechanism and regulation of transcription. Studies of such mechanisms require reliable, high-yield, and high-purity methods for protein production, and this protocol provides the level of detail and troubleshooting tips that are necessary for a novice to generate meaningful amounts of proteins for experimental work. The current protocol describes how to purify recombinant POLRMT, TFAM, and TFB2M from Escherichia coli using techniques such as affinity column chromatography (Ni2+ and heparin), how to remove the solubility tags with TEV protease and recover untagged proteins of interest, and how to overcome commonly encountered challenges in obtaining high yield of each protein.Key features• This protocol builds upon purification methods developed by Patel lab (Ramachandran et al., 2017) and others with greater detail than previously published works.• The protocol requires several days to complete as various steps are designed to be performed overnight.• The recombinantly purified proteins have been successfully used for in vitro transcription experiments, allowing for finer control of experimental components in a minimalistic system.

神经科学

通过手持式注射将化学遗传学腺相关病毒载体靶向递送至猕猴皮质沟区域

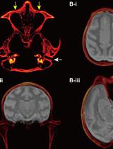
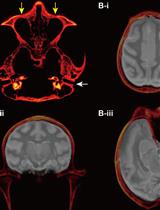
Targeted Delivery of Chemogenetic Adeno-Associated Viral Vectors to Cortical Sulcus Regions in Macaque Monkeys by Handheld Injections

通过手持式注射将化学遗传学腺相关病毒载体靶向递送至猕猴皮质沟区域

KO Kei Oyama
YN Yuji Nagai
TM Takafumi Minamimoto
1697 Views
Dec 5, 2023
Recent advancements in chemogenetic tools, such as designer receptors exclusively activated by designer drugs (DREADDs), allow the simultaneous manipulation of activity over a specific, broad brain region in nonhuman primates. However, the introduction of DREADDs into large and complexly shaped cortical sulcus regions of macaque monkeys is technically demanding; previously reported methods are time consuming or do not allow the spatial range of expression to be controlled. In the present report, we describe the procedure for an adeno-associated viral vector (AAV2.1) delivery via handheld injections into the dorsolateral prefrontal cortex (Brodmann’s area 9/46) of macaque monkeys, with reference to pre-scanned anatomical magnetic resonance images. This procedure allows the precise delivery of DREADDs to a specific cortical region.Key features• This article describes the procedures for injecting viral vectors encoding functional proteins for chemogenetic manipulation into targeted cortical sulcus regions.• The protocol requires magnetic resonance imaging for the accurate estimation of the injection sites prior to surgery.• Viral vector solutions are injected using a handheld syringe under microscopic guidance.• This protocol allows for the precise introduction of designer receptors exclusively activated by designer drugs (DREADDs) to large and complex cortical regions.
黑腹果蝇对糖诱导的长鼻伸展反射的习惯化和酵母诱导的习惯化覆盖

Habituation of Sugar-Induced Proboscis Extension Reflex and Yeast-Induced Habituation Override in Drosophila melanogaster

黑腹果蝇对糖诱导的长鼻伸展反射的习惯化和酵母诱导的习惯化覆盖

ST Swati Trisal
KV K. VijayRaghavan
MR Mani Ramaswami
1453 Views
Dec 5, 2023
Habituation, the process by which animals learn to ignore insignificant stimuli, facilitates engagement with salient features of the environment. However, neural mechanisms underlying habituation also allow responses to familiar stimuli to be reinstated when such stimuli become potentially significant. Thus, the habituated state must allow a mechanism for habituation override. The remarkably precise knowledge of cell identity, connectivity, and information coding in Drosophila sensory circuits, as well as the availability of tools to genetically target these cells, makes Drosophila a valuable and important organism for analysis of habituation and habituation-override mechanisms. Studies of olfactory and gustatory habituation in Drosophila suggest that potentiation of GABAergic neurons underlies certain timescales of habituation and have specified some elements of a gustatory habituation-override pathway. More detailed understanding of gustatory habituation and habituation-override mechanisms will benefit from access to robust behavioral assays for (a) the proboscis extension reflex (PER) elicited by a sweet stimulus, (b) exposure paradigms that result in PER habituation, and, most critically, (c) manipulations that result in PER-habituation override. Here, we describe simple protocols for persistent sucrose exposure of tarsal hairs that lead to habituation of proboscis extension and for presentation of a novel appetitive stimuli that reinstate robust PER to habituated flies. This detailed protocol of gustatory habituation provides (a) a simple method to induce habituation by continuous exposure of the flies to sucrose for 10 min without leading to ingestion and (b) a novel method to override habituation by presenting yeast to the proboscis.Key features• A protocol for stimulation of Drosophila’s taste (sugar) sensory neurons that induces gustatory habituation without satiation due to ingestion.• A chemical (yeast) stimulation protocol that rapidly induces habituation override/dishabituation in sugar-habituated Drosophila.

系统生物学

远缘植物中同源/直系同源基因的系统发育推断

Phylogenetic Inference of Homologous/Orthologous Genes among Distantly Related Plants

远缘植物中同源/直系同源基因的系统发育推断

ZX Zilong Xu
WS Wenyan Sun
Ziqiang  Zhu Ziqiang Zhu
BZ Bojian Zhong
ZZ Zhenhua Zhang
2290 Views
Dec 5, 2023
The recent surge in plant genomic and transcriptomic data has laid a foundation for reconstructing evolutionary scenarios and inferring potential functions of key genes related to plants’ development and stress responses. The classical scheme for identifying homologous genes is sequence similarity–based searching, under the crucial assumption that homologous sequences are more similar to each other than they are to any other non-homologous sequences. Advances in plant phylogenomics and computational algorithms have enabled us to systemically identify homologs/orthologs and reconstruct their evolutionary histories among distantly related lineages. Here, we present a comprehensive pipeline for homologous sequences identification, phylogenetic relationship inference, and potential functional profiling of genes in plants.Key features• Identification of orthologs using large-scale genomic and transcriptomic data.• This protocol is generalized for analyzing the evolution of plant genes.

更正

Correction Notice: HIV-CRISPR: A CRISPR/Cas9 Screening Method to Identify Genes Affecting HIV Replication

FR Ferdinand Roesch
MO Molly OhAinle
527 Views
Dec 5, 2023