往期刊物2022

卷册: 12, 期号: 13

left

Dec

20

Dec

5

Nov

20

Nov

5

Oct

20

Oct

5

Sep

20

Sep

5

Aug

20

Aug

5

Jul

20

Jul

5

Jun

20

Jun

5

May

20

May

5

Apr

20

Apr

5

Mar

20

Mar

5

Feb

20

Feb

5

Jan

20

Jan

5

right

生物化学

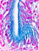
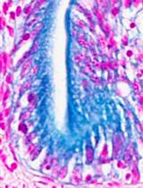
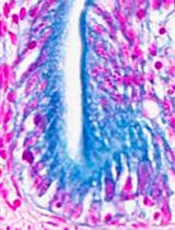
成年斑马鱼的整体衰老相关 β-半乳糖苷酶 (SA-β-GAL) 活性检测方案

Whole-mount Senescence-Associated Beta-Galactosidase (SA-β-GAL) Activity Detection Protocol for Adult Zebrafish

成年斑马鱼的整体衰老相关 β-半乳糖苷酶 (SA-β-GAL) 活性检测方案

MM Marta Marzullo
ME Mounir El Maï
MF Miguel Godinho Ferreira
5698 Views
Jul 5, 2022
Senescence-associated beta-galactosidase (SA-β-GAL) is an enzyme that accumulates in the lysosomes of senescent cells, where it hydrolyses β-galactosides. With p16, it represents a well-recognized biomarker used to assess senescence both in vivo and in cell culture. The use of a chromogenic substrate, such as 5-bromo-4-chloro-3-indoyl-β-d-galactopyranoside (X-Gal), allows the detection of SA-β-GAL activity at pH 6.0 by the release of a visible blue product. Senescence occurs during aging and is part of the aging process itself. We have shown that prematurely aged zebrafish accumulate senescent cells detectable by SA-β-GAL staining in different tissues, including testis and gut. Here, we report a detailed protocol to perform an SA-β-GAL assay to detect senescent cell accumulation across the entire adult zebrafish organism (Danio rerio). We also identify previously unreported organs that show increased cell senescence in telomerase mutants, including the liver and the spinal cord.

生物工程

Vir Scan: 抗病毒抗体表位的高通量分析

VirScan: High-throughput Profiling of Antiviral Antibody Epitopes

Vir Scan: 抗病毒抗体表位的高通量分析

ES Ellen L. Shrock
CS Christine L. Shrock
SE Stephen J. Elledge
8671 Views
Jul 5, 2022
Profiling the specificities of antibodies can reveal a wealth of information about humoral immune responses and the antigens they target. Here, we present a protocol for VirScan, an application of the phage immunoprecipitation sequencing (PhIP-Seq) method for profiling the specificities of human antiviral antibodies. Accompanying this protocol is a video of the experimental procedure. VirScan and, more generally, PhIP-Seq are techniques that enable high-throughput antibody profiling by combining high-throughput DNA oligo synthesis and bacteriophage display with next-generation sequencing. In the VirScan method, human sera samples are screened against a library of peptides spanning the entire human viral proteome. Bound phage are immunoprecipitated and sequenced, identifying the viral peptides recognized by the antibodies. VirScan Is a powerful tool for uncovering individual viral exposure histories, mapping the epitope landscape of viruses of interest, and studying fundamental mechanisms of viral immunity.Graphical abstract:
一种用于分离完整溶酶体的基于纳米颗粒的磁分离方法

A Robust Nanoparticle-based Magnetic Separation Method for Intact Lysosomes

一种用于分离完整溶酶体的基于纳米颗粒的磁分离方法

TL The Son Le
MT Mari Takahashi
SM Shinya Maenosono
3314 Views
Jul 5, 2022
Lysosome isolation is a preresiquite for identifying lysosomal protein composition by mass spectroscopic analysis, to reveal lysosome functions, and their involvement in some diseases. Magnetic nanoparticle-based fractionation has received great attention for lysosome isolation, owing to its high efficiency, purity, and preservation of lysosomal structures. Understanding the intracellular trafficking of magnetic probes is the key point of this technique, to determine the appropriate time for magnetic isolation of lysosomes, because this parameter changes depending on different cell lines used. The traditional magnetic probes, such as superparamagnetic iron oxide nanoparticles (SPIONs), require surface modification by fluorescent dyes to enable the investigation of their intracellular trafficking, which has some disadvantages, including the possible alternation of their bio-interaction, and the instability of fluorescence properties in the lysosomal environment. To overcome those limitations, we present a protocol that employs magnetic-plasmonic nanoparticles (MPNPs) to investigate intracellular trafficking using their intrinsic imaging capability, followed by quick lysosome isolation using a magnetic column. This protocol can be easily applied to isolate the intact lysosomes of any adherent cell lines.Graphical abstract:

细胞生物学

体外和体内肌肉低温暴露实验模型

Experimental Models for Cold Exposure of Muscle in vitro and in vivo

体外和体内肌肉低温暴露实验模型

TS Tiril Schjølberg
LA Lucia Asoawe
SK Solveig Krapf
AR Arild C. Rustan
GT G. Hege Thoresen
FH Fred Haugen
2661 Views
Jul 5, 2022
Work in cold environments may have a significant impact on occupational health. In these and similar situations, cold exposure localized to the extremities may reduce the temperature of underlying tissues. To investigate the molecular effects of cold exposure in muscle, and since adequate methods were missing, we established two experimental cold exposure models: 1) In vitro exposure to cold (18°C) or control temperature (37°C) of cultured human skeletal muscle cells (myotubes); and 2) unilateral cold exposure of hind limb skeletal muscle in anesthetized rats (intramuscular temperature 18°C), with contralateral control (37°C). This methodology enables studies of muscle responses to local cold exposures at the level of gene expression, but also other molecular outcomes.Graphical abstract:

发育生物学

利用CRISPR/Cas9 策略和基于BioID的邻近标记研究果蝇幼虫大脑内源性蛋白相互作用体的体内特性

In vivo Characterization of Endogenous Protein Interactomes in Drosophila Larval Brain, Using a CRISPR/Cas9-based Strategy and BioID-based Proximity Labeling

利用CRISPR/Cas9 策略和基于BioID的邻近标记研究果蝇幼虫大脑内源性蛋白相互作用体的体内特性

EU Ezgi Uçkun
GW Georg Wolfstetter
JF Johannes Fuchs
RP Ruth H. Palmer
4496 Views
Jul 5, 2022
Understanding protein-protein interactions (PPIs) and interactome networks is essential to reveal molecular mechanisms mediating various cellular processes. The most common method to study PPIs in vivo is affinity purification combined with mass spectrometry (AP–MS). Although AP–MS is a powerful method, loss of weak and transient interactions is still a major limitation. Proximity labeling (PL) techniques have been developed as alternatives to overcome these limitations. Proximity-dependent biotin identification (BioID) is one such widely used PL method. The first-generation BioID enzyme BirA*, a promiscuous bacterial biotin ligase, has been effectively used in cultured mammalian cells; however, relatively slow enzyme kinetics make it less effective for temporal analysis of protein interactions. In addition, BirA* exhibits reduced activity at temperatures below 37°C, further restricting its use in intact organisms cultured at lower optimal growth temperatures (e.g., Drosophila melanogaster). TurboID, miniTurbo, and BirA*-G3 are next generation BirA* variants with improved catalytic activity, allowing investigators to use this powerful tool in model systems such as flies. Here, we describe a detailed experimental workflow to efficiently identify the proximal proteome (proximitome) of a protein of interest (POI) in the Drosophila brain using CRISPR/Cas9-induced homology-directed repair (HDR) strategies to endogenously tag the POI with next generation BioID enzymes.

免疫学

IgA 肾病和 IgA 血管炎中多聚 IgA 免疫复合物水平的血清学测定

Serological Measurement of Poly-IgA Immune Complex Levels in IgA Nephropathy and IgA Vasculitis

IgA 肾病和 IgA 血管炎中多聚 IgA 免疫复合物水平的血清学测定

XZ Xue Zhang
JL Jicheng Lv
PL Pan Liu
XX Xinfang Xie
XL Xinyan Li
HZ Hong Zhang
JJ Jing Jin
3429 Views
Jul 5, 2022
Both IgA nephropathy and IgA vasculitis, formerly known as Henoch-Schӧnlein purpura, are immune deposition diseases. IgA nephropathy is caused by the deposition of aberrantly formed poly-IgA complexes from blood circulation to the kidney glomerulus; IgA vasculitis is characterized by IgA-dominant immune deposits to small vessels of the skin and other organs, including the kidney. Therefore, measuring the disease-causing poly-IgA contents in the plasma is needed to study these conditions. However, while clinical tests for the level of total plasma IgA are routinely performed, methods for specific detection of poly-IgA contents are unavailable in clinical medicine. In this protocol, we describe a practical solution for measuring poly-IgA in patient samples. The new method is based on the biological selectivity of IgA Fcα receptor I (FcαRI/CD89) toward poly-IgA species, in contrast to its relatively low affinity for normal monomeric IgA. By devising recombinant CD89 ectodomain as the “capturing” probe, we validated the feasibility of the assay for measuring plasma poly-IgA levels in a 96-well format. The methodology was able to differentiate plasma samples of IgA nephropathy, or related IgA vasculitis, from those of other autoimmune kidney disease types or from healthy controls. Moreover, the measured poly-IgA indices not only correlated with the severity of IgA nephropathy, but the levels also trended lower following corticosteroid or immunosuppressant treatments of patients. Therefore, we anticipate the new assay will provide useful measurements of the IgA nephropathy disease activity index for stratifying disease severity or for evaluating treatment response.Graphical abstract:

微生物学

基于β-葡萄糖醛酸酶 (GUS) 的细菌竞争测定以评估植物感染期间适应性的细微差异

A β-glucuronidase (GUS) Based Bacterial Competition Assay to Assess Fine Differences in Fitness during Plant Infection

基于β-葡萄糖醛酸酶 (GUS) 的细菌竞争测定以评估植物感染期间适应性的细微差异

JL Julien S. Luneau
LN Laurent D. Noël
EL Emmanuelle Lauber
AB Alice Boulanger
3250 Views
Jul 5, 2022
Competition assays are a simple phenotyping strategy that confront two bacterial strains to evaluate their relative fitness. Because they are more accurate than single-strain growth assays, competition assays can be used to highlight slight differences that would not otherwise be detectable. In the frame of host-pathogens interactions, they can be very useful to study the contribution of individual bacterial genes to bacterial fitness and lead to the identification of new adaptive traits. Here, we describe how to perform such competition assays by taking the example of the model phytopathogenic bacterium Xanthomonas campestris pv. campestris during infection of the mesophyll of its cauliflower host. This phenotypic assay is based on the use of a Competitive Index (CI) that compares the relative abundance of co-inoculated strains before and after inoculation. Since multiplication is a direct proxy for bacterial fitness, the evolution of the ratio between both strains in the mixed population is a direct way to assess differences in fitness in a given environment. In this protocol, we exploit the blue staining of GUS-expressing bacteria to count blue vs. white colonies on plates and estimate the competitiveness of the strains of interest in plant mesophyll.

分子生物学

HaloChIP-seq用于体内小鼠转录因子 Cistromes 的抗体独立映射

HaloChIP-seq for Antibody-Independent Mapping of Mouse Transcription Factor Cistromes in vivo

HaloChIP-seq用于体内小鼠转录因子 Cistromes 的抗体独立映射

AH Ann Louise Hunter
AA Antony D. Adamson
TP Toryn M. Poolman
MG Magdalena Grudzien
AL Andrew S. I. Loudon
DR David W. Ray
DB David A. Bechtold
4119 Views
Jul 5, 2022
Chromatin immunoprecipitation (ChIP) maps, on a genome-wide scale, transcription factor binding sites, and the distribution of other chromatin-associated proteins and their modifications. As such, it provides valuable insights into mechanisms of gene regulation. However, successful ChIP experiments are dependent on the availability of a high-quality antibody against the target of interest. Using antibodies with poor sensitivity and specificity can yield misleading results. This can be partly circumvented by using epitope-tagged systems (e.g., HA, Myc, His), but these approaches are still antibody-dependent. HaloTag® is a modified dehalogenase enzyme, which covalently binds synthetic ligands. This system can be used for imaging and purification of HaloTag® fusion proteins, and has been used for ChIP in vitro. Here, we present a protocol for using the HaloTag® system for ChIP in vivo, to map, with sensitivity and specificity, the cistrome of a dynamic mouse transcription factor expressed at its endogenous locus.Graphical abstract:

神经科学

QuPath对荧光标记的整个小鼠大脑切片中的多种细胞类型进行自动定量

Automated Quantification of Multiple Cell Types in Fluorescently Labeled Whole Mouse Brain Sections Using QuPath

QuPath对荧光标记的整个小鼠大脑切片中的多种细胞类型进行自动定量

JC Jo-Maree Courtney
GM Gary P. Morris
EC Elise M. Cleary
DH David W. Howells
BS Brad A. Sutherland
5383 Views
Jul 5, 2022
The quantification of labeled cells in tissue sections is crucial to the advancement of biological knowledge. Traditionally, this was a tedious process, requiring hours of careful manual counting in small portions of a larger tissue section. To overcome this, many automated methods for cell analysis have been developed. Recent advances in whole slide scanning technologies have provided the means to image cells in entire tissue sections. However, common automated analysis tools do not have the capacity to deal with the large image files produced. Herein, we present a protocol for the quantification of two fluorescently labeled cell populations, namely pericytes and microglia, in whole brain tissue sections. This protocol uses custom-made scripts within the open source software QuPath to provide a framework for the careful optimization and validation of automated cell detection parameters. Images obtained from a whole-slide scanner are first loaded into a QuPath project. Manual counts are performed on small sample regions to optimize cell detection parameters prior to automated quantification of cells across entire brain regions. Even though we have quantified pericytes and microglia, any fluorescently labeled cell with clear labeling in and around the nucleus can be analyzed using these methods. This protocol provides a user-friendly and cost-effective framework for the automated analysis of whole tissue sections.