往期刊物2021

卷册: 11, 期号: 17

left

Dec

20

Dec

5

Nov

20

Nov

5

Oct

20

Oct

5

Sep

20

Sep

5

Aug

20

Aug

5

Jul

20

Jul

5

Jun

20

Jun

5

May

20

May

5

Apr

20

Apr

5

Mar

20

Mar

5

Feb

20

Feb

5

Jan

20

Jan

5

right

生物化学

蛋白质-蛋白质复合物的动力学分析,以确定其电离常数 (KD) 和使用生物层干涉法相互作用的效应分子的有效浓度 (EC50)

Kinetic Analysis of a Protein-protein Complex to Determine its Dissociation Constant (KD) and the Effective Concentration (EC50) of an Interplaying Effector Molecule Using Bio-layer Interferometry

蛋白质-蛋白质复合物的动力学分析,以确定其电离常数 (KD) 和使用生物层干涉法相互作用的效应分子的有效浓度 (EC50)

TO Tim Orthwein
LH Luciano F. Huergo
KF Karl Forchhammer
KS Khaled A. Selim
6121 Views
Sep 5, 2021
Biolayer interferometry (BLI) is an emerging analytical tool that allows the study of protein complexes in real time to determine protein complex kinetic parameters. This article describes a protocol to determine the KD of a protein complex using a 6×His tagged fusion protein as bait immobilized on the NTA sensor chip of the FortéBio® Octet K2 System (Sartorius). We also describe how to determine the half maximal effective concentration (EC50, also known as IC50 for inhibiting effectors) of a metabolite. The complete protocol allows the determination of protein complex KD and small molecular effector EC50 within 8 h, measured in triplicates.Graphic abstract:Principle of the Biolayer interferometry measurement. (Middle, top) Exemplary result of the BLI measurement using Octet® (Raw Data). Wavelength shift (Δλ) against time. (A) Baseline 1. Baseline measurement. When the sensor is equilibrated in the kinetics buffer. The light is reflected with no difference. (B) Load. The his-tagged proteins (ligand) are loaded onto the sensor surface. The light is reflected with a shift of the wavelength. (C) Baseline 2. The loaded sensor is equilibrated in the kinetics buffer. No further wavelength shift appears. (D) Association. The loaded sensor is dipped into the analyte solution. The analyte binds to the immobilized ligand along with an increased wavelength shift. (E) Dissociation. Afterward, the sensor is dipped again into the kinetics buffer without the analyte. Some analyte molecules dissociate. The wavelength shift decreases. (Subfigures A-E) The left side shows the position of the sensor during the measurement seen in the representative BLI measurement, marked with the figure label. The right side shows the light path in the sensor. Black waves represent the light emitted to the sensor surface. The red waves show the light reflected from the sensor surface back to the detector.

生物物理学

使用原子力显微镜研究线粒体闪烁解旋酶对DNA解旋的实时动力学

Using Atomic Force Microscopy to Study the Real Time Dynamics of DNA Unwinding by Mitochondrial Twinkle Helicase

使用原子力显微镜研究线粒体闪烁解旋酶对DNA解旋的实时动力学

PK Parminder Kaur
HP Hai Pan
ML Matthew J. Longley
WC William C. Copeland
HW Hong Wang
3893 Views
Sep 5, 2021
Understanding the structure and dynamics of DNA-protein interactions during DNA replication is crucial for elucidating the origins of disorders arising from its dysfunction. In this study, we employed Atomic Force Microscopy as a single-molecule imaging tool to examine the mitochondrial DNA helicase Twinkle and its interactions with DNA. We used imaging in air and time-lapse imaging in liquids to observe the DNA binding and unwinding activities of Twinkle hexamers at the single-molecule level. These procedures helped us visualize Twinkle loading onto and unloading from the DNA in the open-ring conformation. Using traditional methods, it has been shown that Twinkle is capable of unwinding dsDNA up to 20-55 bps. We found that the addition of mitochondrial single-stranded DNA binding protein (mtSSB) facilitates a 5-fold increase in the DNA unwinding rate for the Twinkle helicase. The protocols developed in this study provide new platforms to examine DNA replication and to explore the mechanism driving DNA deletion and human diseases.Graphic abstract:Mitochondrial Twinkle Helicase Dynamics

细胞生物学

酵母细胞诱导中的细胞诱导和质粒诱导

Cytoduction and Plasmiduction in Yeast

酵母细胞诱导中的细胞诱导和质粒诱导

JD Jane E. Dorweiler
AM Anita L. Manogaran
3723 Views
Sep 5, 2021
Cytoduction, and a related technique referred to as plasmiduction, have facilitated substantial advancements in the field of yeast prion biology by providing a streamlined method of transferring prions from one yeast strain to another. Prions are cytoplasmic elements consisting of aggregated misfolded proteins, and as such, they exhibit non-Mendelian patterns of inheritance. While prion transfer through mating and sporulation, or through protein transformation, is possible, these approaches yield non-isogenic strains or are technically complex, respectively. Cytoduction is a mating-based technique that takes advantage of a kar1 mutation with impaired nuclear fusion (karyogamy). It is a straightforward method for introducing a prion to any yeast strain (referred to as the recipient) by mating it with a donor strain containing the prion of interest. The only absolute requirement is that one of these two strains (donor or recipient) must carry the kar1-1 mutation to limit nuclear fusion. The resulting cytoductant contains the original nucleus of the recipient strain, but a cytoplasm reflecting a mix of all elements from the donor and the recipient. Modifications to the basic cytoduction strategy provide several options for successful cytoduction, including when working with slow growing or respiratory deficient strains. A significant advantage of the plasmiduction protocol presented is the ability to transfer a plasmid encoding a fluorescently tagged version of the prion protein, which allows for the direct verification of the prion state through visual protein aggregates.Graphic abstract:Transfer of Yeast Cytoplasmic Elements such as Prions using Cytoduction

发育生物学

成年斑马鱼肌纤维的分离和肌肉干细胞的培养

Isolation of Myofibres and Culture of Muscle Stem Cells from Adult Zebrafish

成年斑马鱼肌纤维的分离和肌肉干细胞的培养

MG Massimo Ganassi
PZ Peter S. Zammit
SH Simon M. Hughes
6773 Views
Sep 5, 2021
Skeletal muscles generate force throughout life and require maintenance and repair to ensure efficiency. The population of resident muscle stem cells (MuSCs), termed satellite cells, dwells beneath the basal lamina of adult myofibres and contributes to both muscle growth and regeneration. Upon exposure to activating signals, MuSCs proliferate to generate myoblasts that differentiate and fuse to grow or regenerate myofibres. This myogenic progression resembles aspects of muscle formation and development during embryogenesis. Therefore, the study of MuSCs and their associated myofibres permits the exploration of muscle stem cell biology, including the cellular and molecular mechanisms underlying muscle formation, maintenance and repair. As most aspects of MuSC biology have been described in rodents, their relevance to other species, including humans, is unclear and would benefit from comparison to an alternative vertebrate system. Here, we describe a procedure for the isolation and immunolabelling or culture of adult zebrafish myofibres that allows examination of both myofibre characteristics and MuSC biology ex vivo. Isolated myofibres can be analysed for morphometric characteristics such as the myofibre volume and myonuclear domain to assess the dynamics of muscle growth. Immunolabelling for canonical stemness markers or reporter transgenes identifies MuSCs on isolated myofibres for cellular/molecular studies. Furthermore, viable myofibres can be plated, allowing MuSC myogenesis and analysis of proliferative and differentiative dynamics in primary progenitor cells. In conclusion, we provide a comparative system to amniote models for the study of vertebrate myogenesis, which will reveal fundamental genetic and cellular mechanisms of MuSC biology and inform aquaculture.Graphic abstract:Schematic of Myofibre Isolation and Culture of Muscle Stem Cells from Adult Zebrafish.

免疫学

体外和体内小鼠γδT细胞的分离和定量

Isolation and Quantification of Mouse γδT-cells in vitro and in vivo

体外和体内小鼠γδT细胞的分离和定量

IR Isha Rana
KB Krithika Badarinath
Ravindra K. Zirmire Ravindra K. Zirmire
CJ Colin Jamora
5031 Views
Sep 5, 2021
The skin plays an important role in protecting the body from pathogens and chemicals in the external environment. Upon injury, a healing program is rapidly initiated and involves extensive intercellular communication to restore tissue homeostasis. The deregulation of this crosstalk can lead to abnormal healing processes and is the foundation of many skin diseases. A relatively overlooked cell type that nevertheless plays critical roles in skin homeostasis, wound repair, and disease is the dendritic epidermal T cells (DETCs), which are also called γδT-cells. Given their varied roles in both physiological and pathological scenarios, interest in the regulation and function of DETCs has substantially increased. Moreover, their ability to regulate other immune cells has garnered substantial attention for their potential role as immunomodulators and in immunotherapies. In this article, we describe a protocol to isolate and culture DETCs and analyse them in vivo within the skin. These approaches will facilitate the investigation of their crosstalk with other cutaneous cells and the mechanisms by which they influence the status of the skin.Graphic abstract:Overall workflow to analyse DETCs in vitro and in vivo.
刺激后骨髓源性巨噬细胞中ASC炎症小体的显微检测

Microscopic Detection of ASC Inflammasomes in Bone Marrow Derived Macrophages Post Stimulation

刺激后骨髓源性巨噬细胞中ASC炎症小体的显微检测

LL Longjun Li
RM Rudi Mao
XQ Xiaopeng Qi
4238 Views
Sep 5, 2021
An inflammasome is an intracellular multiprotein complex that plays important roles in host defense and inflammatory responses. Inflammasomes are typically composed of the adaptor protein apoptosis-associated speck-like protein containing a CARD (ASC), cytoplasmic sensor protein, and the effector protein pro-caspase-1. ASC assembly into a protein complex termed ASC speck is a readout for inflammasome activation. Here, we provide a step-by-step protocol for the detection of ASC speck by confocal microscopy in Bone marrow derived macrophages (BMBDs) triggered by chemical stimuli and bacterial pathogens. We also describe the detailed procedure for the generation of BMDMs, stimulating conditions for inflammasome activation, immunofluorescence cell staining of ASC protein, and microscopic examination. Thus far, this method is a simple and reliable manner to visualize and quantify the intracellular localization of ASC speck.Graphic abstract:Figure 1. Confocal microscopy detection of ASC speck formation in untreated WT BMDMs and WT BMDMs stimulated with LPS and ATP, transfected with dsDNA, and infected with F. novicida or Salmonella as indicated. Arrow indicates the ASC speck. Scale bars: 10 μm.
硫醇反应探针流式细胞术检测食蟹猴疟原虫生长抑制

Plasmodium cynomolgi Berok Growth Inhibition Assay by Thiol-reactive Probe Based Flow Cytometric Measurement

硫醇反应探针流式细胞术检测食蟹猴疟原虫生长抑制

JO Jessica Jie Ying Ong
BR Bruce Russell
JH Jin-Hee Han
3488 Views
Sep 5, 2021
The relapsing malaria species, Plasmodium vivax, is the most widely distributed and difficult-to-treat cause of human malaria. The merozoites of P. vivax preferentially invade ephemeral human CD71+ reticulocytes (nascent reticulocytes), thereby limiting the development of a robust continuous culture in vitro. Fortunately, P. vivax’s sister species, P. cynomolgi Berok, can be cultured continuously, providing the ability to screen novel therapeutics drug and vaccine candidates in a reliable and high-throughput manner. Based on well-established growth inhibition activity (GIA) assays against P. falciparum and P. knowlesi, this protocol adopts the current flow cytometry assay methodology and investigates P. vivax inhibitory antibodies using the P. cynomolgi Berok invasion model based on the thiol-reactivity and DNA abundance of viable parasites in macaque erythrocytes. Established GIA assays screen antibodies at either a single concentration or high/low dose concentrations to provide quick insights for prioritizing potential antibodies capable of specifically interrupting parasite ligand and host receptor binding with minimal concentrations. Hence, this protocol expands on the existing GIA assay by using serially diluted antibodies and generating a dose-response curve to better quantify the inhibitory efficacy amongst selected vaccine candidates.

微生物学

乳酸杆菌属膜囊泡中的分离和特性研究

Isolation and Characterization of Membrane Vesicles from Lactobacillus Species

乳酸杆菌属膜囊泡中的分离和特性研究

JC Julie C. Caruana
SD Scott N. Dean
SW Scott A. Walper
4969 Views
Sep 5, 2021
Throughout their life cycle, bacteria shed portions of their outermost membrane comprised of proteins, lipids, and a diversity of other biomolecules. These biological nanoparticles have been shown to have a range of highly diverse biological activities, including pathogenesis, community regulation, and cellular defense (among others). In recent publications, we have isolated and characterized membrane vesicles (MVs) from several species of Lactobacilli, microbes classified as commensals within the human gut microbiome (Dean et al., 2019 and 2020). With increasing scientific understanding of host-microbe interactions, the gut-brain axis, and tailored probiotics for therapeutic or performance increasing applications, the protocols described herein will be useful to researchers developing new strategies for gut community engineering or the targeted delivery of bio-active molecules.Graphic abstract:Figure 1. Atomic force microscopic image of Lactobacillus casei ATCC 393 bacteria margins (white arrows) and membrane vesicles (black arrows)

分子生物学

Direct-TRI: 斑马鱼发育各阶段高通量RNA提取方法

Direct-TRI: High-throughput RNA-extracting Method for all Stages of Zebrafish Development

Direct-TRI: 斑马鱼发育各阶段高通量RNA提取方法

KU Kota Ujibe
KN Kanako Nishimura
MK Makoto Kashima
HH Hiromi Hirata
4760 Views
Sep 5, 2021
Recent popularization of next-generation sequencing enables conducting easy transcriptome analysis. Nevertheless, substantial RNA isolation work prior to RNA sequencing, as well as the high cost involved, still makes the routine use of large-scale transcriptome analysis difficult. For example, conventional phenol-chloroform RNA extraction cannot be easily applied to hundreds of samples. Therefore, we developed Direct-TRI, a new cost-effective and high throughput RNA-extraction method that uses a commercial guanidine-phenol-based RNA extraction reagent and a 96-well silica column plate. We applied Direct-TRI to zebrafish whole larvae and juvenile samples and obtained comparable RNA qualities by several different homogenization methods such as vortexing, manual homogenizing, and freezing/crushing. Direct-TRI enabled the extraction of 192 RNA samples in an hour with a cost of less than a dollar per sample. Direct-TRI is useful for large-scale transcriptome studies, manipulating hundreds of zebrafish individuals, and may be used with other animal samples.
快速CRISPR的体外裂解和电泳迁移率位移测定

In vitro Cleavage and Electrophoretic Mobility Shift Assays for Very Fast CRISPR

快速CRISPR的体外裂解和电泳迁移率位移测定

RZ Roger S. Zou
YL Yang Liu
TH Taekjip Ha
4497 Views
Sep 5, 2021
CRISPR-Cas9 has transformed biomedical research and medicine through convenient and targeted manipulation of DNA. Time- and spatially-resolved control over Cas9 activity through the recently developed very fast CRISPR (vfCRISPR) system have facilitated comprehensive studies of DNA damage and repair. Understanding the fundamental principles of Cas9 binding and cleavage behavior is essential before the widespread use of these systems and can be readily accomplished in vitro through both cleavage and electrophoretic mobility shift assays (EMSA). The protocol for in vitro cleavage consists of Cas9 with guide RNA (gRNA) ribonucleoprotein (RNP) formation, followed by incubation with target DNA. For EMSA, this reaction is directly loaded onto an agarose gel for visualization of the target DNA band that is shifted due to binding by the Cas9 RNP. To assay for cleavage, Proteinase K is added to degrade the RNP, allowing target DNA (cleaved and/or uncleaved) to migrate consistently with its molecular weight. Heating at 95°C rapidly inactivates the RNP on demand, allowing time-resolved measurements of Cas9 cleavage kinetics. This protocol facilitates the characterization of the light-activation mechanism of photocaged vfCRISPR gRNA.
 用于化学转录障碍的内部修饰 DNA 模板的制备和特征分析

Preparation and Characterization of Internally Modified DNA Templates for Chemical Transcription Roadblocking

用于化学转录障碍的内部修饰 DNA 模板的制备和特征分析

ES Eric J. Strobel
3637 Views
Sep 5, 2021
Site-specific transcription arrest is the basis of emerging technologies that assess nascent RNA structure and function. Cotranscriptionally folded RNA can be displayed from an arrested RNA polymerase (RNAP) for biochemical manipulations by halting transcription elongation at a defined DNA template position. Most transcription “roadblocking” approaches halt transcription elongation using a protein blockade that is non-covalently attached to the template DNA. I previously developed a strategy for halting Escherichia coli RNAP at a chemical lesion, which expands the repertoire of transcription roadblocking technologies and enables sophisticated manipulations of the arrested elongation complexes. To facilitate this chemical transcription roadblocking approach, I developed a sequence-independent method for preparing internally modified dsDNA using PCR and translesion synthesis. Here, I present a detailed protocol for the preparation and characterization of internally modified dsDNA templates for chemical transcription roadblocking experiments.Graphic abstract:Precise transcription roadblocking using functionalized DNA lesions

神经科学

通过邻近连接测定法测量 LRRK2 激酶活性

Measurement of LRRK2 Kinase Activity by Proximity Ligation Assay

通过邻近连接测定法测量 LRRK2 激酶活性

MK Matthew T. Keeney
EH Eric K. Hoffman
JG J. Timothy Greenamyre
RD Roberto Di Maio
3808 Views
Sep 5, 2021
Missense mutations in leucine rich-repeat kinase 2 (LRRK2) cause forms of familial Parkinson’s disease and have been linked to ‘idiopathic’ Parkinson’s disease. Assessment of LRRK2 kinase activity has been very challenging due to its size, complex structure, and relatively low abundance. A standard in the field to assess LRRK2 kinase activity is to measure the level of substrate phosphorylation (pThr73-Rab10) or autophosphorylation of serine 1292 (i.e., phosphoserine 1292; pS1292). The levels of pS1292 have typically been assessed by western blotting, which limits cellular and anatomical resolution. Here, we describe the method for a novel proximity ligation assay (PLA) that can detect endogenous LRRK2 kinase activity (PLA LRRK2) in situ at cellular and subcellular resolutions. PLA is a fluorescence- or chromogen-based assay that can be used to either (1) detect protein-protein interactions or (2) detect and amplify post-translational modifications on proteins. We used PLA for in situ detection and amplification of LRRK2 autophosphorylation levels at serine 1292. Our findings demonstrate that PLA LRRK2 is a highly sensitive and specific assay that can be used for assessing kinase activity in cultured cells and postmortem tissues.

植物科学

从针叶树类囊体中分离光合巨复合体和超复合体的增溶方法

Solubilization Method for Isolation of Photosynthetic Mega- and Super-complexes from Conifer Thylakoids

从针叶树类囊体中分离光合巨复合体和超复合体的增溶方法

PB Pushan Bag
WS Wolfgang P. Schröder
SJ Stefan Jansson
DF Domenica Farci
4144 Views
Sep 5, 2021
Photosynthesis is the main process by which sunlight is harvested and converted into chemical energy and has been a focal point of fundamental research in plant biology for decades. In higher plants, the process takes place in the thylakoid membranes where the two photosystems (PSI and PSII) are located. In the past few decades, the evolution of biophysical and biochemical techniques allowed detailed studies of the thylakoid organization and the interaction between protein complexes and cofactors. These studies have mainly focused on model plants, such as Arabidopsis, pea, spinach, and tobacco, which are grown in climate chambers even though significant differences between indoor and outdoor growth conditions are present. In this manuscript, we present a new mild-solubilization procedure for use with “fragile” samples such as thylakoids from conifers growing outdoors. Here, the solubilization protocol is optimized with two detergents in two species, namely Norway spruce (Picea abies) and Scots pine (Pinus sylvestris). We have optimized the isolation and characterization of PSI and PSII multimeric mega- and super-complexes in a close-to-native condition by Blue-Native gel electrophoresis. Eventually, our protocol will not only help in the characterization of photosynthetic complexes from conifers but also in understanding winter adaptation.
U2.3前体小核 RNA体外加工试验

U2.3 Precursor Small Nuclear RNA in vitro Processing Assay

U2.3前体小核 RNA体外加工试验

CL Chan Lin
YF Yujie Feng
XP Xueyan Peng
JW Jiaming Wu
WW Weili Wang
YL Yunfeng Liu
2745 Views
Sep 5, 2021
Small nuclear RNAs (snRNAs) are vital for eukaryotic cell activities and play important roles in pre-mRNA splicing. The molecular mechanism underlying the transcription of snRNA, regulated via upstream/downstream cis-elements and relevant trans-elements, has been investigated in detail using cell-free extracts. However, the processing of precursor snRNA (pre-snRNA), which is required by 3’ end maturation of pre-snRNA, remains unclear as a proper processing assay is difficult to develop in vitro. Here, we present an in vitro method using synthetic labeled RNA as substrates to study the 3’ cleavage of pre-snRNA.

干细胞

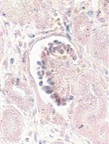
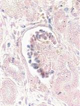
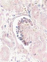
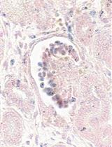
在人胚肾和人多能干细胞衍生的肾类器官中微小RNA的原位杂交

In situ Hybridization of miRNAs in Human Embryonic Kidney and Human Pluripotent Stem Cell-derived Kidney Organoids

在人胚肾和人多能干细胞衍生的肾类器官中微小RNA的原位杂交

FL Filipa M. Lopes
SK Susan J. Kimber
Ioannis   Bantounas Ioannis Bantounas
3363 Views
Sep 5, 2021
MicroRNAs are small RNAs that negatively regulate gene expression and play an important role in fine-tuning molecular pathways during development. There is increasing interest in studying their function in the kidney, but the majority of studies to date use kidney cell lines and assess the total amounts of miRNAs of interest either by qPCR or by high-throughput methods such as next generation sequencing. However, this provides little information as to the distribution of the miRNAs in the developing kidney, which is crucial in deciphering their role, especially as there are multiple kidney cell types, each with its own specific transcriptome. Thus, we present a protocol for obtaining spatial information for miRNA expression during kidney development by in situ hybridization (ISH) of anti-miRNA, digoxigenin-labelled (DIG), Locked Nucleic Acid (LNA®) probes on (i) native human embryonic tissue and (ii) human pluripotent stem cell (hPSC)-derived 3D kidney organoids that model kidney development. We found that the method reveals the precise localization of miRNA in specific anatomical structures and/or cell types and confirms their absence from others, thus informing as to their specific role during development.