往期刊物2017

卷册: 7, 期号: 22

left

Dec

20

Dec

5

Nov

20

Nov

5

Oct

20

Oct

5

Sep

20

Sep

5

Aug

20

Aug

5

Jul

20

Jul

5

Jun

20

Jun

5

May

20

May

5

Apr

20

Apr

5

Mar

20

Mar

5

Feb

20

Feb

5

Jan

20

Jan

5

right

生物化学

采用生物发光共振能量转移(BRET)技术测定活细胞中分子的相互作用

Bioluminescence Resonance Energy Transfer (BRET) Assay for Determination of Molecular Interactions in Living Cells

采用生物发光共振能量转移(BRET)技术测定活细胞中分子的相互作用

KH Kaleeckal G. Harikumar
Yan Yan Yan Yan
Ting-Hai Xu Ting-Hai Xu
KM Karsten Melcher
HX H. Eric Xu
LM Laurence J. Miller
22621 Views
Nov 20, 2017
The bioluminescence resonance energy transfer (BRET) assay can be used as an indicator of molecular approximation and/or interaction. A significant resonance energy transfer signal is generated when the acceptor, having the appropriate spectral overlap with the donor emission, is approximated with the donor. In the example provided, proteins tagged with bioluminescent Renilla luciferase (Rlu) as donor and yellow fluorescent protein (YFP) as acceptor were co-expressed in cells. This pair of donor and acceptor have an approximate Förster distance of 4.4 nm, providing the optimal working distance (Dacres et al., 2010). This technique can be used to explore the time-course of specific molecular interactions that occur in living cells.
采用链霉亲和素珠Pulldown实验测定蛋白质同源寡聚

Streptavidin Bead Pulldown Assay to Determine Protein Homooligomerization

采用链霉亲和素珠Pulldown实验测定蛋白质同源寡聚

Ting-Hai  Xu Ting-Hai Xu
Yan Yan Yan Yan
KH Kaleeckal G. Harikumar
LM Laurence J. Miller
KM Karsten Melcher
HX H. Eric Xu
22149 Views
Nov 20, 2017
Pulldown assay is a conventional method to determine protein-protein interactions in vitro. Expressing a protein of interest with two different tags allows testing whether both versions can be captured via one of the two tags as homooligomeric complex. This protocol is based on streptavidin bead capture of a biotinylated protein and co-associated Flag-tagged protein using Streptavidin MagBeads.
γ-分泌酶ε-裂解分析

γ-Secretase Epsilon-cleavage Assay

γ-分泌酶ε-裂解分析

Ting-Hai Xu Ting-Hai Xu
Yan Yan Yan Yan
KH Kaleeckal G. Harikumar
LM Laurence J. Miller
KM Karsten Melcher
HX H. Eric Xu
8794 Views
Nov 20, 2017
γ-Secretase epsilon-cleavage assay is derived from the cell-based Tango assay (Kang et al., 2015), and is a fast and sensitive method to determine the initial cleavage of C99 by γ-secretase. In this protocol, we use HTL cells, which are HEK293 cells with a stably integrated luciferase reporter under the control of the bacterial tetO operator element, in which C99 C terminally fused to a reversed tetracyclin-inducible activator (rTA) transcriptional activator is expressed. Endogenous or transfected γ-secretase cleaves a C terminally fused rTA transcriptional activator from C99, allowing rTA to move to the nucleus to activate a luciferase reporter gene as a measurement for γ-secretase cleavage activity.
无细胞荧光高尔基体内逆向囊泡转运分析

Cell-free Fluorescent Intra-Golgi Retrograde Vesicle Trafficking Assay

无细胞荧光高尔基体内逆向囊泡转运分析

NC Nathanael P. Cottam
DU Daniel Ungar
8774 Views
Nov 20, 2017
Intra-Golgi retrograde vesicle transport is used to traffic and sort resident Golgi enzymes to their appropriate cisternal locations. An assay was established to investigate the molecular details of vesicle targeting in a cell-free system. Stable cell lines were generated in which the trans-Golgi enzyme galactosyltransferase (GalT) was tagged with either CFP or YFP. Given that GalT is recycled to the cisterna where it is located at steady state, GalT-containing vesicles target GalT-containing cisternal membranes. Golgi membranes were therefore isolated from GalT-CFP expressing cells, while vesicles were prepared from GalT-YFP expressing ones. Incubating CFP-labelled Golgi with YFP-labelled vesicles in the presence of cytosol and an energy regeneration mixture at 37 °C produced a significant increase in CFP-YFP co-localization upon fluorescent imaging of the mixture compared to incubation on ice. The assay was validated to require energy, proteins and physiologically important trafficking components such as Rab GTPases and the conserved oligomeric Golgi tethering complex. This assay is useful for the investigation of both physiological and pathological changes that affect the Golgi trafficking machinery, in particular, vesicle tethering.
COPII包被的前胶原I载体的无细胞生成

Cell-free Generation of COPII-coated Procollagen I Carriers

COPII包被的前胶原I载体的无细胞生成

LY Lin Yuan
SB Satoshi Baba
KB Kanika Bajaj
RS Randy Schekman
8637 Views
Nov 20, 2017
The aim of this protocol is to generate COPII-coated procollagen I (PC1) carriers in a cell-free reaction. The COPII-coated PC1 carriers were reconstituted from donor membrane, cytosol, purified recombinant COPII proteins, and nucleotides. This protocol describes the preparation of donor membrane and cytosol, the assembly of the reaction, and the isolation and detection of reconstituted COPII-coated carriers. This cell-free reaction can be used to test conditions that stimulate or suppress the packaging of PC1 into COPII-coated carriers.

癌症生物学

靶向破坏内源蛋白的亲和力定向蛋白导弹(AdPROM)系统

An Affinity-directed Protein Missile (AdPROM) System for Targeted Destruction of Endogenous Proteins

靶向破坏内源蛋白的亲和力定向蛋白导弹(AdPROM)系统

Thomas J Macartney Thomas J Macartney
GS Gopal P Sapkota
Luke J Fulcher Luke J Fulcher
10050 Views
Nov 20, 2017
We recently reported an Affinity-directed PROtein Missile (AdPROM) system for the targeted proteolysis of endogenous proteins of interest (POI) (Fulcher et al., 2016 and 2017). AdPROM consists of the Von Hippel Lindau (VHL) protein, a Cullin 2 E3 ligase substrate receptor (Bosu and Kipreos, 2008), conjugated to a high affinity polypeptide binder (such as a camelid nanobody) that recognises the target protein in cells. When introduced in cells, the target protein is recruited to the CUL2 E3 ubiquitin ligase complex for ubiquitin-mediated proteasomal degradation. For target protein recruitment, we have utilised both camelid-derived VHH domain nanobodies as well as synthetic polypeptide monobodies based on the human type III fibronectin domain (Sha et al., 2013; Fridy et al., 2014; Schmidt et al., 2016). In this protocol, we describe detailed methodology involved in generating AdPROM constructs and their application in human cell lines for target protein destruction. AdPROM allows functional characterisation of the POI and its efficiency of target protein destruction overcomes many limitations of RNA-interference approaches, which necessitate long treatments and are associated with off-target effects, and CRISPR/Cas9 gene editing, which is not always feasible.

发育生物学

快速解剖间接飞行肌用于荧光标记肌节蛋白的观察

Rapid IFM Dissection for Visualizing Fluorescently Tagged Sarcomeric Proteins

快速解剖间接飞行肌用于荧光标记肌节蛋白的观察

YX Yu Shu Xiao
FS Frieder Schöck
NG Nicanor González-Morales
11146 Views
Nov 20, 2017
Sarcomeres, the smallest contractile unit of muscles, are arguably the most impressive actomyosin structure. Yet a complete understanding of sarcomere formation and maintenance is missing. The Drosophila indirect flight muscle (IFM) has proven to be a very valuable model to study sarcomeres. Here, we present a protocol for the rapid dissection of IFM and analysis of sarcomeres using fluorescently tagged proteins.

免疫学

人CD8 T细胞的体外稳态增殖

In vitro Homeostatic Proliferation of Human CD8 T Cells

人CD8 T细胞的体外稳态增殖

HA Hossam A. Abdelsamed
CZ Caitlin C. Zebley
BY Ben Youngblood
13008 Views
Nov 20, 2017
Long-lived T-cell–mediated immunity requires persistence of memory T cells in an antigen-free environment while also maintaining a heightened capacity to recall effector functions. Such antigen-independent homeostatic proliferation is mediated in part by the common gamma-chain cytokines IL-7 and IL-15. To further explore the mechanisms governing maintenance of effector functions in long-lived memory T cells during antigen-independent proliferation, human naïve and memory CD8 T cells can be sorted from peripheral blood mononuclear cells (PBMCs), labeled with the proliferation-tracking dye carboxyfluorescein succinimidyl ester (CFSE), and then purified based on their levels of cell division. This allows investigators to assess differences in the desired molecular target in cells that have undergone cytokine-driven proliferation. We provide here a protocol for assessing epigenetic programs in divided and undivided human naïve and memory CD8 T cells following 7 days in culture with IL-7 and IL-15 to illustrate how this approach can shed light on the mechanism(s) that governs the preservation of effector functions during homeostasis of long-lived memory CD8 T cells.
将颗粒悬浮物滴注至肺部

Instillation of Particulate Suspensions to the Lungs

将颗粒悬浮物滴注至肺部

EK Etsushi Kuroda
YM Yasuo Morimoto
KI Ken J Ishii
8524 Views
Nov 20, 2017
Inhaled fine particulates are thought to cause chronic pulmonary inflammation through the deposition of particulates into the lungs. To investigate the effect of fine particulates on the lungs, instillation of suspension of particulates into the lungs is required. This protocol describes direct injection of suspensions of fine particulates into the airway. We also show examples of typical lung immune responses after particulate administration.

微生物学

器官型脑培养:研究嗜神经病毒对中枢神经系统的感染和筛选抗病毒药物的框架

Organotypic Brain Cultures: A Framework for Studying CNS Infection by Neurotropic Viruses and Screening Antiviral Drugs

器官型脑培养:研究嗜神经病毒对中枢神经系统的感染和筛选抗病毒药物的框架

Jeremy Charles Welsch Jeremy Charles Welsch
CL Claire Lionnet
CT Christophe Terzian
BH Branka Horvat
DG Denis Gerlier
CM Cyrille Mathieu
14018 Views
Nov 20, 2017
According to the World Health Organization (WHO), at least 50% of emerging viruses endowed with pathogenicity in humans can infect the Central Nervous System (CNS) with induction of encephalitis and other neurologic diseases (Taylor et al., 2001; Olival and Daszak, 2005). While neurological diseases are progressively documented, the underlying cellular and molecular mechanisms involved in virus infection and dissemination within the CNS are still poorly understood (Swanson and McGavern, 2015; Ludlow et al., 2016). For example, measles virus (MeV) can infect neural cells, and cause a persistent brain infections leading to lethal encephalitis from several months to years after primary infection with no available treatment (Reuter and Schneider-Schaulies, 2010; Laksono et al., 2016). The Organotypic Brain Culture (OBC) is a suitable model for the virology field to better understand the CNS infections. Indeed, it allows not only studying the infection and the dissemination of neurotropic viruses within the CNS but it could also serve as screening model of innovative antiviral strategies or molecules, such as our recently published studies about fusion inhibitory peptides and the HSP90 chaperone activity inhibitor, 17-DMAG (Welsch et al., 2013; Bloyet et al., 2016). Based on our previous work, we propose here an optimized method to prepare OBC of hippocampi and cerebellums which are suitable for small rodent models based virus studies, including mice, rats as well as hamsters at a post-natal stage, between P6 to P10. We notably took into account the stress of the slice procedure on the tissue and the subsequent cellular reactions, which is essential to fully characterize the model prior to any use in infectious conditions. With this knowledge, we propose a protocol highlighting the requirements, including potential trouble shootings of the slicing parameters, to consider the variations we observed according to the structure and animal studied. This framework should facilitate the use of OBC for better conclusive studies of neurotropic viruses.
水疱性口炎病毒通过显微注射感染秀丽隐杆线虫

Infection of Caenorhabditis elegans with Vesicular Stomatitis Virus via Microinjection

水疱性口炎病毒通过显微注射感染秀丽隐杆线虫

AM Adam Martin
ER Emily A. Rex
TI Takao Ishidate
RL Rueyling Lin
DG Don B. Gammon
9343 Views
Nov 20, 2017
Over the past 15 years, the free-living nematode, Caenorhabditis elegans has become an important model system for exploring eukaryotic innate immunity to bacterial and fungal pathogens. More recently, infection models using either natural or non-natural nematode viruses have also been established in C. elegans. These models offer new opportunities to use the nematode to understand eukaryotic antiviral defense mechanisms. Here we report protocols for the infection of C. elegans with a non-natural viral pathogen, vesicular stomatitis virus (VSV) through microinjection. We also describe how recombinant VSV strains encoding fluorescent or luciferase reporter genes can be used in conjunction with simple fluorescence-, survival-, and luminescence-based assays to identify host genetic backgrounds with differential susceptibilities to virus infection.
超嗜热古细菌Thermococcus kodakarensis的无标记基因编辑

Markerless Gene Editing in the Hyperthermophilic Archaeon Thermococcus kodakarensis

超嗜热古细菌Thermococcus kodakarensis的无标记基因编辑

AG Alexandra M. Gehring
TS Travis J. Sanders
TS Thomas J. Santangelo
8634 Views
Nov 20, 2017
The advent of single cell genomics and the continued use of metagenomic profiling in diverse environments has exponentially increased the known diversity of life. The recovered and assembled genomes predict physiology, consortium interactions and gene function, but experimental validation of metabolisms and molecular pathways requires more directed approaches. Gene function–and the correlation between phenotype and genotype is most obviously studied with genetics, and it is therefore critical to develop techniques permitting rapid and facile strain construction. Many new and candidate archaeal lineages have recently been discovered, but experimental, genetic access to archaeal genomes is currently limited to a few model organisms. The results obtained from manipulating the genomes of these genetically-accessible organisms have already had profound effects on our understanding of archaeal physiology and information processing systems, and these continued studies also help resolve phylogenetic reconstruction of the tree of life. The hyperthermophilic, planktonic, marine heterotrophic archaeon Thermococcus kodakarensis, has emerged as an ideal genetic system with a suite of techniques available to add or delete encoded activities, or modify expression of genes in vivo. We outline here techniques to rapidly and markerlessly delete a single, or repetitively delete several, continuous sequences from the T. kodakarensis genome. Our procedure includes details on the construction of the plasmid DNA necessary for transformation that directs, via homologous recombination, integration into the genome, identification of strains that have incorporated plasmid sequences (termed intermediate strains), and confirmation of plasmid excision, leading to deletion of the target gene in final strains. Near identical procedures can be employed to modify, rather than delete, a genomic locus.
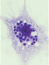
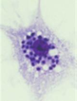
组织中克氏锥虫的定量及克氏锥虫杀灭试验

Quantification of Trypanosoma cruzi in Tissue and Trypanosoma cruzi Killing Assay

组织中克氏锥虫的定量及克氏锥虫杀灭试验

HK Hisako Kayama
SK Shoko Kitada
KT Kiyoshi Takeda
8200 Views
Nov 20, 2017
Infection with Trypanosoma cruzi causes Chagas disease. The methods provided here allow for the quantification of T. cruzi in the liver, heart, and blood of intraperitoneally-infected mice and analysis of the killing activity of the cells infected with T. cruzi in vitro.

分子生物学

采用基于细胞的Tango测定法检测膜蛋白相互作用

Detection of Membrane Protein Interactions by Cell-based Tango Assays

采用基于细胞的Tango测定法检测膜蛋白相互作用

Yan Yan Yan Yan
Ting-Hai Xu Ting-Hai Xu
KH Kaleeckal G. Harikumar
LM Laurence J. Miller
KM Karsten Melcher
HX H. Eric Xu
10871 Views
Nov 20, 2017
The Tango assay is a protein-protein interaction assay, in which a transcription factor (rTA) is fused to a membrane-bound protein via a linker that contains a cleavage site for TEV protease, whereas a soluble interaction partner is fused to TEV protease (Barnea et al., 2008). Association between the two interaction partners leads to an efficient cleavage of the transcription factor, allowing it to translocate to the nucleus and activate a luciferase reporter gene as measurement of the interactions. In this modified assay, we fused one copy of the membrane-spanning amyloid precursor protein (APP) C99 region to TEV site-rTA (C99-TEV site-rTA) and a second copy to TEV protease (C99-TEV) to analyze intramembrane C99-C99 interaction in live cells.
使用CRISPR核糖核蛋白的体外工程DNA结合分子介导的染色质免疫沉淀(体外enChIP)结合下一代测序(体外enChIP-Seq)用于染色体相互作用的鉴定

In vitro Engineered DNA-binding Molecule-mediated Chromatin Immunoprecipitation (in vitro enChIP) Using CRISPR Ribonucleoproteins in Combination with Next-generation Sequencing (in vitro enChIP-Seq) for the Identification of Chromosomal Interactions

使用CRISPR核糖核蛋白的体外工程DNA结合分子介导的染色质免疫沉淀(体外enChIP)结合下一代测序(体外enChIP-Seq)用于染色体相互作用的鉴定

Toshitsugu Fujita Toshitsugu Fujita
Hodaka  Fujii Hodaka Fujii
10441 Views
Nov 20, 2017
We have developed locus-specific chromatin immunoprecipitation (locus-specific ChIP) technologies consisting of insertional ChIP (iChIP) and engineered DNA-binding molecule-mediated ChIP (enChIP). Locus-specific ChIP is a method to isolate a genomic region of interest from cells while it also identifies what binds to this region using mass spectrometry (for protein) or next generation sequencing (for RNA or DNA) as described in Fujita et al. (2016a). Recently, we identified genomic regions that physically interact with a locus using an updated form of enChIP, in vitro enChIP, in combination with NGS (in vitro enChIP-Seq) (Fujita et al., 2017a). Here, we describe a protocol on in vitro enChIP to isolate a target locus for identification of genomic regions that physically interact with the locus.

神经科学

荧光原位杂交(FISH)与免疫荧光成像联合检测小胶质细胞/巨噬细胞中细胞因子的表达

Combination of Fluorescent in situ Hybridization (FISH) and Immunofluorescence Imaging for Detection of Cytokine Expression in Microglia/Macrophage Cells

荧光原位杂交(FISH)与免疫荧光成像联合检测小胶质细胞/巨噬细胞中细胞因子的表达

Maria Fe Lanfranco Maria Fe Lanfranco
DL David J. Loane
IM Italo Mocchetti
MB Mark P. Burns
Sonia Villapol Sonia Villapol
16103 Views
Nov 20, 2017
Microglia and macrophage cells are the primary producers of cytokines in response to neuroinflammatory processes. But these cytokines are also produced by other glial cells, endothelial cells, and neurons. It is essential to identify the cells that produce these cytokines to target their different levels of activation. We used dual RNAscope® fluorescence in situ hybridization (FISH) and immunohistochemistry (IHC) techniques to visualize the mRNA expression pattern of pro- and anti-inflammatory cytokines in microglia/macrophages cells. Using these methods, we can associate one mRNA to specific cell types when combining with different cellular markers by immunofluorescence. Results from RNAscope® probes IL-1β, TNFα, TGFβ, IL-10 or Arg1, showed colocalization with antibodies for microglia/macrophage cells. These target probes showed adequate sensitivity and specificity to detect mRNA expression. New FISH detection techniques combined with immunohistochemical techniques will help to jointly determine the protein and mRNA localization, as well as provide reliable quantification of the mRNA expression levels.
脑组织明胶包埋的最新方法和用以连续重建的切片组织的简化排列

A Streamlined Method for the Preparation of Gelatin Embedded Brains and Simplified Organization of Sections for Serial Reconstructions

脑组织明胶包埋的最新方法和用以连续重建的切片组织的简化排列

Andrew W. Liu Andrew W. Liu
SA Sho Aoki
JW Jeffery R. Wickens
14440 Views
Nov 20, 2017
Gelatin embedding of whole brains for sectioning is a critical procedure used in neuroscience to ensure all morphological and spatial details are preserved intact. Here, we describe an inexpensive, reproducible and efficient means to embed post-fixed brains ready for sectioning in gelatin within a week’s time. The sections obtained are distortion-free and their fragile internal structures preserved which can be used for serial reconstructions for lesion studies and mapping of viral expression after stereotaxic injections. In addition, the separation of adjacent slices into a series of 3-4 vials facilitates subsequent organization and assembly of serial sections at the mounting step.
从人诱导性多能干细胞神经元获得多电极阵列记录

Obtaining Multi-electrode Array Recordings from Human Induced Pluripotent Stem Cell–Derived Neurons

从人诱导性多能干细胞神经元获得多电极阵列记录

XX Xiaohong Xu
CR Carola I. Radulescu
KU Kagistia Hana Utami
MP Mahmoud A. Pouladi
13146 Views
Nov 20, 2017
Neuronal electrical properties are often aberrant in neurological disorders. Human induced pluripotent stem cells (hiPSCs)-derived neurons represent a useful platform for neurological disease modeling, drug discovery and toxicity screening in vitro. Multi-electrode array (MEA) systems offer a non-invasive and label-free platform to record neuronal evoked-responses concurrently from multiple electrodes. To better detect the neural network changes, we used the Axion Maestro MEA platform to assess neuronal activity and bursting behaviors in hiPSC-derived neuronal cultures. Here we describe the detailed protocol for neuronal culture preparation, MEA recording, and data analysis, which we hope will benefit other researchers in the field.

植物科学

设计并通过USERTM克隆直接将合成的含尿嘧啶非克隆DNA片段装配到载体中

Design and Direct Assembly of Synthesized Uracil-containing Non-clonal DNA Fragments into Vectors by USERTM Cloning

设计并通过USERTM克隆直接将合成的含尿嘧啶非克隆DNA片段装配到载体中

MJ Morten Egevang Jørgensen
NW Nikolai Wulff
MN Majse Nafisi
DX Deyang Xu
CW Cuiwei Wang
SL Sophie Konstanze Lambertz
ZB Zeinu Mussa Belew
HN Hussam Hassan Nour-Eldin
10369 Views
Nov 20, 2017
This protocol describes how to order and directly assemble uracil-containing non-clonal DNA fragments by uracil excision based cloning (USER cloning). The protocol was generated with the goal of making synthesized non-clonal DNA fragments directly compatible with USERTM cloning. The protocol is highly efficient and would be compatible with uracil-containing non-clonal DNA fragments obtained from any synthesizing company. The protocol drastically reduces time and handling between receiving the synthesized DNA fragments and transforming with vector and DNA fragment(s).
转基因橄榄植物的产生与筛选

Generation and Selection of Transgenic Olive Plants

转基因橄榄植物的产生与筛选

EP Elena Palomo-Ríos
SC Sergio Cerezo
JM Jose Ángel Mercado
FP Fernando Pliego-Alfaro
9909 Views
Nov 20, 2017
Olive (Olea europaea L.) is one of the most important oil crops in the Mediterranean basin. Biotechnological improvement of this species is hampered by the recalcitrant nature of olive tissue to regenerate in vitro. In previous investigations, our group has developed a reliable Agrobacterium-mediated transformation protocol using olive somatic embryos as explants (Torreblanca et al., 2010). Embryogenic cultures derived from radicles of matured zygotic embryos are infected with Agrobacterium tumefaciens, AGL1 strain, containing a binary plasmid with the gene of interest and the nptII selection gene. After a meticulous selection procedure, carried out using solid and liquid media supplemented with paromomycin, the putative transformed lines are established. A preliminary confirmation of their transgenic nature is carried out through PCR amplification. Afterwards, plants can be obtained through an efficient regeneration protocol, whose main characteristics are the use of a low-ionic-strength mineral formulation, a phase in liquid medium for synchronization of cultures and the use of semi-permeable cellulose acetate membranes for embryo maturation (Cerezo et al., 2011). Final confirmation of transgene insertion is carried out through Southern or Northern analysis using leaf samples of regenerated plants.
使用原位炭化法估算草叶中二氧化硅细胞的硅化水平

Estimation of Silica Cell Silicification Level in Grass Leaves Using in situ Charring Method

使用原位炭化法估算草叶中二氧化硅细胞的硅化水平

SK Santosh Kumar
RE Rivka Elbaum
7514 Views
Nov 20, 2017
Silica cells are specialized leaf epidermal cells in grasses with almost the whole cell volume filled with solid silica. In sorghum, silica deposition in silica cells takes place in young, elongating leaves around the mid-length of the leaf. We developed a protocol for estimating the level of silica cell silicification in Sorghum bicolor leaves using in situ charring method (Kumar et al., 2017a). Here, we provide greater details on our protocol and method of image analysis. Although we based our protocol on sorghum, this protocol can be extended for estimating silica cell silicification level in any grass species.