往期刊物2019

卷册: 9, 期号: 23

left

Dec

20

Dec

5

Nov

20

Nov

5

Oct

20

Oct

5

Sep

20

Sep

5

Aug

20

Aug

5

Jul

20

Jul

5

Jun

20

Jun

5

May

20

May

5

Apr

20

Apr

5

Mar

20

Mar

5

Feb

20

Feb

5

Jan

20

Jan

5

right

生物化学

邻位连接技术用于ELMO1分子内相互作用研究

Proximity Ligation Assay for the Investigation of the Intramolecular Interaction of ELMO1

邻位连接技术用于ELMO1分子内相互作用研究

WC Wai Wa Ray Chan
DC Dik Long Dennis Chau
WL Wen Li
KL Kwok-Fai Lau
4806 Views
Dec 5, 2019
Intramolecular interaction is a common mechanism that regulates protein activities. Conventionally, such interactions are investigated by classical in vitro biochemical assays. Here, we describe a protocol for studying the intramolecular interaction of cell motility and engulfment 1 (ELMO1) in mammalian cells by using proximity ligation assay (PLA). PLA is a specific and sensitive method that allows the observation of interacting proteins by target-specific antibody detection coupled to rolling circle amplification. ELMO1 is the regulatory subunit of ELMO1-dedicator of cytokinesis 180 (DOCK180) bipartite Rac1 guanine nucleotide exchange factor (GEF) which adopts a closed autoinhibitory conformation via an intramolecular interaction of its N-terminal ELMO inhibitory domain (EID) and C-terminal ELMO autoregulatory domain (EAD). In the assay, PLA signals are detected in cells transfected with ELMO11-315 and ELMO1315-727 fragments. Moreover, overexpression of FE65, a neuronal adaptor which has been shown to disrupt ELMO1 intramolecular interaction, reduces the PLA signals of the two ELMO1 fragments significantly. Together, our results demonstrate that PLA can be employed for studying protein intramolecular interaction.

癌症生物学

Enhanced-ice-COLD-PCR用于液体活检中罕见DNA甲基化模式的敏感检测

Enhanced-ice-COLD-PCR for the Sensitive Detection of Rare DNA Methylation Patterns in Liquid Biopsies

Enhanced-ice-COLD-PCR用于液体活检中罕见DNA甲基化模式的敏感检测

FM Florence Mauger
Jörg Tost Jörg Tost
6445 Views
Dec 5, 2019
In the context of precision medicine, the identification of novel biomarkers for the diagnosis of disease, prognosis, predicting treatment outcome and monitoring of treatment success is of great importance. The analysis of methylated circulating-cell free DNA provides great promise to complement or replace genetic markers for these applications, but is associated with substantial challenges. This is particularly true for the detection of rare methylated DNA molecules in a limited amount of sample such as tumor released hypermethylated molecules in the background of DNA fragments from normal cells, especially lymphocytes.Technologies for the sensitive detection of DNA methylation have been developed to enrich specifically methylated DNA or unmethylated DNA using among other methods: enzymatic digestion, methylation-specific PCR (often combined with TaqMan like oligonucleotide probes (MethyLight)) and co-amplification at lower denaturation temperature PCR (COLD-PCR). E-ice-COLD-PCR (Enhanced-improved and complete enrichment-COLD-PCR) is a sensitive method that takes advantage of a Locked Nucleic Acid (LNA)-containing oligonucleotide probe to block specifically unmethylated CpG sites allowing the strong enrichment of low-abundant methylated CpG sites from a limited quantity of input. E-ice-COLD-PCRs are performed on bisulfite-converted DNA followed by Pyrosequencing analysis. The quantification of the initially present DNA methylation level is obtained using calibration curves of methylated and unmethylated DNA. The E-ice-COLD-PCR reactions can be multiplexed, allowing the analysis and quantification of the DNA methylation level of several target genes. In contrast to the above-mentioned assays, E-ice-COLD-PCR will also perform in the presence of frequently occurring heterogeneous DNA methylation patterns at the target sites. The presented protocol describes the development of an E-ice-COLD-PCR assay including assay design, optimization of E-ice-COLD-PCR conditions including annealing temperature, critical temperature and concentration of LNA blocker probe followed by Pyrosequencing analysis.
从组织中分离人成纤维细胞用于体外分析的优化方法

An Optimized Method to Isolate Human Fibroblasts from Tissue for Ex Vivo Analysis

从组织中分离人成纤维细胞用于体外分析的优化方法

SW Sara Waise
RP Rachel Parker
MR Matthew J. J. Rose-Zerilli
DL David M. Layfield
OW Oliver Wood
JW Jonathan West
CO Christian H. Ottensmeier
GT Gareth J. Thomas
CH Christopher J. Hanley
6375 Views
Dec 5, 2019
Despite their involvement in many physiological and pathological processes, fibroblasts remain a poorly-characterized cell type. Analysis of primary fibroblasts while maintaining their in vivo phenotype is challenging: standard methods for fibroblast isolation require cell culture in vitro, which is known to alter phenotypes. Previously-described protocols for the dissociation of primary tissues fail to extract sufficient numbers of fibroblasts, instead largely yielding immune cells. Here, we describe an optimized method for generating a fibroblast-enriched single-cell suspension from human tissues using combined mechanical and enzymatic dissociation. This allows analysis of ex vivo fibroblasts without the need for culture in vitro.
DNaseⅠ染色质可及性分析

DNase I Chromatin Accessibility Analysis

DNaseⅠ染色质可及性分析

Brook S. Nepon-Sixt Brook S. Nepon-Sixt
MA Mark G. Alexandrow
5810 Views
Dec 5, 2019
Chromatin consists of compacted DNA in complex with proteins and contributes to the organization of DNA and its stability. Furthermore, chromatin plays key roles in regulating cellular processes such as DNA replication, transcription, DNA repair, and mitosis. Chromatin assumes more compact (inaccessible) or decondensed (accessible) conformations depending on the function that is being supported in the genome, either locally or globally. The activity of nucleases has been used previously to assess the accessibility of specific genomic regions in vitro, such as origins of replication at varying points in the cell cycle. Here, we provide an assay to determine the accessibility of specific human genomic regions (example used herein: Lamin B2 origin of DNA replication) by measuring the effect of DNase I nuclease on qPCR signal from the studied site. This assay provides a powerful method to interrogate the molecular mechanisms that regulate chromatin accessibility, and how these processes affect various cellular functions involving the human genome that require manipulation of chromatin conformation.

细胞生物学

裂殖酵母内线粒体动力学的定量研究

Quantification of Mitochondrial Dynamics in Fission Yeast

裂殖酵母内线粒体动力学的定量研究

Leeba Ann Chacko Leeba Ann Chacko
Vaishnavi Ananthanarayanan Vaishnavi Ananthanarayanan
5094 Views
Dec 5, 2019
Mitochondria are double-membraned organelles responsible for several functions in the cell including energy production, calcium signaling, and cellular metabolism. An equilibrium between fission and fusion events of mitochondria is required for their proper functioning. Mitochondrial morphologies have been quantified in yeast using image processing modules such as MitoGraph and MitoLoc. However, the dynamics of mitochondrial fission and fusion have not been analyzed in these methods. Here, we present a method for measuring mitochondrial morphologies, as well as estimation of fission and fusion frequencies of mitochondria in individual fission yeast cells whose mitochondria are fluorescently-tagged or stained. The latter relies on counting of individual mitochondria upon signal filtering in each frame of a time-lapse. Taken together, we present a simple protocol for analyzing mitochondrial dynamics, which can easily be adopted to other model systems.

微生物学

1型单纯疱疹病毒的繁殖,滴定和一步生长曲线

Herpes Simplex Virus Type 1 Propagation, Titration and Single-step Growth Curves

1型单纯疱疹病毒的繁殖,滴定和一步生长曲线

LG Linda Grosche
KD Katinka Döhner
AD Alexandra Düthorn
AH Ana Hickford-Martinez
AS Alexander Steinkasserer
BS Beate Sodeik
12473 Views
Dec 5, 2019
Given the endemic seroprevalence of herpes simplex viruses (HSV), its associated human diseases, and the emergence of acyclovir-resistant strains, there is a continuous need for better antiviral therapies. Towards this aim, identifying mechanistic details of how HSV-1 manipulates infected cells, how it modulates the immune responses, and how it causes diseases are essential. Measuring titers and growth kinetics of clinical isolates and viral mutants are important for a thorough characterization of viral phenotypes in vitro and in vivo. We provide protocols for the preparation as well as titration of HSV-1 stocks, and explain how to perform single-step growth curves to characterize the functions of viral proteins or host factors during infection. In particular, we describe methods to prepare and characterize high-titer HSV-1 stocks with low genome to titer ratios that are required for infection studies in cell culture and animal experiments.
利用超折叠mTurquoise2 ox-mNeongreen荧光分子共振能量转移法检测细菌体内蛋白相互作用

Detection of in vivo Protein Interactions in All Bacterial Compartments by Förster Resonance Energy Transfer with the Superfolder mTurquoise2 ox-mNeongreen FRET Pair

利用超折叠mTurquoise2 ox-mNeongreen荧光分子共振能量转移法检测细菌体内蛋白相互作用

Nils Y. Meiresonne Nils Y. Meiresonne
EC Elisa Consoli
LM Laureen M.Y. Mertens
Td Tanneke den Blaauwen
7127 Views
Dec 5, 2019
This protocol was developed to qualitatively and quantitatively detect protein-protein interactions in all compartments of Escherichia coli by Förster Resonance Energy Transfer (FRET) using the Superfolder mTurquoise2 ox-mNeonGreen FRET pair (sfTq2ox-mNG). This FRET pair has more than twice the detection range for FRET interaction studies in the cytoplasm or periplasm of E. coli compared to other pairs to date. These protein-interaction studies can be performed in vivo because fluorescent proteins can be genetically encoded as fusions to proteins of interest and expressed in the cell. sfTq2ox and mNG fluorescent protein fusions are co-expressed in bacterial cells and the fluorescence emission spectra are measured. By also measuring reference spectra for the background, sfTq2ox-only and mNG-only samples, expected emission spectra can be calculated. Sensitized emission for mNG above the expected spectrum can be attributed to FRET and quantified by spectral unmixing. This bio-protocol discusses the sfTq2ox-mNG FRET pair and provides a practical guide in preparing the protein fusions, setting up and running the FRET experiments, measuring fluorescence spectra and gives the tools to analyze the collected data.
感染利什曼原虫J774A.1的巨噬细胞响应体外天然化合物处理的一氧化氮和活性氧定量分析

Quantification of Nitric Oxide and Reactive Oxygen Species in Leishmania-infected J774A.1 Macrophages as a Response to the in vitro Treatment with a Natural Product Compound

感染利什曼原虫J774A.1的巨噬细胞响应体外天然化合物处理的一氧化氮和活性氧定量分析

KK Kalliopi Karampetsou
OK Olga S. Koutsoni
ED Eleni Dotsika
4895 Views
Dec 5, 2019
Leishmaniasis is a parasitic disease caused by the obligatory intracellular protozoa Leishmania spp. Current therapeutic options are limited and thus, drug discovery against leishmaniasis is very important. Nevertheless, there is a great difficulty to develop therapeutic strategies against the disease because the parasite deploys various mechanisms to evade the immune system and multiply inside the host. Among the main factors of the immunity that are recruited to confront the Leishmania infection are the macrophages (MΦs) that produce effector molecules such as Nitric Oxide (NO) and Reactive Oxygen Species (ROS). Therefore, efficient drug agents should combine the antileishmanial effect of these gaseous transmitters along with the enhancement of the host’s adaptive immunity. In the quest of therapeutic alternatives, natural products have been extensively studied and are considered as candidate antileishmanial agents since they exhibit specific properties in modulating the host’s immune response towards an effective anti-leishmanial cell-mediated immunity capable to eliminate parasitic dissemination. In the current protocol, Leishmania-infected MΦs (J774A.1 cell line) that have been treated with various increasing concentrations of a natural compound, are tested for the production of the aforementioned molecules. In order to detect NO production, we employ the Griess colorimetric nitrite assay and quantification relies on the construction of an accurate standard curve using appropriate standards of known concentration. ROS detection and quantification is achieved by flow cytometry and relies on the use of carboxy-H2DCFDA, an indicator that converts to a fluorescent form when interacts with ROS molecules.
白念珠菌生物膜细胞内cAMP的测定

Intracellular cAMP Measurements in Candida albicans Biofilms

白念珠菌生物膜细胞内cAMP的测定

LJ Liuliu Jiang
SC Shengyan Chen
KS Kairui Sun
PZ Peng Zhou
XW Xin Wei
4717 Views
Dec 5, 2019
Candida albicans is the most common cause of fungal infections worldwide. Infection by C. albicans is closely associated with its ability to form a biofilm, closely packed communities of cells attached to the surfaces of human tissues and implanted devices, in or on the host. When tested for susceptibility to antifungals, such as polyenes, azoles, and allylamines, C. albicanscells in a biofilm are more resistant to antifungal agents than C. albicans cells in the planktonic form. Cyclic Adenosine monophosphate (cAMP) is one of the key elements for triggering hyphal and biofilm formation in C. albicans. It is hard to detect or extract molecular markers (e.g., cAMP) from C. albicans biofilms because the biofilms have a complex three-dimensional architecture with an extracellular matrix surrounding the cell walls of the cells in the biofilm. Here, we present an improved protocol that can effectively measure the level of intracellular cAMP in C. albicans biofilms.

神经科学

大鼠中脑动脉闭塞模型中的动脉内脑缺血给药

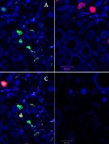
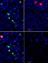
Intra-arterial Drug Delivery to the Ischemic Brain in Rat Middle Cerebral Artery Occlusion Model

大鼠中脑动脉闭塞模型中的动脉内脑缺血给药

Fereshteh Azedi Fereshteh Azedi
MM Masoud Mehrpour
SK Somaieh Kazemnejad
Kazem Mousavizadeh Kazem Mousavizadeh
AZ Amir Hassan Zarnani
Mohammad Taghi Joghataei Mohammad Taghi Joghataei
7063 Views
Dec 5, 2019
Rat transient middle cerebral artery occlusion (tMCAO) model is one of the most commonly used animal models in ischemic stroke studies. In the model, increasing safety and efficacy of therapeutic agent administration, such as stem cells and drugs directly to the ischemic brain using the internal carotid artery (ICA) is essential, because using the common carotid artery (CCA) for injection can close CCA completely and cause many complications after tMCAO surgery. Also, the pterygopalatine artery (PPA) is an arterial branch of the ICA that supplies blood circulation of the external part of the brain and removing the blood circulation of the PPA is required for more complete induction of ischemia to the brain. Herein, we present the insertion of intra-arterial catheter in the ICA via the external carotid artery (ECA) after the PPA in rats subjected to tMCAO surgery.
小鼠听觉脑干活动的诱发电位记录:一种评估小鼠听觉功能的优化方法

Evoked Potential Recordings of Auditory Brainstem Activity in the Mouse: An Optimized Method for the Assessment of Hearing Function of Mice

小鼠听觉脑干活动的诱发电位记录:一种评估小鼠听觉功能的优化方法

NI Neil J. Ingham
6103 Views
Dec 5, 2019
Hearing loss is a common sensory deficiency suffered by millions worldwide. It is a heterogeneous condition and genetics plays a critical role in its etiology. Gene variants can fundamentally alter hearing function, or predispose the auditory system towards loss of function resulting from other factors. In mouse studies of hearing loss and gene function, an evoked potential electrophysiological recording, the auditory brainstem response (ABR), is now considered the optimal way to screen large numbers of individuals, either with normal hearing sensitivity or with hearing impairment. Other routinely used methods to assess hearing function (such as acoustic startle responses, or otoacoustic emissions) do not allow assessment of the same broad spectrum of dysfunction nor readily allow the threshold sensitivity of the neural output of the cochlea to be assessed and are less ideal. An optimized recording system to rapidly and reproducibly record high-quality ABRs from mutant mice as part of a high-throughput phenotyping pipeline was developed. Click-evoked ABRs and ABRs evoked by pure-tone frequencies over a range of sound levels from 0 dB to 95 dB, sound pressure levels (SPL) are recorded. This takes approximately 15-20 min per mouse (with 5 tone frequencies), allowing a large number of mutant mice to be screened. This method has been used to measure ABRs on a high-throughput mutant mouse phenotyping pipeline and in laboratory tests to follow-up the hearing loss phenotypes identified on that pipeline.
患者来源成纤维细胞中的线粒体呼吸测定

Mitochondrial Respiratory Measurements in Patient-derived Fibroblasts

患者来源成纤维细胞中的线粒体呼吸测定

PM Prashant Mishra
TZ Ting Zhang
MG Ming Guo
DC David Chan
5966 Views
Dec 5, 2019
Mitochondrial dysfunction is associated with a number of human diseases. As an example, we recently established in vivo Drosophila models of IBMPFD (Inclusion body myopathy, Paget disease, and frontotemporal dementia), and uncovered that human disease mutations of the p97/VCP (Valosin Containing Protein) gene behave as hyperactive alleles associated with mitochondrial defects. Pharmacologic inhibition of VCP strongly suppressed disease and mitochondrial pathology in these animal models. In this protocol, we describe a method to evaluate mitochondrial respiratory function in IBMPFD patient-derived fibroblasts, as well as investigate the role of pharmacologic treatments. These experiments complement work done in animal models by investigating mitochondrial biology and the pharmacologic response in a human cell-based model of the disease. In principle, this technique can be used to investigate mitochondrial respiratory function for any disease in which patient-derived fibroblasts are available.
基于试验的大鼠药物复发鉴别研究

Trial-based Discrimination Procedure for Studying Drug Relapse in Rats

基于试验的大鼠药物复发鉴别研究

VL Veronica A Lennon
MB Megan B Brenner
SW Sophia J Weber
LK Lauren E Komer
RM Rajtarun Madangopal
5034 Views
Dec 5, 2019
In abstinent drug addicts, cues formerly associated with drug-taking experiences gain relapse-inducing potency (‘incubate’) over time. Animal models of incubation may help in developing treatments for relapse prevention. However, these models have primarily focused on the role of conditioned stimuli (CSs) signaling drug delivery and not on discriminative stimuli (DSs), which signal drug availability and are also known to play a major role in drug relapse. We recently showed that DS-controlled cocaine seeking in rats also incubates during abstinence and persists up to 300 days. We used a trial-based procedure to train male and female rats to discriminate between two light cues: one light cue (DS+) signaled the availability of cocaine reward and the second light cue (DS-) signaled the absence of reward. Rats learned to press a central retractable lever during trials in which the DS+ cue was presented and to suppress responding when the DS- cue was presented. Here, we provide a detailed protocol for the behavioral procedure used in our study. The trial-based design of this behavior lends itself well to time-locked in vivo recording and manipulation approaches that can be used to identify neurobiological mechanisms underlying the contributions of DSs to drug relapse.

植物科学

宿主植物细胞中复合病毒的基因组片段和蛋白质产物的定位

Localizing Genome Segments and Protein Products of a Multipartite Virus in Host Plant Cells

宿主植物细胞中复合病毒的基因组片段和蛋白质产物的定位

MV Marie-Stephanie Vernerey
EP Elodie Pirolles
SB Stephane Blanc
AS Anne Sicard
4973 Views
Dec 5, 2019
A founding paradigm in virology is that the spatial unit of the viral replication cycle is an individual cell. This concept applied to multipartite viruses–which have a genome composed of two or more nucleic acid segments, each individually encapsulated–implies that all segments constituting a viral genome need to coinfect the same host cell for replication to occur. Would this requirement be verified, it would constitute a major cost for extreme cases of multipartition such as the Faba bean necrotic stunt virus (FBNSV, nanovirus) whose genome is composed of eight complementary segments, each encoding a single gene (Grigoras et al., 2009). To address this question, we followed the distribution of the FBNSV genome segments by fluorescence in situ hybridization combined to immunolocalization of the replication-controlling viral protein within the cells of the host plant: Vicia Faba.A rapid and efficient protocol to localize viral transcripts in plant and insect hosts has been developed earlier (Ghanim et al., 2009). We here improve this method by using random-primed labeled probes and apply it to the detection and quantification of the individual segments composing the FBNSV genome. Moreover, we combine this technique with immunolocalization so that both viral segments and proteins can be visualized within the same samples.

系统生物学

力学组学映射—一种用于同时进行实时成像和细胞力学适应和侵入定量分析的方案

Mapping the Mechanome–A Protocol for Simultaneous Live Imaging and Quantitative Analysis of Cell Mechanoadaptation and Ingression

力学组学映射—一种用于同时进行实时成像和细胞力学适应和侵入定量分析的方案

VP Vina D. L. Putra
IJ Iman Jalilian
MC Madeline Campbell
KP Kate Poole
RW Renee Whan
FT Florence Tomasetig
MK Melissa L. Knothe Tate
6419 Views
Dec 5, 2019
Mechanomics, the mechanics equivalent of genomics, is a burgeoning field studying mechanical modulation of stem cell behavior and lineage commitment. Analogous to mechanical testing of a living material as it adapts and evolves, mapping of the mechanome necessitates the development of new protocols to assess changes in structure and function in live stem cells as they adapt and differentiate. Previous techniques have relied on imaging of cellular structures in fixed cells and/or live cell imaging of single cells with separate studies of changes in mechanical and biological properties. Here we present two complementary protocols to study mechanobiology and mechanoadaptation of live stem cells in adherent and motile contexts. First, we developed and tested live imaging protocols for simultaneous visualization and tracking of actin and tubulin mechanoadaptation as well as shape and volume of cells and their nuclei in adherent model embryonic murine mesenchymal stem cells (C3H/10T1/2) and in a neuroblastoma cell line. Then we applied the protocol to enable quantitative study of primary human mesenchymal stem cells in a motile state, e.g., ingression in a three-dimensional, in vitro cell culture model. Together, these protocols enable study of emergent structural mechanoadaptation of the cell's own cytoskeletal machinery while tracking lineage commitment using phenotypic (quantitative morphology measures) and genotypic (e.g., reverse transcription Polymerase Chain Reaction, rtPCR) methods. These tools are expected to facilitate the mapping of the mechanome and incipient mechanistic understanding of stem cell mechanobiology, from the cellular to the tissue and organ length scales.

更正

更正:改进的HTGTS用于 CRISPR/Cas9脱靶检测

Correction Notice: Improved HTGTS for CRISPR/Cas9 Off-target Detection

更正:改进的HTGTS用于 CRISPR/Cas9脱靶检测

JY Jianhang Yin
ML Mengzhu Liu
YL Yang Liu
JH Jiazhi Hu
1895 Views
Dec 5, 2019