往期刊物2017

卷册: 7, 期号: 14

left

Dec

20

Dec

5

Nov

20

Nov

5

Oct

20

Oct

5

Sep

20

Sep

5

Aug

20

Aug

5

Jul

20

Jul

5

Jun

20

Jun

5

May

20

May

5

Apr

20

Apr

5

Mar

20

Mar

5

Feb

20

Feb

5

Jan

20

Jan

5

right

生物化学

果蝇中含叠氮正亮氨酸蛋白质的细胞类型特异性代谢标记

Cell Type-specific Metabolic Labeling of Proteins with Azidonorleucine in Drosophila

果蝇中含叠氮正亮氨酸蛋白质的细胞类型特异性代谢标记

IE Ines Erdmann
KM Kathrin Marter
OK Oliver Kobler
SN Sven Niehues
JB Julia Bussmann
AM Anke Müller
JA Julia Abele
ES Erik Storkebaum
UT Ulrich Thomas
Daniela C. Dieterich Daniela C. Dieterich
9002 Views
Jul 20, 2017
Advanced mass spectrometry technology has pushed proteomic analyses to the forefront of biological and biomedical research. Limitations of proteomic approaches now often remain with sample preparations rather than with the sensitivity of protein detection. However, deciphering proteomes and their context-dependent dynamics in subgroups of tissue-embedded cells still poses a challenge, which we meet with a detailed version of our recently established protocol for cell-selective and temporally controllable metabolic labeling of proteins in Drosophila. This method is based on targeted expression of a mutated variant of methionyl-tRNA-synthetase, MetRSL262G, which allows for charging methionine tRNAs with the non-canonical amino acid azidonorleucine (ANL) and, thus, for detectable ANL incorporation into nascent polypeptide chains.
基于质谱法的体外实验鉴定影响胱氨酸溶解度的药物

Mass Spectrometry-based in vitro Assay to Identify Drugs that Influence Cystine Solubility

基于质谱法的体外实验鉴定影响胱氨酸溶解度的药物

Neelanjan Bose Neelanjan Bose
Tiffany Zee Tiffany Zee
Pankaj Kapahi Pankaj Kapahi
Marshall L. Stoller Marshall L. Stoller
8783 Views
Jul 20, 2017
Cystinuria is a rare genetic disorder characterized by recurrent, painful kidney stones, primarily composed of cystine, the dimer of the amino acid cysteine (Sumorok and Goldfarb, 2013). Using a mouse model of cystinuria, we have recently shown that administration of drugs that increase cystine solubility in the urine can be a novel therapeutic strategy for the clinical management of the disease (Zee et al., 2017). There is a large unmet need in the field for developing new drugs for cystinuria. To that end, here we describe a simple in vitro cystine solubility assay that is amenable for screening compounds to identify potential drugs that may influence cystine solubility. The assay includes preparing a supersaturated solution of cystine, incubating this solution with drug(s) of choice, and finally using high pressure liquid chromatography–tandem mass spectrometry (HPLC-MS/MS) to quantify the amount of cystine precipitated under various conditions.
使用纯化的重组蛋白进行体外AMP化实验

In vitro AMPylation Assays Using Purified, Recombinant Proteins

使用纯化的重组蛋白进行体外AMP化实验

MT Matthias C. Truttmann
HP Hidde L. Ploegh
8201 Views
Jul 20, 2017
Post-translational protein modifications (PTMs) orchestrate the activity of individual proteins and ensure their proper function. While modifications such as phosphorylation or glycosylation are well understood, more unusual modifications, including nitrosylation or AMPylation remain comparatively poorly characterized. Research on protein AMPylation–which refers to the covalent addition of an AMP moiety to the side chains of serine, threonine or tyrosine–has undergone a renaissance (Yarbrough et al., 2009; Engel et al., 2012; Ham et al., 2014; Woolery et al., 2014; Preissler et al., 2015; Sanyal et al., 2015; Truttmann et al., 2016; Truttmann et al., 2017). The identification and characterization of filamentation (fic) domain-containing AMPylases sparked new interest in this PTM (Kinch et al., 2009; Yarbrough et al., 2009). Based on recent in vivo and in vitro studies, we now know that secreted bacterial AMPylases covalently attach AMP to members of the Rho family of GTPases, while metazoan AMPylases modify HSP70 family proteins in the cytoplasm and the endoplasmic reticulum (ER) (Itzen et al., 2011; Hedberg and Itzen, 2015; Truttmann and Ploegh, 2017). AMPylation is thought to trap HSP70 in a primed yet transiently disabled state that cannot participate in protein refolding reactions (Preissler et al., 2015). In vitro AMPylation experiments are key to assess the activity, kinetics and specificity of protein AMPylation catalyzed by pro- and eukaryotic enzymes. These simple assays require recombinant AMPylases, target proteins (Rho GTPases, HSP70s), as well as ATP as a nucleotide source. Here, we describe strategies to qualitatively and quantitatively study protein AMPylation in vitro.
N-连接寡糖的[2-3H] 甘露糖标记和分析

[2-3H]Mannose-labeling and Analysis of N-linked Oligosaccharides

N-连接寡糖的[2-3H] 甘露糖标记和分析

MS Marina Shenkman
NO Navit Ogen-Shtern
Gerardo Z. Lederkremer Gerardo Z. Lederkremer
7858 Views
Jul 20, 2017
Modifications of N-linked oligosaccharides of glycoproteins soon after their biosynthesis correlate to glycoprotein folding status. These alterations can be detected in a sensitive way by pulse-chase analysis of [2-3H]mannose-labeled glycoproteins, with enzymatic removal of labeled N-glycans, separation according to size by HPLC and radioactive detection in a scintillation counter.

癌症生物学

使用荧光读板仪通过钙指示剂Fura-2 AM 测定细胞内钙浓度

Measurement of the Intracellular Calcium Concentration with Fura-2 AM Using a Fluorescence Plate Reader

使用荧光读板仪通过钙指示剂Fura-2 AM 测定细胞内钙浓度

MM Magdiel Martínez
NM Namyr A. Martínez
WS Walter I. Silva
34033 Views
Jul 20, 2017
Intracellular calcium elevation triggers a wide range of cellular responses. Calcium responses can be affected or modulated by membrane receptors mutations, localization, exposure to agonists/antagonists, among others (Burgos et al., 2007; Martínez et al., 2016). Changes in intracellular calcium concentration can be measured using the calcium sensitive fluorescent ratiometric dye fura-2 AM. This method is a high throughput way to measure agonist mediated calcium responses.
非放射法体外测定LATs激酶活性

Non-radioactive LATS in vitro Kinase Assay

非放射法体外测定LATs激酶活性

AH Audrey W. Hong
KG Kun-Liang Guan
12477 Views
Jul 20, 2017
This protocol describes a method to directly measure LATS activity by an in vitro kinase assay using YAP as a substrate.
脑内注射逆转录病毒诱导胶质瘤

Glioma Induction by Intracerebral Retrovirus Injection

脑内注射逆转录病毒诱导胶质瘤

Ravinder K Verma Ravinder K Verma
Fanghui Lu Fanghui Lu
Qing Richard Lu Qing Richard Lu
11037 Views
Jul 20, 2017
Glioblastoma (GBM) is the most common primary brain cancer in adults and has a poor prognosis. It is characterized by a high degree of cellular infiltration that leads to tumor recurrence, atypical hyperplasia, necrosis, and angiogenesis. Despite aggressive treatment modalities, current therapies are ineffective for GBM. Mouse GBM models not only provide a better understanding in the mechanisms of gliomagenesis, but also facilitate the drug discovery for treating this deadly cancer. A retroviral vector system that expresses PDGFBB (Platelet-derived growth factor BB) and inactivates PTEN (Phosphatase and tensin homolog) and P53 tumor suppressors provides a rapid and efficient induction of glioma in mice with full penetrance. In this protocol, we describe a simple and practical method for inducing GBM formation by retrovirus injection in the murine brain. This system gives a spatial and temporal control over the induction of glioma and allows the assessment of therapeutic effects with a bioluminescent reporter.

免疫学

电泳和组织学检查分析小鼠肠黏蛋白的性质

Analyzing the Properties of Murine Intestinal Mucins by Electrophoresis and Histology

电泳和组织学检查分析小鼠肠黏蛋白的性质

RW Ran Wang
Sumaira Z. Hasnain Sumaira Z. Hasnain
20615 Views
Jul 20, 2017
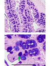
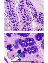
Specialized secretory cells known as goblet cells in the intestine and respiratory epithelium are responsible for the secretion of mucins. Mucins are large heavily glycosylated proteins and typically have a molecular mass higher than 106 Da. These large proteins are densely substituted with short glycan chains, which have many important functional roles including determining the hydration and viscoelastic properties of the mucus gel that lines and protects the intestinal epithelium. In this protocol, we comprehensively describe the method for extraction of murine mucus and its analysis by agarose gel electrophoresis. Additionally we describe the use of High Iron Diamine-Alcian Blue, Periodic Acid Schiff’s-Alcian Blue and immune–staining methods to identify and differentiate between the different states of glycosylation on these mucin glycoproteins, in particular with a focus on sulphation and sialylation.
蚊子唾液腺提取物的制备与小鼠真皮内接种

Preparation of Mosquito Salivary Gland Extract and Intradermal Inoculation of Mice

蚊子唾液腺提取物的制备与小鼠真皮内接种

Michael A. Schmid Michael A. Schmid
EK Elizabeth Kauffman
AP Anne Payne
EH Eva Harris
LK Laura D. Kramer
19260 Views
Jul 20, 2017
Mosquito-transmitted pathogens are among the leading causes of severe disease and death in humans. Components within the saliva of mosquito vectors facilitate blood feeding, modulate host responses, and allow efficient transmission of pathogens, such as Dengue, Zika, yellow fever, West Nile, Japanese encephalitis, and chikungunya viruses, as well as Plasmodium parasites, among others. Here, we describe standardized methods to assess the impact of mosquito-derived factors on immune responses and pathogenesis in mouse models of infection. This protocol includes the generation of mosquito salivary gland extracts and intradermal inoculation of mouse ears. Ultimately, the information obtained from using these techniques can help reveal fundamental mechanisms of interaction between pathogens, mosquito vectors, and the mammalian host. In addition, this protocol can help establish improved infection challenge models for pre-clinical testing of vaccines or therapeutics that take into account the natural route of transmission via mosquitoes.

微生物学

利用CRISPR/Cas9对酿酒酵母基因组进行大片段敲除

Using CRISPR/Cas9 for Large Fragment Deletions in Saccharomyces cerevisiae

利用CRISPR/Cas9对酿酒酵母基因组进行大片段敲除

HH Huanhuan Hao
JH Jing Huang
TL Tongtong Liu
HT Hui Tang
Lz Liping Zhang
14294 Views
Jul 20, 2017
CRISPR/Cas9 (Clustered Regularly Interspaced Short Palindromic Repeats/CRISPR-associated protein 9) systems have emerged as a powerful tool for genome editing in many organisms. The wide use of CRISPR/Cas9 systems may be due to the fact that these systems contain a simple guide RNA (sgRNA) that is relatively easy to design and they are very versatile with the ability to simultaneously target multiple genes within a cell (Varshney et al., 2015). We have developed a CRISPR/Cas9 system to delete large genomic fragments (exceeding 30 kb) in Saccharomyces cerevisiae. One application of this technology is to study the effects of large-scale deletions of non-essential genes which may give insight into the function of gene clusters within chromosomes at the molecular level. In this protocol, we describe the general procedures for large fragment deletion in S. cerevisiae using CRISPR/Cas9 including: how to design CRISPR arrays and how to construct Cas9-crRNA expression plasmids as well as how to detect mutations introduced by the system within S. cerevisiae cells.
定量测定蓝藻细长聚球藻中作为生物膜形成代用指标的叶绿素

Quantification of Chlorophyll as a Proxy for Biofilm Formation in the Cyanobacterium Synechococcus elongatus

定量测定蓝藻细长聚球藻中作为生物膜形成代用指标的叶绿素

ES Eleonora Sendersky
RS Ryan Simkovsky
SG Susan S. Golden
RS Rakefet Schwarz
11253 Views
Jul 20, 2017
A self-suppression mechanism of biofilm development in the cyanobacterium Synechococcus elongatus PCC 7942 was recently reported. These studies required quantification of biofilms formed by mutants impaired in the biofilm-inhibitory process. Here we describe in detail the use of chlorophyll measurements as a proxy for biomass accumulation in sessile and planktonic cells of biofilm-forming strains. These measurements allow quantification of the total biomass as estimated by chlorophyll level and representation of the extent of biofilm formation by depicting the relative fraction of chlorophyll in planktonic cells.
生物电喷雾法剖析人类结核病中宿主与病原体的相互作用

Bioelectrospray Methodology for Dissection of the Host-pathogen Interaction in Human Tuberculosis

生物电喷雾法剖析人类结核病中宿主与病原体的相互作用

LT Liku B Tezera
MB Magdalena K Bielecka
PE Paul T Elkington
9948 Views
Jul 20, 2017
Standard cell culture models have been used to investigate disease pathology and to test new therapies for over fifty years. However, these model systems have often failed to mimic the changes occurring within three-dimensional (3-D) space where pathology occurs in vivo. To truthfully represent this, an emerging paradigm in biology is the importance of modelling disease in a physiologically relevant 3-D environment. One of the approaches for 3-D cell culture is bioelectrospray technology. This technique uses an alginate-based 3-D environment as an inert backbone within which mammalian cells and extracellular matrix can be incorporated. These alginate-based matrices produce highly reproducible results and can be mixed with different extracellular matrix components. This protocol describes a 3-D system incorporating mycobacteria, primary human blood mononuclear cells and collagen-alginate matrix to dissect the host-pathogen interaction in tuberculosis.
HPLC法估测不同黄单胞菌菌株培养的无细胞上清液中黄单胞菌铁载体

Xanthoferrin Siderophore Estimation from the Cell-free Culture Supernatants of Different Xanthomonas Strains by HPLC

HPLC法估测不同黄单胞菌菌株培养的无细胞上清液中黄单胞菌铁载体

Sheo Shankar Pandey Sheo Shankar Pandey
Prashantee Singh Prashantee Singh
Biswajit Samal Biswajit Samal
Raj Kumar Verma Raj Kumar Verma
SC Subhadeep Chatterjee
9682 Views
Jul 20, 2017
Xanthomonads can scavenge iron from the extracellular environment by secreting the siderophores, which are synthesized by the proteins encoded by xss (Xanthomonas siderophore synthesis) gene cluster. The siderophore production varies among xanthomonads in response to a limited supply of iron where Xanthomonas campestris pv. campestris (Xcc) produces less siderophores than Xanthomonas oryzae pv. oryzae (Xoo) and Xanthomonas oryzae pv. oryzicola (Xoc). Siderophore production can be measured by HPLC and with the CAS (Chrome azurol S)-agar plate assay, however HPLC is a more accurate method over CAS-agar plate assay for siderophore quantification in Xanthomonads. Here we describe how to quantify siderophores from xanthomonads using HPLC.
集胞藻PCC 6803中聚-β-羟基丁酸的定量测定

Quantitative Determination of Poly-β-hydroxybutyrate in Synechocystis sp. PCC 6803

集胞藻PCC 6803中聚-β-羟基丁酸的定量测定

YZ Yvonne Zilliges
RD Ramon Damrow
9491 Views
Jul 20, 2017
Cyanobacteria synthesize a variety of chemically-different, high-value biopolymers such as glycogen (polyglucose), poly-β-hydroxybutyrate (PHB), cyanophycin (polyamide of arginine and aspartic acid) and volutin (polyphosphate) under excess conditions. Especially under unbalanced C to N ratios, glycogen and in some cyanobacterial genera also PHB are massively accumulated in the progression of the general nitrogen stress response. Several different technologies have been established for in situ and in vitro PHB analysis from different microbial sources. In this protocol, a rapid and reliable spectrophotometric method is described for PHB quantification in the cyanobacterium Synechocystis sp. PCC 6803 upon nitrogen deprivation as described in (Damrow et al., 2016).
疟原虫孢子体在平面基质上的能动性

Plasmodium Sporozoite Motility on Flat Substrates

疟原虫孢子体在平面基质上的能动性

HP Henriette L Prinz
JS Julia M Sattler
FF Friedrich Frischknecht
9416 Views
Jul 20, 2017
Plasmodium sporozoites are the infectious, highly motile forms of the malaria parasite transmitted by Anopheles mosquitoes. Sporozoite motility can be assessed following the dissection of Anopheles salivary glands and isolation of sporozoites in vitro.
病毒粒子中接触病毒衣壳蛋白RNA的序列图谱绘制

Mapping RNA Sequences that Contact Viral Capsid Proteins in Virions

病毒粒子中接触病毒衣壳蛋白RNA的序列图谱绘制

C. Cheng  Kao C. Cheng Kao
EC Ella Chuang
JF James Ford
JH Jie Huang
RP Ram Podicheti
DR Doug B. Rusch
8893 Views
Jul 20, 2017
We have adapted the methodology of CLIP-seq (Crosslinking-Immunoprecipitation and DNA Sequencing) to map the segments of encapsidated RNAs that contact the protein shells of virions. Results from the protocol report on the RNA sequences that contact the viral capsid.
野生型和突变型大肠埃希杆菌在土壤中的存活测定

Determination of Survival of Wildtype and Mutant Escherichia coli in Soil

野生型和突变型大肠埃希杆菌在土壤中的存活测定

YS Yinka Somorin
CO Conor O'Byrne
8866 Views
Jul 20, 2017
E. coli resides in the gastrointestinal tract of humans and other warm-blooded animals but recent studies have shown that E. coli can persist and grow in various external environments including soil. The general stress response regulator, RpoS, helps E. coli overcome various stresses, however its role in soil survival was unknown. This soil survival assay protocol was developed and used to determine the role of the general stress response regulator, RpoS, in the survival of E. coli in soil. Using this soil survival assay, we demonstrated that RpoS was important for the survival of E. coli in soil. This protocol describes the development of the soil survival assay especially the recovery of E. coli inoculated into soil and can be adapted to allow further investigations into the survival of other bacteria in soil.
肠杆菌科中受阿拉伯糖调节启动子调控的基因剂量实验

Gene Dosage Experiments in Enterobacteriaceae Using Arabinose-regulated Promoters

肠杆菌科中受阿拉伯糖调节启动子调控的基因剂量实验

SB Sanchari Bhattacharyya
SB Shimon Bershtein
ES Eugene I Shakhnovich
7945 Views
Jul 20, 2017
This protocol is used to assay the effect of protein over-expression on fitness of E. coli. It is based on a plasmid expression of a protein of interest from an arabinose-regulated pBAD promoter followed by the measurement of the intracellular protein abundance by Western blot along with the measurement of growth parameters of E. coli cell expressing this protein.
硫加氧还原酶活性测定: 高温条件下催化以元素硫为底物的反应

The Sulfur Oxygenase Reductase Activity Assay: Catalyzing a Reaction with Elemental Sulfur as Substrate at High Temperatures

硫加氧还原酶活性测定: 高温条件下催化以元素硫为底物的反应

PR Patrick Rühl
AK Arnulf Kletzin
7253 Views
Jul 20, 2017
The sulfur oxygenase reductase (SOR) reaction is a dioxygen-dependent disproportionation of elemental sulfur (S0), catalyzed at optimal temperatures between 65 °C and 85 °C. Thiosulfate and sulfite are formed as oxidized products as well hydrogen sulfide as reduced product. External co-factors are not required. Usually, the SOR assay is performed in a milliliter scale in S0-containing Tris-buffer at high temperatures followed by colorimetric product quantification. In order to make the SOR assay more sensitive and better reproducible, several modifications were implemented compared to the original SOR assay (Kletzin, 1989). Here we present the modified SOR assay and the following quantification of the reaction products.

神经科学

涕灭威诱导的麻痹分析法测定秀丽隐杆线虫突触传递缺陷

Aldicarb-induced Paralysis Assay to Determine Defects in Synaptic Transmission in Caenorhabditis elegans

涕灭威诱导的麻痹分析法测定秀丽隐杆线虫突触传递缺陷

Kelly H. Oh Kelly H. Oh
HK Hongkyun Kim
9968 Views
Jul 20, 2017
Aldicarb treatment causes an accumulation of acetylcholine in the synaptic cleft of the neuromuscular junction, resulting in sustained muscle activation and eventually paralysis. Aldicarb-induced paralysis assay is an easy and fast method to determine whether synaptic transmission of a C. elegans mutant of interest is altered. This assay is based on the correlation of the rate of neurotransmitter release with the rate of paralysis. In this protocol, we describe a method for simultaneously assessing the aldicarb sensitivity of animals with different genotypes.
成年黑腹果蝇食窦肌肉9(CM9)的电生理记录

Ciberial Muscle 9 (CM9) Electrophysiological Recordings in Adult Drosophila melanogaster

成年黑腹果蝇食窦肌肉9(CM9)的电生理记录

BE Benjamin A. Eaton
Rebekah E. Mahoney Rebekah E. Mahoney
8612 Views
Jul 20, 2017
The complexity surrounding presynaptic recordings in mammals is a significant barrier to the study of presynaptic mechanisms during neurotransmission in the mammalian central nervous system (CNS). Here we describe an adult fly neuromuscular junction (NMJ), the ciberial muscle 9 (CM9) NMJ, which allows for the recording of both evoked (EPSPs) and spontaneous postsynaptic excitatory potentials (mEPSPs) at a mature glutamatergic synapse. Combined with CM9-specific genetic technologies, the CM9 NMJ provides a powerful experimental system to better understand the regulation of neurotransmitter release at a mature synapse.
大鼠原代胚胎基底前脑胆碱能神经元(BFCN)的分离与培养

Isolation and Culturing of Rat Primary Embryonic Basal Forebrain Cholinergic Neurons (BFCNs)

大鼠原代胚胎基底前脑胆碱能神经元(BFCN)的分离与培养

WX Wei Xu
Chengbiao Wu Chengbiao Wu
7184 Views
Jul 20, 2017
The basal forebrain is located close to the medial and ventral surfaces of the cerebral hemispheres that develop from the sub-pallium. It regulates multiple processes including attention, learning, memory and sleep. Dysfunction and degeneration of basal forebrain cholinergic neurons (BFCNs) are believed to be involved in many disorders of the brain such as Alzheimer’s disease (AD), schizophrenia, sleep disorders and drug abuse (Mobley et al., 1986). Primary cultures of BFCNs will provide an important tool for studying the mechanism of these diseases. This protocol provides a detailed description of experimental procedures in establishing in vitro primary culture of rat embryonic BFCNs.

植物科学

GUS染色保卫细胞以鉴定保卫细胞中基因的表达

GUS Staining of Guard Cells to Identify Localised Guard Cell Gene Expression

GUS染色保卫细胞以鉴定保卫细胞中基因的表达

ZL Zhao Liu
WW Wei Wang
CZ Chun-Guang Zhang
JZ Jun-Feng Zhao
YC Yu-Ling Chen
18121 Views
Jul 20, 2017
Determination of a gene expression in guard cells is essential for studying stomatal movements. GUS staining is one means of detecting the localization of a gene expression in guard cells. If a gene is specially expressed in guard cells, the whole cotyledons or rosette leaf can be used for GUS staining. However, if a gene is expressed in both mesophyll and guard cells, it is hard to exhibit a clear expression of the gene in guard cells by a GUS staining image from leaf. To gain a clear guard cell GUS image of small G protein ROP7, a gene expressed in both mesophyll and guard cells, we peeled the epidermal strips from the leaf of 3-4 week-old plants. After removing the mesophyll cells, the epidermal strips were used for GUS staining. We compared the GUS staining images from epidermal strips or leaf of small G protein ROP7 and RopGEF4, a gene specifically expressed in guard cells, and found that GUS staining of epidermal strips provided a good method to show the guard cell expression of a gene expressed in both mesophyll and guard cells. This protocol is applicable for any genes that are expressed in guard cells of Arabidopsis, or other plants that epidermal strips can be easily peeled from the leaf.
植物对急性热胁迫耐受性的评估

Assessing Plant Tolerance to Acute Heat Stress

植物对急性热胁迫耐受性的评估

MK Minsoo Kim
FM Fionn McLoughlin
EB Eman Basha
EV Elizabeth Vierling
13231 Views
Jul 20, 2017
It is well-established that plants are able to acclimate to temperatures above or below the optimal temperature for their growth. Here, we provide protocols for assays that can be used quantitatively or qualitatively to assess the relative ability of plants to acquire tolerance to high temperature stress. The hypocotyl elongation assay described was developed to screen for mutants defective in the acquisition of tolerance to extreme temperature stress, and other assays were developed to further characterize mutant and transgenic plants for heat tolerance of other processes or at other growth stages. Although the protocols provide details for application to Arabidopsis thaliana, the same basic methods can be adopted to assay heat tolerance in other plant species.
水稻叶节夹角测定

Rice Lamina Joint Inclination Assay

水稻叶节夹角测定

HL Hsing-Yi Li
HW Hsin-Mei Wang
Seonghoe Jang Seonghoe Jang
13191 Views
Jul 20, 2017
Brassinosteroids (BRs) promote rice lamina inclination. Recently, we showed that OsBUL1 knockout mutant rice (osbul1) is defective in brassinosteroid signaling (Jang et al., 2017). To show that lamina joint inclination of osbul1 is less-sensitive than WT to exogenous brassinolide (BL) treatment in the lamina joint inclination bioassays, we applied the protocol presented below. The protocol focuses on: (1) how to prepare rice samples for the assay, and (2) how to treat BL exogenously. Finally, we have added a result showing lamina inclination between WT and osbul1 in BL solutions of various concentrations.
红外线下根生长运动学的无创监测实验方案

Non-invasive Protocol for Kinematic Monitoring of Root Growth under Infrared Light

红外线下根生长运动学的无创监测实验方案

FB François Bizet
LD Lionel X. Dupuy
AB Anthony Glyn Bengough
AP Alexis Peaucelle
IH Irène Hummel
MB Marie-Béatrice Bogeat-Triboulot
9645 Views
Jul 20, 2017
Phenotyping the dynamics of root responses to environmental cues is necessary to understand plant acclimation to their environment. Continuous monitoring of root growth is challenging because roots normally grow belowground and are very sensitive to their growth environment. This protocol combines infrared imaging with hydroponic cultivation for kinematic analyses. It allows continuous imaging at fine spatiotemporal resolution and disturbs roots minimally. Examples are provided of how the procedure and materials can be adapted for 3D monitoring and of how environmental stress may be manipulated for experimental purposes.
通过非变性凝胶电泳法分离植物6-磷酸葡萄糖酸脱氢酶(6PGDH)同工型

Separation of Plant 6-Phosphogluconate Dehydrogenase (6PGDH) Isoforms by Non-denaturing Gel Electrophoresis

通过非变性凝胶电泳法分离植物6-磷酸葡萄糖酸脱氢酶(6PGDH)同工型

Francisco J Corpas Francisco J Corpas
Ld Larisse de Freitas-Silva
NG Nuria García-Carbonero
AC Alba Contreras
FT Fátima Terán
CR Carmelo Ruíz-Torres
José M. Palma José M. Palma
9427 Views
Jul 20, 2017
6-Phosphogluconate dehydrogenase (6PGDH; EC 1.1.1.44) catalyzes the third and irreversible reaction of the pentose phosphate pathway (PPP). It carries out the oxidative decarboxylation of the 6-phosphogluconate to yield ribulose-5-phosphate, carbon dioxide and NADPH. In higher plants, 6PGDH has several subcellular localizations including cytosol, chloroplast, mitochondria and peroxisomes (Corpas et al., 1998; Krepinsky et al., 2001; Mateos et al., 2009; Fernández-Fernández and Corpas, 2016; Hölscher et al., 2016). Using Arabidopsis thaliana as plant model and sweet pepper (Capsicum annuum L.) fruits as a plant with agronomical interest, this protocol illustrates how to prepare the plant extracts for the separation of the potential 6PGDH isoforms by electrophoresis on 6% polyacrylamide non-denaturing gels. Thus, this method allows detecting three 6PGDH isoforms in Arabidopsis seedlings and two 6PGDH isoforms in sweet pepper fruits.
齿缘墨角藻配子的分离和合子的培养

Isolation of Fucus serratus Gametes and Cultivation of the Zygotes

齿缘墨角藻配子的分离和合子的培养

AS Amandine Siméon
Cécile Hervé Cécile Hervé
9252 Views
Jul 20, 2017
Zygotes of the Fucale species are a powerful model system to study cell polarization and asymmetrical cell division (Bisgrove and Kropf, 2008). The Fucale species of brown algae grow in the intertidal zone where they reproduce by releasing large female eggs and mobile sperm in the surrounding seawater. The gamete release can be induced from sexually mature fronds in the laboratory and thousands of synchronously developing zygotes are easily obtained. In contrast to other eukaryotic models, such as land plants (Brownlee and Berger, 1995), the embryo is free of maternal tissues and therefore readily amenable to pharmacological approaches. The zygotes are relatively large (up to 100 µm in diameter), facilitating manipulations and imaging studies. During the first hours of zygote development, the alignment of the axis to external cues such as light is labile and can be reversed by light gradients from different directions. A few hours before rhizoid emergence, the alignment of the axis and the polarity are fixed and the cells germinate accordingly. At this stage the zygotes are naturally attached to the substratum through the secretion of cell wall adhesive materials (Kropf et al., 1988; Hervé et al., 2016). The first cell division occurs about 24 h after fertilisation and the early embryo is composed of only two cell types that differ in size, shape and developmental fates (i.e., thallus cells and rhizoid cells) (Bouget et al., 1998). The embryo can be successfully cultivated in the laboratory for a few more days (4 weeks maximum) and has an invariant division pattern during the early stages, which allows cell lineages to be traced histologically.
通过孢子恢复和萌发从感染的小穗分离雀麦黑粉菌菌株

Isolation of Ustilago bromivora Strains from Infected Spikelets through Spore Recovery and Germination

通过孢子恢复和萌发从感染的小穗分离雀麦黑粉菌菌株

JB Jason Bosch
AD Armin Djamei
8567 Views
Jul 20, 2017
Ustilago bromivora is a biotrophic smut fungus infecting Brachypodium sp. It is closely related to the barley-infecting smut Ustilago hordei, and related to the well-studied, gall-inducing model pathogen Ustilago maydis. Upon flowering, the spikelets of U. bromivora-infected plants are filled with black fungal spores. While it is possible to directly use this spore material to infect Brachypodium seeds, in many cases it is more useful to isolate individual strains of U. bromivora for a genetically homogenous population. This protocol describes how to collect and germinate the spores of U. bromivora on plate in order to obtain strains derived from a single cell.

干细胞

将人外周角膜球体植入尸体人角膜组织

Implantation of Human Peripheral Corneal Spheres into Cadaveric Human Corneal Tissue

将人外周角膜球体植入尸体人角膜组织

JM Jeremy John Mathan
SI Salim Ismail
JM Jennifer Jane McGhee
TS Trevor Sherwin
7724 Views
Jul 20, 2017
Stem and progenitor cells isolated from human limbal tissue can be cultured in vitro as spheres. These spheres have potential for use as transplantable elements for the repopulation of corneal tissue (Mathan et al., 2016). Herein we describe the detailed protocol for the implantation of human corneal spheres into cadaveric human corneal tissue. This protocol describes the procedure for sphere formation and culture, preparation of tissue for sphere implantation, corneal limbus microsurgery and sphere implantation.